Перейти к содержанию
Стоматология для всех

Варианты протезирования 5 и 6-ки


Ирина Н.

Рекомендуемые сообщения

Здравствуйте!

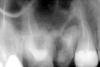
У меня соскочила общая коронка на пятом и шестом зубе справа (стояла 15 лет).

На консультации протезист сказал, что пятый и шестой зубы надо удалять:

на пятом – гранулема, на шестом кариес корня. Предложил два варианта протезирования:

 

1. Мост на с опорой на 3,4,7

2. Имплантаты на 5 и 6.

 

Очень не хочется депульпировать и обтачивать живой 3-й клык – у меня и так мало осталось живых зубов.

Имплантаты – дорого и страшновато: на пятом (гранулема) - приживется ли?

 

Посоветуйте, пожалуйста, можно ли сохранить шестой для моста (хотя бы на несколько лет)?

Есть ли другие варианты?

post-12247-1268734667_thumb.jpgpost-12247-1268734780_thumb.jpg

Ссылка на комментарий

Здравствуйте!

У меня соскочила общая коронка на пятом и шестом зубе справа (стояла 15 лет).

На консультации протезист сказал, что пятый и шестой зубы надо удалять:

на пятом – гранулема, на шестом кариес корня. Предложил два варианта протезирования:

 

1. Мост на с опорой на 3,4,7

2. Имплантаты на 5 и 6.

 

Очень не хочется депульпировать и обтачивать живой 3-й клык – у меня и так мало осталось живых зубов.

Имплантаты – дорого и страшновато: на пятом (гранулема) - приживется ли?

 

Посоветуйте, пожалуйста, можно ли сохранить шестой для моста (хотя бы на несколько лет)?

Есть ли другие варианты?

post-12247-1268734667_thumb.jpgpost-12247-1268734780_thumb.jpg

 

Удалите зубы, дождитесь заживления(2-3 мес) и ставьте спокойненько имплантаты. Все приживется...деваться им некуда. Можно конечно и одномоментно с удалением попытаться установить,тем самым сократить время лечения, но риск осложнений будет повышен.

Ссылка на комментарий

Здравствуйте!

У меня соскочила общая коронка на пятом и шестом зубе справа (стояла 15 лет).

На консультации протезист сказал, что пятый и шестой зубы надо удалять:

на пятом – гранулема, на шестом кариес корня. Предложил два варианта протезирования:

 

1. Мост на с опорой на 3,4,7

2. Имплантаты на 5 и 6.

 

Очень не хочется депульпировать и обтачивать живой 3-й клык – у меня и так мало осталось живых зубов.

Имплантаты – дорого и страшновато: на пятом (гранулема) - приживется ли?

 

Посоветуйте, пожалуйста, можно ли сохранить шестой для моста (хотя бы на несколько лет)?

Есть ли другие варианты?

post-12247-1268734667_thumb.jpgpost-12247-1268734780_thumb.jpg

Похоже, Вам все правильно сказали. Эти зубы надо удалять. Имплантаты будут лучше моста.

Ссылка на комментарий

Похоже, Вам все правильно сказали. Эти зубы надо удалять. Имплантаты будут лучше моста.

 

Большое спасибо за ответы - раз мнение профессионалов единогласно - придется удалять...

 

Еще два вопроса:

 

1. Какой срок подождет удаление и имплантация? Полгода - много?

 

2. Слева у меня тоже проблема - 5-й зуб: канал перелечивали 5 лет назад (была гранулема и периодические флюсы) после этого зуб перестал беспокоить. Но сейчас остался только корень - на консультации врач сказал, что его надо удалять. Можно ли его имплантировать, а то мне говорили 5 лет назад, что там рассосалась костная ткань. Или туда лучше мост.

 

Вставляю снимок 5-летней давности.post-12247-1268905880_thumb.jpg

Ссылка на комментарий

Большое спасибо за ответы - раз мнение профессионалов единогласно - придется удалять...

 

Еще два вопроса:

 

1. Какой срок подождет удаление и имплантация? Полгода - много?

 

2. Слева у меня тоже проблема - 5-й зуб: канал перелечивали 5 лет назад (была гранулема и периодические флюсы) после этого зуб перестал беспокоить. Но сейчас остался только корень - на консультации врач сказал, что его надо удалять. Можно ли его имплантировать, а то мне говорили 5 лет назад, что там рассосалась костная ткань. Или туда лучше мост.

 

Вставляю снимок 5-летней давности.post-12247-1268905880_thumb.jpg

По этому снимку ничего не скажешь. Надо делать свежий, а лучше КТ.

Через пять месяцев ситуация точно не улучшится. Вы хотябы зубы удалите, а через пол года как раз имплантаты поставите.

Ссылка на комментарий

Для публикации сообщений создайте учётную запись или авторизуйтесь

Вы должны быть пользователем, чтобы оставить комментарий

Создать аккаунт

Зарегистрируйте новый аккаунт в нашем сообществе. Это очень просто!

Регистрация нового пользователя

Войти

Уже есть аккаунт? Войти в систему.

Войти
×
×
  • Создать...
Вверх