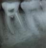
ANNA10 Опубликовано 4 июня, 2010 Поделиться Опубликовано 4 июня, 2010 (изменено) Добрый вечер!Попытаюсь описать все по порядку. В феврале, почти 4 мес назад у меня заболел зуб левая 6-ка снизу. Сделали снимок - сказали пульпит вот снимок это снимок во время лечения в первое посещениеэто снимок через 8 дней стоматолог сказал что все нормально ,только поболит 2-3 дня, и нужно поставить коронку И все это время у меня болит зуб на мои жалобы врач говорил что так и должно быть , скоро пройдетчерез месяц я сделала снимок мне сказали ждать и терпеть так как каналы запломбиоованы хорошо,а вскрывать жалко.Две недели назад распухла десна,сильная боль при малейшем надавливании на зуб врач вскрыл зуб и сказал что нашел причину поставил метапекс и мне придти через месяц ставить постоянную пломбу (если не будет болеть) Вот снимок Изменено 4 июня, 2010 пользователем ANNA10 Ссылка на комментарий
Снежана Опубликовано 4 июня, 2010 Поделиться Опубликовано 4 июня, 2010 а сколько каналов пломбировали?по снимкам похоже, что два, возможно не все каналы обработали. Ссылка на комментарий
Снежана Опубликовано 4 июня, 2010 Поделиться Опубликовано 4 июня, 2010 о, добавили еще снимок, к сожалению да - удаление. Ссылка на комментарий
ANNA10 Опубликовано 4 июня, 2010 Автор Поделиться Опубликовано 4 июня, 2010 Врач сказал что каналов 4.но не сказалс колько запломбировалНачиталась форумов и везде советуют сходить к другому врачу Что я вчера и сделала. Она сделала снимоки сказала,что не запломбирован канал. И про бифуркацию тоже сказала.пообещала попробовать запломбировать каналы заново и закрыть бифуркацию очень дорогим лекарством.Может стоит попробовать?НЕ представляю как я смогу расстаться с мои зубиком! Сейчас вроде не сильно болит. Ссылка на комментарий
Бело4ка Опубликовано 4 июня, 2010 Поделиться Опубликовано 4 июня, 2010 Врач сказал что каналов 4.но не сказалс колько запломбировалНачиталась форумов и везде советуют сходить к другому врачу Что я вчера и сделала. Она сделала снимоки сказала,что не запломбирован канал. И про бифуркацию тоже сказала.пообещала попробовать запломбировать каналы заново и закрыть бифуркацию очень дорогим лекарством.Может стоит попробовать?НЕ представляю как я смогу расстаться с мои зубиком! Сейчас вроде не сильно болит.Попробовать конечно можно. Только стоит ли овчинка выделки...Перелечить 4 канала, закрыть перфорацию прорутом, сделать вкладку и коронку - это половина стоимости имплантации. Ссылка на комментарий
ANNA10 Опубликовано 4 июня, 2010 Автор Поделиться Опубликовано 4 июня, 2010 (изменено) Да! перфорацию она сказала хочет закрыть прорутом. А насчет стоимости - ничего не жалко - очень хочется сохранить свой зубик Ведь еще год назад мне говорили что у меня интактные зубы А тут такое!! Обидно! Изменено 4 июня, 2010 пользователем ANNA10 Ссылка на комментарий
Снежана Опубликовано 4 июня, 2010 Поделиться Опубликовано 4 июня, 2010 Да! перфорацию она сказала хочет закрыть прорутом. А насчет стоимости - ничего не жалко - очень хочется сохранить свой зубик Ведь еще год назад мне говорили что у меня интактные зубы А тут такое!! Обидно!так вы узнайте) у нас например такая работа практически равна по стоимости израильским имплантам, а прогноз ну очень сомнительный. Ссылка на комментарий
Бело4ка Опубликовано 4 июня, 2010 Поделиться Опубликовано 4 июня, 2010 Перфорация очень большая. По снимку так вообще как-будто корни разделились. И воспаление там есть, а как следствие деструкция кости. Прорут только закроет дырку, но не факт что кость там восстановится. Да и ортопед вряд ли захочет протезировать такой зуб. Ссылка на комментарий
Бело4ка Опубликовано 4 июня, 2010 Поделиться Опубликовано 4 июня, 2010 вот о чем тебе Мишаня на прошлом семинаре говорил?О взаимодействии 2-х профессий мне тут подсказывают ты внимательно слушала и писала в блокнотег. Ну да, при нынешнем уровне имплантологии героизм в эндодонтии не оправдан. Вот только ортопедов что то я там не заметила. Обидно!Обидно конечно. Доктору "респект". Ссылка на комментарий
ANNA10 Опубликовано 4 июня, 2010 Автор Поделиться Опубликовано 4 июня, 2010 Еще вчера смотрел хирург. Он сказал вырвать никогда не поздно И он может попробовать почистить зуб со стороны десны или распилить зуб на две части, почистить, а потом поставить вкладку и коронку Ссылка на комментарий
Бело4ка Опубликовано 4 июня, 2010 Поделиться Опубликовано 4 июня, 2010 (изменено) Еще вчера смотрел хирург. Он сказал вырвать никогда не поздно И он может попробовать почистить зуб со стороны десны или распилить зуб на две части, почистить, а потом поставить вкладку и коронкувкладки и коронкивместо одного зуба получатся 2 маленькихда и на каждом из корней воспаление в районе верхушек тоже есть Изменено 4 июня, 2010 пользователем Бело4ка Ссылка на комментарий
ANNA10 Опубликовано 4 июня, 2010 Автор Поделиться Опубликовано 4 июня, 2010 2 маленьких - здоровых? Ссылка на комментарий
Бело4ка Опубликовано 4 июня, 2010 Поделиться Опубликовано 4 июня, 2010 Вдруг навеяло: "Пилите, Киса, пилите, она золотая". 2 маленьких - здоровых?там здоровых уже никого нет Ссылка на комментарий
Андрей Опубликовано 4 июня, 2010 Поделиться Опубликовано 4 июня, 2010 Да! перфорацию она сказала хочет закрыть прорутом. А насчет стоимости - ничего не жалко - очень хочется сохранить свой зубик Ведь еще год назад мне говорили что у меня интактные зубы А тут такое!! Обидно!Если готовы рискнуть деньгами, а доктор очень хороший, то можете побовать сохранить зуб. Ссылка на комментарий
Bier Опубликовано 4 июня, 2010 Поделиться Опубликовано 4 июня, 2010 Еще вчера смотрел хирург. Он сказал вырвать никогда не поздно И он может попробовать почистить зуб со стороны десны или распилить зуб на две части, почистить, а потом поставить вкладку и коронкувырвать бывает поздно.Удаляйте, нечего там спасать, все эти танцы с бубном - лишь отсроченное удаление за ваши деньги+ дальнейшие проблемы. Поставьте имплантат туда. Ссылка на комментарий
IRGL Опубликовано 4 июня, 2010 Поделиться Опубликовано 4 июня, 2010 Еще вчера смотрел хирург. Он сказал вырвать никогда не поздно И он может попробовать почистить зуб со стороны десны или распилить зуб на две части, почистить, а потом поставить вкладку и коронкуА,еще можно аккуратно зуб удалить, почистить,закрыть перфорацию,уложиться в 15 минут и обратно его поставить.Говорят, приживается.... Люди и такую экстремальную работу проводят.К сожаллению, здесь прогноз неблагоприятный. а имплант тоже станет вашим "зубиком".Это надежнее в данной ситуациии Ссылка на комментарий
Scrabble Опубликовано 4 июня, 2010 Поделиться Опубликовано 4 июня, 2010 Зуб, к сожалению, надо удалять... Ссылка на комментарий
ANNA10 Опубликовано 4 июня, 2010 Автор Поделиться Опубликовано 4 июня, 2010 Наверно попробую сохранить, ставить имплант очень- очень боюсь ( не смогу привыкнуть к инородному телу) Ссылка на комментарий
Андрей Опубликовано 4 июня, 2010 Поделиться Опубликовано 4 июня, 2010 Наверно попробую сохранить, ставить имплант очень- очень боюсь ( не смогу привыкнуть к инородному телу)Пломба тоже инородное тело. И кольцо на пальце, и сережки в ухе. Вас же это не смущает? Ссылка на комментарий
ANNA10 Опубликовано 4 июня, 2010 Автор Поделиться Опубликовано 4 июня, 2010 Скажите, а на первом снимке был пульпит? А то я уже совсем началала сомневатся. Может здоровый зуб лечили? Ссылка на комментарий
Bier Опубликовано 5 июня, 2010 Поделиться Опубликовано 5 июня, 2010 был пульпит. Ссылка на комментарий
ANNA10 Опубликовано 6 июня, 2010 Автор Поделиться Опубликовано 6 июня, 2010 Посоветуйте, пожалуйста,как мне поступить. 15 июня я поеду в Евпаторию отдыхать на две недели.На 9 июня договорилась с другим доктором и она попробует перепломбировать каналы и закрыть перфорацию прорутом(раньше у нее все время расписано)Если не получится и придется удалить, то сколько будет заживать и болеть? А можно ли сейчас ничего не делать и после поездки начать лечение? Ссылка на комментарий
ANNA10 Опубликовано 7 июня, 2010 Автор Поделиться Опубликовано 7 июня, 2010 Пожалуйста, подскажите сможет ли мой зуб потерпеть с лечением или удалением до 1июля? Извините за глупые вопросы, но я,к сожалению ничего не понимаю в стоматологии. Или нам сдать билеты и не рисковать?(Но я обещала маленькому сыну свозить его на море, а возможности позже поехать не будет, так как выйду после декретного на работу и отпуск никто в этом году не даст) (Сегодня зуб болит меньше) Ссылка на комментарий
ANNA10 Опубликовано 9 июня, 2010 Автор Поделиться Опубликовано 9 июня, 2010 Здравствуйте! Сегодня была у стоматолога. Я у нее спросила, что может вырвем и не будем мучаться? Она предложила попробовать, получется где-то 50 на 50. Запломбировала третий канал и положила временную пломбу. В пятницу сказала придти, закроет бифуркацию прорутом и поставит пломбу. И сказала , что скорей всего все будет нормально. Вот снимок Скажите, а то что вышел пломбирововочный материал за верхушку - это очень плохо? Ссылка на комментарий
Бело4ка Опубликовано 9 июня, 2010 Поделиться Опубликовано 9 июня, 2010 Скажите, а то что вышел пломбирововочный материал за верхушку - это очень плохо?Да тут уже не важно. Корни отдельно, от коронки ничего не осталось. Подумаешь, материал какой-то за верхушкой. Ссылка на комментарий
Рекомендуемые сообщения
Для публикации сообщений создайте учётную запись или авторизуйтесь
Вы должны быть пользователем, чтобы оставить комментарий
Создать аккаунт
Зарегистрируйте новый аккаунт в нашем сообществе. Это очень просто!
Регистрация нового пользователяВойти
Уже есть аккаунт? Войти в систему.
Войти