Carioznik Опубликовано 12 декабря, 2010 Поделиться Опубликовано 12 декабря, 2010 ну,может хлоргексидин и инактивируется,но гидроокись кальция работает,я так думаю.Вообще это шеф внедрил после очередных курсов года 2 назад.Отмечен положительный результат.Приедет через неделю-спрошу. Получается, что хлоргексидин при взаимодействии гидроокисью, будет выступать только в роли растворителя: в результате реакции образуется дистиллированная вода + осадок. Только вот не изучено как этот осадок воздействует на организм. Поэтому логичней использовать сразу дистиллированную воду, без промежуточных этапов химического синтеза в корневом канале Ссылка на комментарий
Kivilgar Опубликовано 13 декабря, 2010 Поделиться Опубликовано 13 декабря, 2010 А что Кристина рассказывала?Очередные паркинсонические потуги аля Подсолнухи:http://s005.radikal.ru/i211/1012/f1/24858677d54b.jpgА- неправильноВ- правильноСрезать - угол 90*, не менее 3мм корня и больше, все снимать со стенок,, убирать перешеек с истмусом. Пломба не менее 3мм, отсутствие ретроградного пломбирования снижает успех на 50%. Только ультразвуком делать место под пломбировку, также ультразвуком лучше резать окно в кости, чем бором. Костный блок- срез под углом 45*. Главный упор на микроскоп, с ним намного лучше (радикально влияет на результат)- при увеличении в 3,5 раза инфы больше в 10раз, увеличение в 10раз- инфы в 100раз, в 20раз увелич- в 400раз больше. Пломбировка МТА, IRM. Больше не помню Ссылка на комментарий
zybnaya feya Опубликовано 13 декабря, 2010 Поделиться Опубликовано 13 декабря, 2010 Не могу понять что означают вот третий и четвертый рисунки в верхнем ряду.Что это? Первые два,как я поняла апексы резецируемых корней? Или не?)))))) Ссылка на комментарий
Снежана Опубликовано 13 декабря, 2010 Поделиться Опубликовано 13 декабря, 2010 это как А - неправильно и В - правильно ретроградно препарировать срезанный корень под обтурацию. а вот про блок я что-то не поняла, о чем речь. Ссылка на комментарий
zybnaya feya Опубликовано 13 декабря, 2010 Поделиться Опубликовано 13 декабря, 2010 это как А - неправильно и В - правильно ретроградно препарировать срезанный корень под обтурацию. а вот про блок я что-то не поняла, о чем речь.Ага,тогда еще воппос-что такое "блок"?)) Ссылка на комментарий
Kivilgar Опубликовано 13 декабря, 2010 Поделиться Опубликовано 13 декабря, 2010 (изменено) Не могу понять что означают вот третий и четвертый рисунки в верхнем ряду.Что это? Первые два,как я поняла апексы резецируемых корней? Или не?))))))3 и 4 рисунки тоже апексы, на них как правильно сделать полость под апикальную пломбу. Костный блок такой ультразвуком вырезается в месте доступа, потом опять на место укладывается, получается плотно. Изменено 13 декабря, 2010 пользователем Kivilgar Ссылка на комментарий
Снежана Опубликовано 14 декабря, 2010 Поделиться Опубликовано 14 декабря, 2010 фигня мне кажется про блок...резекция нужна там, где очень большой очаг, там кортикалка вестибулярно в лучшем случае истончена до состояния пергамента, в худшем дырко, так что укладывать будет нечего. либо так ушиваться, как есть, либо костные подсадки делать с мембранами всякими) в зависимости от бюджета пациента. Ссылка на комментарий
Мартовский Опубликовано 14 декабря, 2010 Поделиться Опубликовано 14 декабря, 2010 фигня мне кажется про блок...резекция нужна там, где очень большой очаг, там кортикалка вестибулярно в лучшем случае истончена до состояния пергамента, в худшем дырко, так что укладывать будет нечего. либо так ушиваться, как есть, либо костные подсадки делать с мембранами всякими) в зависимости от бюджета пациента.А мне кажется, что только тогда, когда невозможно ортоградно качественно обработать....имхо Ссылка на комментарий
silver77 Опубликовано 16 декабря, 2010 Поделиться Опубликовано 16 декабря, 2010 Я за постоянную обтурацию(когда канал полностью получится высушить)+ хирургиянужно пробовать...и желательно МТА закрыть Ссылка на комментарий
moonch Опубликовано 3 января, 2011 Поделиться Опубликовано 3 января, 2011 Коллеги,подскажите актуально ли в подобных случаях применениехлоргексидин 2%,в тч для временного пломбирования?пульпосептин?каласепт или кальций с йодом?мб болтушка из а/б? спасибо.накопилось гидроокись кальция замешанная на ледермиксе на 2 неделигидроокись кальция -антибактериальное действиеледермикс -антирезорбтивный эффект и блокирование макрофагов. Ссылка на комментарий
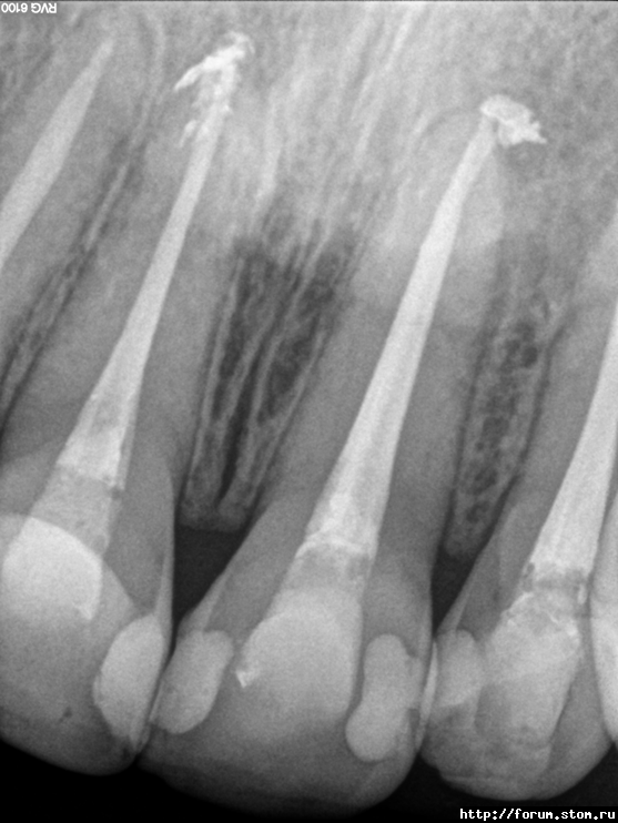
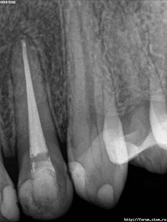
natikkk Опубликовано 6 ноября, 2011 Автор Поделиться Опубликовано 6 ноября, 2011 Делюсь радостью Тот же пациент через 10.5 месяцев после завершения лечения, жалобы отсутствуют Ссылка на комментарий
Снежана Опубликовано 6 ноября, 2011 Поделиться Опубликовано 6 ноября, 2011 прекрасный результат. поздравляю доктор! Ссылка на комментарий
Kivilgar Опубликовано 6 ноября, 2011 Поделиться Опубликовано 6 ноября, 2011 прекрасный результат. поздравляю доктор!+100 Ссылка на комментарий
natikkk Опубликовано 6 ноября, 2011 Автор Поделиться Опубликовано 6 ноября, 2011 +100 :D спасибо Ссылка на комментарий
Stomart Опубликовано 6 ноября, 2011 Поделиться Опубликовано 6 ноября, 2011 Отличная работа! Сколько пац ходил с каласептом и чем потом пломбировали? Ссылка на комментарий
Джима Опубликовано 7 ноября, 2011 Поделиться Опубликовано 7 ноября, 2011 Здорово как! Как будто не этот зуб к хирургу почти отправили. Ссылка на комментарий
Salma Опубликовано 7 ноября, 2011 Поделиться Опубликовано 7 ноября, 2011 Супер,пациент наверно безмерно рад Ссылка на комментарий
natikkk Опубликовано 7 ноября, 2011 Автор Поделиться Опубликовано 7 ноября, 2011 Отличная работа! Сколько пац ходил с каласептом и чем потом пломбировали?Еще раз спасибо! На Каласепте в общей сложности ходил месяца 1.5, меняла его за это время вроде раза 3, мыла, звучила. Окончательная пломбировка- Термафил Ссылка на комментарий
natikkk Опубликовано 7 ноября, 2011 Автор Поделиться Опубликовано 7 ноября, 2011 Супер,пациент наверно безмерно радРад- не то слово, вот теперь агитирую запротезировать, а то уж очень у него все зубы проблемные- хрупкие, леченые-перелеченые.. А эти, случись что, мне теперь капец как будет жалко Ссылка на комментарий
stom. Опубликовано 7 ноября, 2011 Поделиться Опубликовано 7 ноября, 2011 Отличный результат.можете написать лечение от и до ,если не лень .пожалуйста. Ссылка на комментарий
stom. Опубликовано 7 ноября, 2011 Поделиться Опубликовано 7 ноября, 2011 А за это время зуб не беспокоил пациента? Ссылка на комментарий
ннэт Опубликовано 7 ноября, 2011 Поделиться Опубликовано 7 ноября, 2011 Еще раз спасибо! На Каласепте в общей сложности ходил месяца 1.5, меняла его за это время вроде раза 3, мыла, звучила. Окончательная пломбировка- ТермафилПрисоединяюсь к поздравлениям! Хотя лучшая награда -это +результат. Вопросик можно?: в течение 1,5 мес с каласептом герметизм чем обеспечивался? Ссылка на комментарий
natikkk Опубликовано 9 ноября, 2011 Автор Поделиться Опубликовано 9 ноября, 2011 Отличный результат.можете написать лечение от и до ,если не лень .пожалуйста.сегодня- лень, завтра напишу :Dзуб не беспокоил Ссылка на комментарий
natikkk Опубликовано 9 ноября, 2011 Автор Поделиться Опубликовано 9 ноября, 2011 Присоединяюсь к поздравлениям! Хотя лучшая награда -это +результат. Вопросик можно?: в течение 1,5 мес с каласептом герметизм чем обеспечивался?Витремер Ссылка на комментарий
ннэт Опубликовано 9 ноября, 2011 Поделиться Опубликовано 9 ноября, 2011 ВитремерСпасибо за ответ! Какой -то такой и ожидала! Ссылка на комментарий
Рекомендуемые сообщения
Для публикации сообщений создайте учётную запись или авторизуйтесь
Вы должны быть пользователем, чтобы оставить комментарий
Создать аккаунт
Зарегистрируйте новый аккаунт в нашем сообществе. Это очень просто!
Регистрация нового пользователяВойти
Уже есть аккаунт? Войти в систему.
Войти