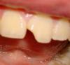
NNB Опубликовано 8 марта, 2010 Поделиться Опубликовано 8 марта, 2010 (изменено) сын, 14 лет, сломал зуб. Очень неудачно.т.к по диагонали, т.е. внутри площадь сломанная больше, чем видно снаружи. Мы должны ставить брекеты через месяц. Скажите, что делать? Возможно восстановление? Реагирует на холод и горячее немного, прошло два дня. Изменено 8 марта, 2010 пользователем NNB Ссылка на комментарий
Ion Опубликовано 8 марта, 2010 Поделиться Опубликовано 8 марта, 2010 Для начало лучше будет если сделаете снимок этого зуба . Если зуб реагирует на холод и горячее, то скорее-всего его надо лечить эндодонтический (т.е придется удалить нерв ) . А реставрировать можно свободно , только Вы должны найти хорошего врача-реставратора . Ссылка на комментарий
zybnaya feya Опубликовано 8 марта, 2010 Поделиться Опубликовано 8 марта, 2010 сын, 14 лет, сломал зуб. Очень неудачно.т.к по диагонали, т.е. внутри площадь сломанная больше, чем видно снаружи. Мы должны ставить брекеты через месяц. Скажите, что делать? Возможно восстановление? Реагирует на холод и горячее немного, прошло два дня.Если пульпа не повредилась-реставрация.Брекеты отлично клеяться к композиту.Если травматизация пульпы произошла-депульпировать,пока на момент ортодонтии восстановить компзитом,а после снятия брекетов-коронка Ссылка на комментарий
Fred Опубликовано 8 марта, 2010 Поделиться Опубликовано 8 марта, 2010 Для начало лучше будет если сделаете снимок этого зуба . Если зуб реагирует на холод и горячее, то скорее-всего его надо лечить эндодонтический (т.е придется удалить нерв ) . А реставрировать можно свободно , только Вы должны найти хорошего врача-реставратора . А чего снимок тут даст-то? Ссылка на комментарий
NNB Опубликовано 8 марта, 2010 Автор Поделиться Опубликовано 8 марта, 2010 (изменено) Спасибо большое за отклик всем!!! Еще можно вопросы?1. Только врач определит нужна ли депульпация, да?2. Композит - это винир?3. Мы улетаем в Германию через неделю, там лучше реставрируют, как думаете? Или разницы нет? Изменено 8 марта, 2010 пользователем NNB Ссылка на комментарий
Бело4ка Опубликовано 8 марта, 2010 Поделиться Опубликовано 8 марта, 2010 1. Только врач определит нужна ли депульпация, да?2. Мы улетаем в Германию через неделю, там лучше реставрируют, как думаете? Или разницы нет?1. Да.2. За неделю Вы можете успеть сделать это здесь. Нужно как можно скорее провести реставрацию. Ссылка на комментарий
NNB Опубликовано 8 марта, 2010 Автор Поделиться Опубликовано 8 марта, 2010 1. Да.2. За неделю Вы можете успеть сделать это здесь. Нужно как можно скорее провести реставрацию. а посоветуете врача? почему так срочно надо делать, разве в Германии врачи хуже? Мне кажется, у них и материалы надежнее?ничего в этом не понимаю, ни одной пломбы у самой за почти 35 лет, и у ребенка все зубы целые, так обидно!!! Ссылка на комментарий
Бело4ка Опубликовано 8 марта, 2010 Поделиться Опубликовано 8 марта, 2010 а посоветуете врача? почему так срочно надо делать, разве в Германии врачи хуже? Мне кажется, у них и материалы надежнее?ничего в этом не понимаю, ни одной пломбы у самой за почти 35 лет, и у ребенка все зубы целые, так обидно!!!Посоветовала.Материалы у них те же. Точнее у нас те же. Срочно надо делать, потому что таким образом сохранить зубу жизнь шансов больше. Пока Вы в Германию прилетите, пока врача найдёте, времени сколько пройдёт? Ссылка на комментарий
NNB Опубликовано 8 марта, 2010 Автор Поделиться Опубликовано 8 марта, 2010 Посоветовала.не поняла Ссылка на комментарий
Бело4ка Опубликовано 8 марта, 2010 Поделиться Опубликовано 8 марта, 2010 не понялаНаписала в личку. Ссылка на комментарий
NNB Опубликовано 8 марта, 2010 Автор Поделиться Опубликовано 8 марта, 2010 Написала в личку. спасибо большое, уже позвонила и переслала фотографию, будут стараться нам помочь. Ссылка на комментарий
NNB Опубликовано 10 марта, 2010 Автор Поделиться Опубликовано 10 марта, 2010 Зуб сделан!!!Бело4ке ОГРОМНОЕ ЧЕЛОВЕЧЕСКОЕ СПАСИБО!!! За быстрый отклик и врача!!! Ссылка на комментарий
Бело4ка Опубликовано 10 марта, 2010 Поделиться Опубликовано 10 марта, 2010 (изменено) Зуб сделан!!!Бело4ке ОГРОМНОЕ ЧЕЛОВЕЧЕСКОЕ СПАСИБО!!! За быстрый отклик и врача!!!Пожалуйста! Изменено 10 марта, 2010 пользователем Бело4ка Ссылка на комментарий
Doc Опубликовано 10 марта, 2010 Поделиться Опубликовано 10 марта, 2010 Зуб сделан!!! Прямо не верится, что для этого не пришлось ехать в Германию! Чудеса, да и только! Ссылка на комментарий
Большой Зеленый Опубликовано 11 марта, 2010 Поделиться Опубликовано 11 марта, 2010 Прямо не верится, что для этого не пришлось ехать в Германию! Чудеса, да и только! Ссылка на комментарий
polza32 Опубликовано 24 марта, 2010 Поделиться Опубликовано 24 марта, 2010 А сколько ж такое удовольствие в Германии стоит? Ссылка на комментарий
Рекомендуемые сообщения
Для публикации сообщений создайте учётную запись или авторизуйтесь
Вы должны быть пользователем, чтобы оставить комментарий
Создать аккаунт
Зарегистрируйте новый аккаунт в нашем сообществе. Это очень просто!
Регистрация нового пользователяВойти
Уже есть аккаунт? Войти в систему.
Войти