poma_puma Опубликовано 20 февраля, 2007 Поделиться Опубликовано 20 февраля, 2007 Здравствуйте, нужен совет специалистов.Резкая боль 6-го зуба, под коронкой. Врач вскрыл коронку, прочистил 2 канала из трех, положил лекарство. Третий канал не смог пройти, мотивируя тем что канал забит инфекцией и он его не может до конца достать. Настаивает на удалении зуба. Прописал антибиотки чтобы погасить воспаление и вырвать зуб.Получил мнение второго врача. Он глянул одну минуту на снимок и сказал что ТОЛЬКО удаление.Мне 34 года. Что бы вы посоветовали? Спасибо. Ссылка на комментарий
Доктор Шприц Опубликовано 20 февраля, 2007 Поделиться Опубликовано 20 февраля, 2007 Первым делом в таких случаях желательно снимать коронку, затем удалять из зуба пораженые кариесом ткани. Тогда и с каналами бывает легче разобраться, виднее все будет. В данном случае о возможности пройти каналы по снимку сказать сложно. Хотя явных проблем на снимке может не быть, в реальности там могут быть анатомические препятствия, мешающие сделать это... В любом случае коронку хорошо бы снять - тогда можно установить степень поражения кариесом корня, иногда лечение, действительно, нецелесообразно. Далее - у верхушек корней видны темные "облачка", это признаки хронического воспаления. Их устранение является целью лечения каналов, в конечном итоге. Если каналы удалось обработатть и запломбировать как надо, это еще не означает удачного исхода - надо дождаться рентгенологического подтверждения успеха лечения - его будет видно по уменьшению размеров "облачков" (и по отсутствию обострений, конечно). На время этого ожидания (пара месяцев, иногда до полугода) необходимо временное восстановление зуба, чтобы он функционировал как обычно. Если успех достигнут - тогда зуб восстанавливается культевой вкладкой и коронкой (иногда, при отсутствии другой возможности, вкладка делается сразу, а коронка откладывается до получения результатов лечения, чтобы не тратить напрасно физические и материальные ресурсы) Заодно надо посмотреть, что творится под пломбой соседнего 7-го, там есть признаки кариеса, и край нависает (не расположен "заподлицо" с корнем). До изготовления постоянной коронки надо этот вопрос решить. Для прогнозирования успеха желательно знать, в какой ценовой категории происходит все действо - это тоже влияет на исход Ссылка на комментарий
NataLee Опубликовано 20 февраля, 2007 Поделиться Опубликовано 20 февраля, 2007 Здравствуйте, нужен совет специалистов. Резкая боль 6-го зуба, под коронкой. Врач вскрыл коронку, прочистил 2 канала из трех, положил лекарство. Третий канал не смог пройти, мотивируя тем что канал забит инфекцией и он его не может до конца достать. Настаивает на удалении зуба. Прописал антибиотки чтобы погасить воспаление и вырвать зуб. Получил мнение второго врача. Он глянул одну минуту на снимок и сказал что ТОЛЬКО удаление. Мне 34 года. Что бы вы посоветовали? Спасибо. Здравствуйте! Я за удаление этого зуба. Объясню, почему. Во-первых, большие гранулёмы на верхушках корней. Пытаться убрать их терапевтическими методами можно, но в Вашем случае, раз один канал пройти не удаётся, шансы на благоприятный исход и отсутствие рецидивов в дальнейшем резко падают. Во-вторых, зуб сильно "распилен" в области бифуркации (место, где расходятся корни) - там осталось мало твёрдых тканей, в любой момент по этому месту может произойти перелом зуба напополам или возникнуть воспалительный процесс. В общем, с моей точки зрения, "против" этого зуба явно больше, чем "за". Лучше удалить и заместить чем-то более надёжным - имплантатом или мостовидным протезом. Ссылка на комментарий
Bier Опубликовано 20 февраля, 2007 Поделиться Опубликовано 20 февраля, 2007 еще один голос за удаление.согласен полностью с NataLee Ссылка на комментарий
Дядя Вик Опубликовано 20 февраля, 2007 Поделиться Опубликовано 20 февраля, 2007 Я бы его удалил, так как шанс очень мал. Ссылка на комментарий
Штаматолог Опубликовано 20 февраля, 2007 Поделиться Опубликовано 20 февраля, 2007 я бы тоже не связывался с таким зубом, т.ч. +1 за удаление с последующим протезированием. а еще с 7-кой тоже мне кажется с периодонтом не все хорошо, если меня глаза не подводят. Ссылка на комментарий
NataLee Опубликовано 20 февраля, 2007 Поделиться Опубликовано 20 февраля, 2007 я бы тоже не связывался с таким зубом, т.ч. +1 за удаление с последующим протезированием. а еще с 7-кой тоже мне кажется с периодонтом не все хорошо, если меня глаза не подводят. Вот 7-ой зуб меня тоже смущает, но трудно сказать точно... не решусь по этому снимку диагноз поставить... Ссылка на комментарий
DoctorDim Опубликовано 20 февраля, 2007 Поделиться Опубликовано 20 февраля, 2007 Здравствуйте, нужен совет специалистов. Резкая боль 6-го зуба, под коронкой. Врач вскрыл коронку, прочистил 2 канала из трех, положил лекарство. Третий канал не смог пройти, мотивируя тем что канал забит инфекцией и он его не может до конца достать. Настаивает на удалении зуба. Прописал антибиотки чтобы погасить воспаление и вырвать зуб. Получил мнение второго врача. Он глянул одну минуту на снимок и сказал что ТОЛЬКО удаление. Мне 34 года. Что бы вы посоветовали? Спасибо. Если не удалось пройти все каналы - то шансов никаких, по-моему... Ссылка на комментарий
poma_puma Опубликовано 23 февраля, 2007 Автор Поделиться Опубликовано 23 февраля, 2007 Ребята, спасибо что откликнулись и просветили. ЕЩе раз схожу за мнением специалиста 1 марта, и если будут новые снимки, постараюсь выложить.Спасибо еще раз. Ссылка на комментарий
cold Опубликовано 23 февраля, 2007 Поделиться Опубликовано 23 февраля, 2007 Удаляем! Вероятность успешного лечения почти равна нулю! Потратите нервы-время-деньги... Ссылка на комментарий
Doc Опубликовано 23 февраля, 2007 Поделиться Опубликовано 23 февраля, 2007 Если не удалось пройти все каналы - то шансов никаких, по-моему... Если Dr. Dim сказал в сад, значит точно в сад. Он обычно любитель помучиться. Ссылка на комментарий
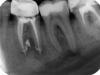
poma_puma Опубликовано 16 апреля, 2007 Автор Поделиться Опубликовано 16 апреля, 2007 Здравствуйте, это я вновь. Запломбировали мне каналы. Вот как это выглядит на картинке. Пока проблем нет, хожу с временной пломбой уже больше месяца.Иногда о себе дает знать соседний 7-ой зуб. Есть ли какие мнения от новой картины состояния моих зубов, буду признаетелен.Спасибо. Ссылка на комментарий
Штаматолог Опубликовано 16 апреля, 2007 Поделиться Опубликовано 16 апреля, 2007 Здравствуйте, это я вновь. Запломбировали мне каналы. Вот как это выглядит на картинке. Пока проблем нет, хожу с временной пломбой уже больше месяца. Иногда о себе дает знать соседний 7-ой зуб. Есть ли какие мнения от новой картины состояния моих зубов, буду признаетелен. Спасибо. то что прошли так хорошо каналы - это безусловно плюс, шансы наверное все-таки есть. Что по этому снимку не нравится лично мне: 1. в первую очередь конечно 7-ка, как и предполагалось там те же проблемы, начинайте лечить его тоже. 2. пародонтит между 6 и 7 а также 7 и 8. ну и если придираться : нависающая пломба на 8-ке и плохо пройденные медиальные каналы. и вот я не понял, что там на 6-ке у вас коронка? на дистальной стороне нет герметичности - устье канала контактирует с внешней средой. хотя конечно может это снимок был в процессе, а не окончательный. Ссылка на комментарий
Bier Опубликовано 17 апреля, 2007 Поделиться Опубликовано 17 апреля, 2007 Здравствуйте, это я вновь. Запломбировали мне каналы. Вот как это выглядит на картинке. Пока проблем нет, хожу с временной пломбой уже больше месяца. Иногда о себе дает знать соседний 7-ой зуб. Есть ли какие мнения от новой картины состояния моих зубов, буду признаетелен. Спасибо. так всетаки удалось пройти все 3 канала.... Ссылка на комментарий
poma_puma Опубликовано 18 апреля, 2007 Автор Поделиться Опубликовано 18 апреля, 2007 так всетаки удалось пройти все 3 канала.... выходит что да. Антибиотики убили инфекцию, гной вышел, по всей видимости. А представьте, что я бы его удалил еще месяц назад. Причем два доктора настаивали на удалении, а третий взялся лечить. Посморим, как дальше будет. Ссылка на комментарий
Elena_R Опубликовано 18 апреля, 2007 Поделиться Опубликовано 18 апреля, 2007 выходит что да. Антибиотики убили инфекцию, гной вышел, по всей видимости. А представьте, что я бы его удалил еще месяц назад. Причем два доктора настаивали на удалении, а третий взялся лечить. Посморим, как дальше будет. Оооооо! Тоже решил лечить все же. Наш человек! Поздравляю ( тьфу-тьфу-тьфу)! а то "в сад".. В "сад" всегда успеется Ссылка на комментарий
poma_puma Опубликовано 19 апреля, 2007 Автор Поделиться Опубликовано 19 апреля, 2007 Оооооо! Тоже решил лечить все же. Наш человек! Поздравляю ( тьфу-тьфу-тьфу)! а то "в сад".. В "сад" всегда успеется Спасибо. Ссылка на комментарий
конфьюзд Опубликовано 22 апреля, 2007 Поделиться Опубликовано 22 апреля, 2007 выходит что да. Антибиотики убили инфекцию, гной вышел, по всей видимости. А представьте, что я бы его удалил еще месяц назад. Причем два доктора настаивали на удалении, а третий взялся лечить. Посморим, как дальше будет. Я тоже поздравляю! Молодец, poma_puma, так держать! Опять таки, стоматолог должен был признаться, что не умеет лечить сложных каналов и направить человека к эндодонту, у которого и операционный микроскоп (или что-то б этом роде) и набор тонких и гибких инструментов для прохождения сложных каналов. Удалять всегда успеем, нужно лечить у хороших специалистов. Ссылка на комментарий
конфьюзд Опубликовано 22 апреля, 2007 Поделиться Опубликовано 22 апреля, 2007 Здравствуйте, это я вновь. Запломбировали мне каналы. Вот как это выглядит на картинке. Пока проблем нет, хожу с временной пломбой уже больше месяца. Иногда о себе дает знать соседний 7-ой зуб. Есть ли какие мнения от новой картины состояния моих зубов, буду признаетелен. Спасибо. Просветите, пожалуйста, что это возле верхушек корней на снимке? Пломбировочный материал? Ссылка на комментарий
Doc Опубликовано 22 апреля, 2007 Поделиться Опубликовано 22 апреля, 2007 Просветите, пожалуйста, что это возле верхушек корней на снимке? Пломбировочный материал? Именно он, выведенный далеко за верхушку. Раньше был такой метод лечения гранулем. Забыл фамилию докторицы, она сейчас в Москве это открытие пропагандирует. Рассказывает, что вакуумом выжигает кисту, а потом заполняет по самое не могу пастой. Говорит, что хороший способ. Многие верят. Ссылка на комментарий
Рекомендуемые сообщения
Для публикации сообщений создайте учётную запись или авторизуйтесь
Вы должны быть пользователем, чтобы оставить комментарий
Создать аккаунт
Зарегистрируйте новый аккаунт в нашем сообществе. Это очень просто!
Регистрация нового пользователяВойти
Уже есть аккаунт? Войти в систему.
Войти