*lenok* Опубликовано 2 октября, 2010 Поделиться Опубликовано 2 октября, 2010 Ваши отзывы Ссылка на комментарий
Доктор Саша Опубликовано 7 октября, 2010 Поделиться Опубликовано 7 октября, 2010 Ваши отзывыплохо влияют..Посмотрите состав соков..Вот кстати смотрю J7, мультифрукт...Есть в составе лимонная кислота + сахар..То бишь деминерализирующий раствор.. Ссылка на комментарий
ZoyaM Опубликовано 14 ноября, 2012 Поделиться Опубликовано 14 ноября, 2012 Я своим пациентам строго настрого запрещаю пить сок до того как почистили зубы. Чтоб не верили фильмам где на завтрак в постель сок апельсиновый приносят.Или пить через трубочку, так меньше сока в полости рта остается. 1 Ссылка на комментарий
Stomart Опубликовано 14 ноября, 2012 Поделиться Опубликовано 14 ноября, 2012 Я своим пациентам строго настрого запрещаю пить сок до того как почистили зубы. Чтоб не верили фильмам где на завтрак в постель сок апельсиновый приносят.Или пить через трубочку, так меньше сока в полости рта остается.Вы считаете, что зубная паста защитит от пищевых кислот? Ссылка на комментарий
Yulechka1986 Опубликовано 14 ноября, 2012 Поделиться Опубликовано 14 ноября, 2012 тоже считаю соки кариесогенным фактором, особенно ночью если употребляют... Ссылка на комментарий
ZoyaM Опубликовано 14 ноября, 2012 Поделиться Опубликовано 14 ноября, 2012 Вы считаете, что зубная паста защитит от пищевых кислот?Привем здесь зубная паста?Зубной налет имеет рн ниже чем в ротовой жидкости, когда в ротовой полости оказываетс сок=Кислота, то значение в налете рн еще больше уменьшается(действует как лупа), т.е. в сторону кислую уходит, и еще больше разрушает эмаль. Соответственно влиянию кислоты из сока более подвержены зубы покрытые налетом.Примерно так. Ссылка на комментарий
Stomart Опубликовано 14 ноября, 2012 Поделиться Опубликовано 14 ноября, 2012 Привем здесь зубная паста?Зубной налет имеет рн ниже чем в ротовой жидкости, когда в ротовой полости оказываетс сок=Кислота, то значение в налете рн еще больше уменьшается(действует как лупа), т.е. в сторону кислую уходит, и еще больше разрушает эмаль. Соответственно влиянию кислоты из сока более подвержены зубы покрытые налетом.Примерно так.Т.е. в течение дня до вечерней чистки зубов тоже нельзя пить соки, так как за день зубы покрываются налетом? Ссылка на комментарий
ZoyaM Опубликовано 14 ноября, 2012 Поделиться Опубликовано 14 ноября, 2012 Т.е. в течение дня до вечерней чистки зубов тоже нельзя пить соки, так как за день зубы покрываются налетом?Вы меня хотите разубедить в моей точке зрения? обоснуйте. как вы смотрите наэту проблему? Ссылка на комментарий
Stomart Опубликовано 14 ноября, 2012 Поделиться Опубликовано 14 ноября, 2012 Вы меня хотите разубедить в моей точке зрения? обоснуйте. как вы смотрите наэту проблему?Абсолютно нет, я просто первый раз слышу о такой теории. А проблемы я никакой не вижу, по крайней мере в соках. Вообще считаю корнем большинства стомат проблем плохую гигиену. Ссылка на комментарий
ZoyaM Опубликовано 14 ноября, 2012 Поделиться Опубликовано 14 ноября, 2012 Честно говоря редко про это спрашивают, но соки прямо с утра не желательно пить. Про в течение дня ничего е могу сказать. да и не оки это вовсе.... Ссылка на комментарий
Stomart Опубликовано 14 ноября, 2012 Поделиться Опубликовано 14 ноября, 2012 Согласен. Вот сижу и пытаюсь вспомнить, что я пил в детстве на завтрак и не могу вспомнить Ссылка на комментарий
Каплан Опубликовано 14 ноября, 2012 Поделиться Опубликовано 14 ноября, 2012 Еще фреши вредно пить на завтрак (читай на голодный желудок) потому как содержащаяся глюкоза в жидкой форме в большом количестве быстро всасывается организмой, что может привезти к развитию диабета. Теория не моя, но вроде как есть исследования это подтверждающие... По зубам - мы после проф. гигиены не разрешаеп пациентам соки пить в теч 3х часов и не рекомендуем в первый день вообще... В домашних условиях я бы тоже не рекомендовал пить после чистки с утра и перед сном, так как во время чистки щеткой разрушается пеликула (кажется так называется этот тонюсенький эпителиальный слой) и на восстановление этого слоя нужно 2-3 часа. Хотя если честно, прямой зависимости между соком и кариесом не замечал. А вот гиперчувствительность да бывает, особенно в начале фруктового сезона. Ссылка на комментарий
ZoyaM Опубликовано 15 ноября, 2012 Поделиться Опубликовано 15 ноября, 2012 А разве пелликула не разрушается сама через некоторое время после прорезывания зуба? на сколько помнб она выполняет защитную функцию во время прорезыания зуба, и разрушаясь, не восстанавливается.Или не так?Зубная бляшка разрушается после чистки. Ссылка на комментарий
Джима Опубликовано 15 ноября, 2012 Поделиться Опубликовано 15 ноября, 2012 соки - такая же глупость, как котлеты или пюре: куча затрат времени/денег ради того, чтоб испортить себе пищеварение. не только зубы, вообще всё... 1 Ссылка на комментарий
sorriso Опубликовано 17 ноября, 2012 Поделиться Опубликовано 17 ноября, 2012 А разве пелликула не разрушается сама через некоторое время после прорезывания зуба? на сколько помнб она выполняет защитную функцию во время прорезыания зуба, и разрушаясь, не восстанавливается.Или не так?Зубная бляшка разрушается после чистки. А по-моему,зуб,когда прорезывается,покрыт нассмитовой оболочкой,которая в скором времени разрушается и не восстанавливается никогда. А пелликула образуется всегда после своего разрушения(чистка зубов) и состоит из бактерий,белков слюны и т. д. 1 Ссылка на комментарий
Nata77 Опубликовано 25 ноября, 2012 Поделиться Опубликовано 25 ноября, 2012 Проверено: соки и компоты разрушают зубы, по крайней мере молочные точно. Мой ночью много пил ( до 1,5л доходило), просто водичку не хотел, оральные поверхности деминерализировались. Вовремя спохватилась. Теперь уточняю всегда анамнез, что ребенок пьет. Подтверждается ну очень часто. Ссылка на комментарий
ZoyaM Опубликовано 2 декабря, 2012 Поделиться Опубликовано 2 декабря, 2012 А по-моему,зуб,когда прорезывается,покрыт нассмитовой оболочкой,которая в скором времени разрушается и не восстанавливается никогда. А пелликула образуется всегда после своего разрушения(чистка зубов) и состоит из бактерий,белков слюны и т. д.А что есть тогда зубная бляшка? Ссылка на комментарий
ZoyaM Опубликовано 2 декабря, 2012 Поделиться Опубликовано 2 декабря, 2012 Да, вы правы, пересмотрела литературу. Сначала пелликула, на ней бляшка образуется, а потом налет Ссылка на комментарий
Stomart Опубликовано 3 декабря, 2012 Поделиться Опубликовано 3 декабря, 2012 Проверено: соки и компоты разрушают зубы, по крайней мере молочные точно. Мой ночью много пил ( до 1,5л доходило), просто водичку не хотел, оральные поверхности деминерализировались. Вовремя спохватилась. Теперь уточняю всегда анамнез, что ребенок пьет. Подтверждается ну очень часто. По-моему проблема не в соке, а в его количестве. Ссылка на комментарий
Давлетшин Опубликовано 20 апреля, 2013 Поделиться Опубликовано 20 апреля, 2013 (изменено) Думается мне для полноты картины надо дифферинцировать соки. Врят ли берёзовый СОК собранный собственноручно в лесу будет вредным для зубов. Сын (3,5 года) просто выпрашивает в магазине соки с трубочками и выпивает 0,5 литровый сок (фрутто няня , добрый и тому подобное) за 5-10 минут, неделю назад купил 3-литровую банку сока и чёт долго она пьёться и довольно быстро напиваемся им. Как я понимаю надо смотреть чтоб в составе не было лимонной кислоты. Но опять же кто даст гарантию что в трёх литровой банке сока не разведённое юпи, зуко или инвайт? Изменено 20 апреля, 2013 пользователем Д А Р Ссылка на комментарий
ElenaD Опубликовано 6 ноября, 2013 Поделиться Опубликовано 6 ноября, 2013 еще читала, что после апельсинового сока зубы сразу чистить нельзя 2 Ссылка на комментарий
Антонина Николаевна Опубликовано 1 февраля, 2014 Поделиться Опубликовано 1 февраля, 2014 А я читала что после еды тоже нельзя чистить зубы сразу,желательно прополостнуть водой. Затем спустя 40 мин только чистить щеткой и пастой. Да..... Ссылка на комментарий
Каплан Опубликовано 1 февраля, 2014 Поделиться Опубликовано 1 февраля, 2014 Интересно, почему? Ссылка на комментарий
Антонина Николаевна Опубликовано 1 февраля, 2014 Поделиться Опубликовано 1 февраля, 2014 Стоматологи пришли к выводу что чистка зубов в течение 30 мин после еды наносит им только вред и не приносит ни капли пользы. В рот вместе с некоторыми продуктами поступает кислота которая может разрушить зубную эмаль. Особенно после кофе и газировки. Зубная щетка помогает кислоте разрушать зубную эмаль и сильнее проникать в нее. Фактически после еды она проталкивает кислоту глубже ускоряя процесс разложения. "Чистка зубов сразу после еды ускоряет процесс разложения эмали и очень быстро портит зубы"-поясняет доктор Говард Гэмбл,являющийся президентом Академии Общей стоматологии. Чистить зубы по мнению экспертов стоит не менее чем через 30 мин после приема пищи а лучше через час.Вредно после каждого перекуса чистить зубы это стирает эмаль зубов и проталкивает кислоту в структуру зубного покрытия. Достаточно очистить ротовую полость ополаскивателям. Слюне тоже необходимо время нейтролизовать кислотность,в ней содержатся ферменты которые возвращают уровень рН во рту к нейтральному. Если это напитки то ей сложнее это сделать поэтому лучше полоскать рот водой или раствором (сода+вода1:8) 3 Ссылка на комментарий
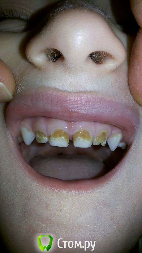
Антонина Николаевна Опубликовано 1 февраля, 2014 Поделиться Опубликовано 1 февраля, 2014 (изменено) Этой девочке 3 года. Постоянно пьет компот в течение дня и еще не может уснуть без него,на ночь обязательно" компотика". Изменено 1 февраля, 2014 пользователем Антонина Николаевна 2 Ссылка на комментарий
Рекомендуемые сообщения
Для публикации сообщений создайте учётную запись или авторизуйтесь
Вы должны быть пользователем, чтобы оставить комментарий
Создать аккаунт
Зарегистрируйте новый аккаунт в нашем сообществе. Это очень просто!
Регистрация нового пользователяВойти
Уже есть аккаунт? Войти в систему.
Войти