aidar Опубликовано 11 ноября, 2009 Поделиться Опубликовано 11 ноября, 2009 Здравствуйте, месяц назад сходил в поликлиннику, где мне удалили нерв. Уже месяц хожу к врачу, который не может мне прочистить каналы, так как при касании очень больно. Врач каждый раз отправляет домой советуя полоскать ромашкой и тд. Полоскать то я полоскаю, но вот боли все такие же. Похоже улучшений нет. Постоянно привкус гноя во рту. Что можно сделать, может удалить зуб или есть препараты? Врач говорит что срощение десны чтоли...Каналы говорит узкие не пробраться. Может врача сменить? Ссылка на комментарий
x3m Опубликовано 11 ноября, 2009 Поделиться Опубликовано 11 ноября, 2009 (изменено) последнее предложение - очень здравоетак зуб лечиться не должен. больно касаться к зубу во время лечения - на то есть анестезия.зуб или лечится быстро (не месяц) и эффективно, или удаляется.гной - не есть хорошо.выложите снимки. Изменено 11 ноября, 2009 пользователем x3m Ссылка на комментарий
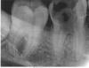
aidar Опубликовано 11 ноября, 2009 Автор Поделиться Опубликовано 11 ноября, 2009 вот, качество не очень, но другого нету Ссылка на комментарий
Большой Зеленый Опубликовано 11 ноября, 2009 Поделиться Опубликовано 11 ноября, 2009 вот, качество не очень, но другого нетуСменить врача! Ссылка на комментарий
x3m Опубликовано 11 ноября, 2009 Поделиться Опубликовано 11 ноября, 2009 (изменено) в 6-м, похоже, 4 канала. Шансы пролечить есть.меняйте врача.открытым зуб не должен оставаться. Выполаскивать ромашкой - никакого эффекта.Врач должен пользоваться коффердамом.и надо смотреть зуб - не нравится мне бифуркация (место соединения корней). Или это просто тень? коллеги, подскажите. Если бифуркация разрушена - зуб, как правило, удаляется. ЗЫ. 8 зуб, похоже, надо удалять. сделайте еще и его снимок. Изменено 11 ноября, 2009 пользователем x3m Ссылка на комментарий
aidar Опубликовано 11 ноября, 2009 Автор Поделиться Опубликовано 11 ноября, 2009 в 6-м, похоже, 4 канала. Шансы пролечить есть.меняйте врача.открытым зуб не должен оставаться. Выполаскивать ромашкой - никакого эффекта.Врач должен пользоваться коффердамом.и надо смотреть зуб - не нравится мне бифуркация (место соединения корней). Или это просто тень? коллеги, подскажите. Если бифуркация разрушена - зуб, как правило, удаляется. ЗЫ. 8 зуб, похоже, надо удалять. сделайте еще и его снимок.восьмой зуб это тот что слева? а что с ним, он меня не тревожит... Ссылка на комментарий
x3m Опубликовано 11 ноября, 2009 Поделиться Опубликовано 11 ноября, 2009 я не знаю, слева он у Вас или справа...он не тревожит пока что.но имеет много шансов потревожить (я так думаю).сделайте еще и его прицельный снимок для предметного разговора.(а, ну да, на этом снимке - слева выглядывает). Ссылка на комментарий
Ion Опубликовано 11 ноября, 2009 Поделиться Опубликовано 11 ноября, 2009 Моие колеги Вам правильный совет дают, чтобы Вы поменяли , и притом в срочном порядке, врача. А во-вторых, как мне кажется , 6 и 7 надо лечить, оба. И наверно в 6-ке, есть ещё перфорация. Я советю , как можно по-быстрее меняете врача. Ссылка на комментарий
aidar Опубликовано 11 ноября, 2009 Автор Поделиться Опубликовано 11 ноября, 2009 Спасибо за советы. Сменю врача. Ссылка на комментарий
Рекомендуемые сообщения
Для публикации сообщений создайте учётную запись или авторизуйтесь
Вы должны быть пользователем, чтобы оставить комментарий
Создать аккаунт
Зарегистрируйте новый аккаунт в нашем сообществе. Это очень просто!
Регистрация нового пользователяВойти
Уже есть аккаунт? Войти в систему.
Войти