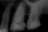
Len@ Опубликовано 24 октября, 2010 Поделиться Опубликовано 24 октября, 2010 Здравствуйте. Нужен ваш совет. Три подряд зуба с одинаковой анатомией и не могу найти МВ2. Подскажите где искать. на последнем снимке прослеживается доп канал. Ссылка на комментарий
zybnaya feya Опубликовано 24 октября, 2010 Поделиться Опубликовано 24 октября, 2010 (изменено) Здравствуйте. Нужен ваш совет. Три подряд зуба с одинаковой анатомией и не могу найти МВ2. Подскажите где искать. на последнем снимке прослеживается доп канал.Искать- то можноно МБ1 очень широкие во всех трех случаях(сужу исключительно по конусности,может и необьективно) возможно получится так,что вы и найдете устья,но в верхней трети МБ2 соединится с МБ1. ПыСы-эндо классное! Я на последнем снимке не вижу никаких дополнительных каналов Изменено 24 октября, 2010 пользователем zybnaya feya Ссылка на комментарий
Kivilgar Опубликовано 24 октября, 2010 Поделиться Опубликовано 24 октября, 2010 ПыСы-эндо классное! Я на последнем снимке не вижу никаких дополнительных каналов +1. Да и нет там возможно МБ2 или засклерозировалось напрочь. Упорно ища как бы дно не перфонуть Ссылка на комментарий
Len@ Опубликовано 24 октября, 2010 Автор Поделиться Опубликовано 24 октября, 2010 Искать- то можноно МБ1 очень широкие во всех трех случаях(сужу исключительно по конусности,может и необьективно) возможно получится так,что вы и найдете устья,но в верхней трети МБ2 соединится с МБ1. Устья действительно широкие, но в зеркале не видать никакого намека на 2 -е устье. ПыСы-эндо классное! Я на последнем снимке не вижу никаких дополнительных каналов. Спасибо. На визиографе лучше видно и мне видится отдельный корень. Ссылка на комментарий
Len@ Опубликовано 24 октября, 2010 Автор Поделиться Опубликовано 24 октября, 2010 +1. Да и нет там возможно МБ2 или засклерозировалось напрочь. Упорно ища как бы дно не перфонуть Да вот тоже верно и так уже борозду углубила. Под вкладку идет, потом уже не открою. Ссылка на комментарий
Снежана Опубликовано 24 октября, 2010 Поделиться Опубликовано 24 октября, 2010 http://i007.radikal.ru/1010/af/50d019699837.jpgвот здесь с большей долей вероятности есть мб2, остальные снимки ни о чем... на втором - стандартная укладка, вообще не разложен медиальный корень, про третий - можно с уверенностью сказать, что у пациента зубы есть) не более. На всех снимках не вошла в кадр периапикальная зона небного корня, поверните датчик вертикально. Ссылка на комментарий
x3m Опубликовано 24 октября, 2010 Поделиться Опубликовано 24 октября, 2010 вот здесь с большей долей вероятности есть мб2, +1сфоткать бы еще: тубус горизонтальнее и от пятерки - см. уровень раздвоения периодонтальной щели мез.корня Ссылка на комментарий
Len@ Опубликовано 24 октября, 2010 Автор Поделиться Опубликовано 24 октября, 2010 2-й и 3-й снимок это один и тот же зуб. Завтра попробую сделать мезиальную проекцию и заодно перепломбирую медиальный. Обычно в зеркале видно второе устье, а тут ничего. Ссылка на комментарий
Рекомендуемые сообщения
Для публикации сообщений создайте учётную запись или авторизуйтесь
Вы должны быть пользователем, чтобы оставить комментарий
Создать аккаунт
Зарегистрируйте новый аккаунт в нашем сообществе. Это очень просто!
Регистрация нового пользователяВойти
Уже есть аккаунт? Войти в систему.
Войти