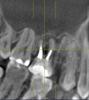
belbucha Опубликовано 29 января, 2011 Поделиться Опубликовано 29 января, 2011 Доброго времени суток всем.Несколько дней назад начали беспокоить очень сильные боли в области гайморовой пазухи и зубов с правой стороны. Сделал рентген снимок для ЛОРа, направили к нему с диагнозом гайморит.В больнице сделали прокол, увидели много гноя, сказали сделать КТ, дабы исключить вариант заболевания от зубов (одонтогенного генеза), т.к. не было у меня ни соплей, ни еще каких-либо симптомов, кроме боли.Сделали КТ, и выдали вот такое заключение: "В правой верхнечелюстной пазухе визуализируется мягкотканное содержание с пузырьками воздуха в своем составе, занимающее 2/3 всей полости, одонтогенного генеза (16 зуб радикулярная киста медиального щечного корня проросла в правую в/ч пазуху, разрушив костное дно). В левой в/ч пазухе определяется утолщение слизистой нижней стенки до 7-9мм одонтогенного генеза, причиной была радикулярная киста медиального щечного корня 26 зуба. Передние и средние ячейки решетчатого лабиринта справа, заполнены мягкотканным содержимым, слизистая гипертрофирована. Основной (клиновидный) синус - незначительное утолщение нижней стенки. Заключение: КТ картина соответствует правостороннему гнойному одонтогенному гаймориту. Этмоидиту. Радикулярная киста 16,15,26 зубов." На руках у меня только заключение и диск с КТ, снимков нет. У меня нет медицинского образования, но насколько я смог увидеть хоть что-то, выкладываю скриншоты КТ.При необходимости, могу выложить на какой-нибудь обменник весь диск, ISO-образ его. Скажите люди добрые, что меня ждет? что можно предпринять в таком случае? Очень не хочется остаться без жевательных зубов в 25 лет. Период сейчас крайне сложный, супруга на 9-ом месяце, ей нужна моя помощь и поддержка, некогда мне по болницам лежать.Заранее всем спасибо. Ссылка на комментарий
Scrabble Опубликовано 29 января, 2011 Поделиться Опубликовано 29 января, 2011 С 16 неоднозначно-может быть, и удалить придётся, 26-27 перелечите у эндодонтиста. 15 корень удаляется, похоже. Ссылка на комментарий
Bier Опубликовано 29 января, 2011 Поделиться Опубликовано 29 января, 2011 надо еще прицельные снимки сделать. Если возможно перелечить - перелечивайте, если нет - удаляйте. Потом имплантаты поставите. Ссылка на комментарий
belbucha Опубликовано 1 февраля, 2011 Автор Поделиться Опубликовано 1 февраля, 2011 Меня больше всего пугает фраза "проросла в правую в/ч пазуху, разрушив костное дно".Что это значит? Что в таких случаях делать? И какие врачи это должны делать ЛОР или стоматологи? Ссылка на комментарий
Bier Опубликовано 1 февраля, 2011 Поделиться Опубликовано 1 февраля, 2011 мы же вам написали, что делать. Если зуб можно лечить - лечите и киста пройдет, если нельзя лечить - удаляйте и киста уйдет.возможно при удалении вскроется пазуха и лунку надо будет наглухо ушить. Хирург стоматолог это умеет. Ссылка на комментарий
Рекомендуемые сообщения
Для публикации сообщений создайте учётную запись или авторизуйтесь
Вы должны быть пользователем, чтобы оставить комментарий
Создать аккаунт
Зарегистрируйте новый аккаунт в нашем сообществе. Это очень просто!
Регистрация нового пользователяВойти
Уже есть аккаунт? Войти в систему.
Войти