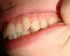
annusya Опубликовано 26 октября, 2009 Поделиться Опубликовано 26 октября, 2009 Здравствуйте, посоветуйте, пожалуйста! Мне 23 года. С детства была проблема - неправильно стоящий клык с левой стороны. С 11 лет носила пластинки. Клык опустился, но не до конца. Ортодонт предлагала удалять четверку слева, но и удалять не хотелось, и не сильно беспокоил меня внешний вид моих зубов и ...все так и осталось. Но года 2 назад полезли зубы мудрости, и нижние зубы у меня "поехали", а вместе с ними и верхние единицы и левая верхняя двойка. Решила поставить брекеты, сделали снимок и выяснилось, что левая нижняя восьмерка занимает неправильное положение. Ходила к разным ортодонтам, кто -то говорит, что надо обязательно нижние восьмерки удалять, кто-то же говорит, что не нужно трогать, тк больше на зубы она не повлияет. Посоветуйте, пожалуйста, обязательно ли это, тк сама склоняюсь к мысли ее удалять, но боюсь последствий удаления. И еще, нужно ли мне в моем случае удалять еще какие-либо зубы, тк ортодонты,к которым я ходила, тоже не имют однозначного мнения на этот счет. Спасибо! http://s08.radikal.ru/i181/0910/51/f1742cca5077.jpg Ссылка на комментарий
Force Опубликовано 26 октября, 2009 Поделиться Опубликовано 26 октября, 2009 Дело пахнет удалением. Как минимум четырех зубов. Либо четыре восьмерки, либо четыре премоляра + ретинированная восьмерка. В зависимости от дополнительных методов обследования. Асимметричное удаление я, лично, не практикую. Думаю, коллеги согласятся.Без ТРГ конкретной речи вообще быть не может о планировании. Ссылка на комментарий
Orthodoc Опубликовано 27 октября, 2009 Поделиться Опубликовано 27 октября, 2009 Дело пахнет удалением. Как минимум четырех зубов. Либо четыре восьмерки, либо четыре премоляра + ретинированная восьмерка. В зависимости от дополнительных методов обследования. Асимметричное удаление я, лично, не практикую. Думаю, коллеги согласятся.Без ТРГ конкретной речи вообще быть не может о планировании.Склоняюсь тоже к удалению премоляров. Выраженная протруссия, дистальный прикус; это то, что удалось увидеть без ТРГ. Какие зубы лучше удалять и в каком количестве, без ТРГ не определить Ссылка на комментарий
Премоляр Опубликовано 27 октября, 2009 Поделиться Опубликовано 27 октября, 2009 Согласен с коллегами.На лицо выпуклый профиль,бимаксилл.протрузия.Предположительно удаление 4х премоляров+8ки.Более подробно-только на очной конс.у ортодонта.(с полным диагност.обследованием) Ссылка на комментарий
annusya Опубликовано 27 октября, 2009 Автор Поделиться Опубликовано 27 октября, 2009 Хотелось бы мне сделать ТРГ, но вот только ни один ортодонт, у которого я была, ничего мне про него не говорил Может, не знают еще в нашем городе Владимире о таком? Уважаемые Премоляр и Ortodoc, а что такое протрузия???? И еще такой вопрос. Три из четырех ортодонтов очень активно советовали мне брекеты Damon, мотивируя это тем, что лечение будет производиться без удаления и в минимальные сроки. Последний предложил сапфиры или обычные железные (он толька на таких работает), насчет удаления у него были сомнения. ЧТо вы думаете по этому поводу, тк в волшебное излечение без удаления мне самой что-то не очень верится? Спасибо Ссылка на комментарий
krasik Опубликовано 27 октября, 2009 Поделиться Опубликовано 27 октября, 2009 ЧТо вы думаете по этому поводу, тк в волшебное излечение без удаления мне самой что-то не очень верится? Спасибо Про эти брекеты много на форуме писали. Мое мнение, что расстаться с четверками придется в любом случае и не спасет дамон. Протрузия - это чрезмерный наклон зубов вперед. Чтоб исправить этот наклон - необходимо иметь место, которое "добывается" путем удаление. В данном случае, если лечить без удаления, в том числе и брекетами Даймон - получите еще более выраженный наклон (протрузию), и еще более выпуклый профиль. Будет очень некрасиво и не функционально. Ссылка на комментарий
Orthodoc Опубликовано 28 октября, 2009 Поделиться Опубликовано 28 октября, 2009 Хотелось бы мне сделать ТРГ, но вот только ни один ортодонт, у которого я была, ничего мне про него не говорил Может, не знают еще в нашем городе Владимире о таком? Уважаемые Премоляр и Ortodoc, а что такое протрузия???? И еще такой вопрос. Три из четырех ортодонтов очень активно советовали мне брекеты Damon, мотивируя это тем, что лечение будет производиться без удаления и в минимальные сроки. Последний предложил сапфиры или обычные железные (он толька на таких работает), насчет удаления у него были сомнения. ЧТо вы думаете по этому поводу, тк в волшебное излечение без удаления мне самой что-то не очень верится? Спасибо DAMON- не панацея, это инструмент в руках ортодонта. Инструмент выбирает врач, а не пациент!!! Проведите диагностическое обследование хотя бы у одного специалиста, разговор будет предметным. Ссылка на комментарий
Премоляр Опубликовано 28 октября, 2009 Поделиться Опубликовано 28 октября, 2009 Согласен с коллегами.Как вообще можно что то планировать,не видя ТРГ??? По старинке,"на глаз" Вообще,когда доктор прежде чем провести диагн.обследование,сразу "советует деймоны и т.д.."-компетенция и профссионализм его вызывает сомнение. Ссылка на комментарий
annusya Опубликовано 23 ноября, 2011 Автор Поделиться Опубликовано 23 ноября, 2011 Здравствуйте, уважаемые ортодонты. Около 2-х лет назад я описывала свой случай. Мною был выбран ортодонт, хорошо себя зарекомендовавший (исправил зубы нескольким моим знакомым), брекеты поставлены в январе 2011 года. После долгих размышлений было принято решение лечение проводить без удаления (хотя до последнего были сомнения). Удаляли только лежачую восьмерку. Результат появился, клык встал на место. Но вот передние зубы, хоть и убрались немного назад, но наклон мне их по-прежнему не нравится. Ортодонт же говорит, что небольшой наклон - это нормально. Но я с самого начала ему говорила, что хочу подальше задвинуть единицы. И вот теперь, когда дело движется к концу, он предложил, раз мне не нравится, удалить две верхние четверки и благодаря образовавшемуся месту задвинуть единицы назад. На мой вопрос, а не надо ли удалять зубы еще и снизу, сказал, что не нужно. Знаю, что от вас последует вопрос про ТРГ. Ни один ортодонт в нашем городе (а у нас во Владимире их всего 4 было на момент установки было) не предложил мне сделать ТРГ (мой на вопрос о ТРГ сказал, что ему не нужно). И вот теперь я не знаю, что и делать. Удалять страшно, идти к другому - не знаю, есть ли смысл, а оставлять как есть тоже не хочу. Помогите, пожалуйста, советом. Ссылка на комментарий
annusya Опубликовано 23 ноября, 2011 Автор Поделиться Опубликовано 23 ноября, 2011 и еще несколько фотографий. Ссылка на комментарий
Рекомендуемые сообщения
Для публикации сообщений создайте учётную запись или авторизуйтесь
Вы должны быть пользователем, чтобы оставить комментарий
Создать аккаунт
Зарегистрируйте новый аккаунт в нашем сообществе. Это очень просто!
Регистрация нового пользователяВойти
Уже есть аккаунт? Войти в систему.
Войти