Фарид Расулыч Опубликовано 13 августа, 2015 Поделиться Опубликовано 13 августа, 2015 На форуме есть такой человек с ником Skip. Пообщайтесь с ним Ссылка на комментарий
Амина Опубликовано 13 августа, 2015 Автор Поделиться Опубликовано 13 августа, 2015 Спасибо! Ссылка на комментарий
Амина Опубликовано 17 августа, 2015 Автор Поделиться Опубликовано 17 августа, 2015 Вот корейцы написали * Предполагаемый диагноз Бимакслярный верхнечелюстной выступ классаII с врожденным отсутствием # 12,22 * Предполагаемое обследование: Цефалометрическая рентгенограмма, зубные слепки, рентгенограмма ручного запястья, клинические снимки и изображения конусно-лучевой компьютерной томографии (КЛКТ) * План лечения В данный момент создается пространство для установки двух имплантов верхнечелюстных центральных резцов, проводится ортодонтическое лечение, однако по приезду в Корею с самого начала надо будет провести точное обследование прикуса. 1) Из-за состояния челюсти (нижняя челюсть смещена назад и расположена перпендикулярно) и неправильной фиксации всех зубов (и избыточности) видна протрузия черт лица. Поэтому, даже если намерены вставлять импланты, трудно ожидать эстетического результата от данной процедуры. 2) Если Вы захотите пройти эстетическое лечение, Вариант 1.Верхняя челюсть; не создавать пространство для имплантов на месте отсутствующих зубов, передние зубы верхней челюсти сдвинуть назад, так закроется пространство, верхняя челюсть – нижняя челюсть; премолярные зубы удаляются или не удаляя в целом зубы, сдвигаем их назад. Так можно решить проблему протрузии – формирование правильного прикуса и достижение эстетического эффекта. Таким образом, клыки буду использованы вместо средних резцов, премолярные зубы – вместо клыков, затем для достижения эстетиеского эффекта будет возможно изменение формы зубов иортопедическая реставрация. Вариант 2.Завершить лечение, которое Вы проходите в даннй момент, после чего можно провести ортопедическую реставрацию средних резцов.Однако трудно в таком случае дать позитичные рекомендации. Вероятности эстетического эффекта нет, затраты на лечение будут высоки. *Время курса лечения: ортодонтическое лечение – предположительно 1,5 – 2 года. (3-4 раза в год, 1 раз - срок пребывания минимум 3-5 дней, первый приезд - 5-7 дней) Блин, шесть лет убили на то чтобы отодвинуть зубы и оказалось, что это неправильно Завтра к нашим врачам идем Ссылка на комментарий
Yana guapa Опубликовано 17 августа, 2015 Поделиться Опубликовано 17 августа, 2015 Вот корейцы написали *Время курса лечения: ортодонтическое лечение – предположительно 1,5 – 2 года. (3-4 раза в год, 1 раз - срок пребывания минимум 3-5 дней, первый приезд - 5-7 дней) Блин, шесть лет убили на то чтобы отодвинуть зубы и оказалось, что это неправильно Завтра к нашим врачам идем Амина, почему место Вашего жительства такой секрет? из какого Вы города, страны?2. интересно, как это у корейцев получается исправлять такой прикус за 3-4 посещения в год ? (это мысли в слух)3. вы так и не оформили свой пост полностью http://forum.stom.ru/topic/4655-patcientam/не паникуйте, Выложите снимки, и давайте попробуем разобраться. Вы столько уже проделали работы, стараетесь, значит обязательно в конце получите хороший результат! Ссылка на комментарий
Амина Опубликовано 24 августа, 2015 Автор Поделиться Опубликовано 24 августа, 2015 (изменено) Спасибо большоеМы были еще у нескольких специалистовПост оформлю полностью на этой неделеСпасибо за ссылку! Мы из Казахстана, Астана Изменено 24 августа, 2015 пользователем Амина Ссылка на комментарий
Амина Опубликовано 4 июня, 2016 Автор Поделиться Опубликовано 4 июня, 2016 (изменено) Здравствуйте. Мне очень нужен совет. Дочке 12 лет. Повели к стоматологу потому что зубки местами несколько неровные. Не критично, но всё же девочка же. В процессе выяснилось, что:1) у ребенка неправильный прикус. Норма - нижние зубы за верхними. Бывает, что нижние перед верхними. А у неё нижний и верхний ряд зубов ровненько на одной линии. В общем сказали, что надо ставить брекеты обязательно - исправлять кривизну зубов и неправильный прикус.2) у дочки нет двух верхних передних резцов. То есть у всех впереди вверху посерединке четыре резца и затем по бокам идут клыки. А у неё два резца и следом клыки по бокам. На снимке (панорамная съемка) видно, что нет даже зачатков вторых резцов. Врач говорит, что выхода два1) раздвинуть с помощью брекетов зубы увеличив расстояние между резцами и клыками. Затем ребенок лет до 18-ти должен ходить с какой-то чуть ли не вставной челюстью. После чего ей поставят имплантанты2) сдвинуть зубы чтобы между ними не было большого расстояния и затем (попозже) подпилить клыки.Нужно это для того, чтобы в зрелом возрасте из-за отсутствия двух резцов у дочери не было больших зазоров между зубами.Мне первый вариант не нравится категорически (вставные челюсти, имплантанты - зачем так ребенка мучить). Насчет второго - не слишком устраивает подпиливание. Врач также говорит, что отсутствие этих зубов не аномалия какая-то, сейчас многие дети такие. Посоветуйте, что нам делать. Заранее спасибо! Прошу прощения за корявое изложение - не владею специальными терминами. в 2009 году была такая история. но в итоге мы пошли по первому варианту снимок 2015 года Изменено 4 июня, 2016 пользователем Амина Ссылка на комментарий
Амина Опубликовано 4 июня, 2016 Автор Поделиться Опубликовано 4 июня, 2016 (изменено) Вчера разговаривали с нашим ортодонтом. Обсуждали варианты. Их три. 1) Просто ставим импланты. Но у дочери такое характерное выражение лица - сморщенный подбородок, напряженные сжатые губы, уголки губ опущены, из-за этого ярко выраженные носугубные складки. При этом у неё несколько скошенный подбородок, но слишком массивная нижняя челюсть. Из-за чего и лицо в постоянном напряжении. Просто установка имплантов этой проблемы не решит. 2) Вариант предложенный корейской клиникой. Импланты не ставим вообще. На нижней челюсти удаляем два премоляра. На верхней и нижней устанавливаем брекеты. В течении 2-3 лет обе челюсти ортодонтическим лечением уменьшаем и сдвигаем назад. Подтачиваем четыре верхних зуба. Из клыков - резцы. Из резцов - клыки. Врачи корейской клиники считают, что это даст хороший эстетический эффект. Наш ортодонт с ними не согласна. Удаление нижних премоляров она одобряет. Как и уменьшение нижней челюсти. Насчет верхних зубов говорит, что зубной ряд будет выглядеть неестественно. Меня лично тут смущает удаление двух здоровых нижних зубов и подтачивание четырех верхних. Не даст ли это в дальнейшем негативных последствий? 3) Ортодонт считает, что нам нужно ехать в Корею. На операцию на челюсти. Хирургическую операцию. Говорит, что там умеют такое исправлять. В результате челюсти уберут назад и уменьшат. И это снимет все эстетические проблемы. Этот вариант мне кажется слишком кардинальным. Красота конечно важна, но здоровье в приоритете. Заключение стоматолога - ортодонта, у которого давно наблюдаемся Диагноз: Мезиальный прикус, недоразвитие апикального базиса верхней челюсти, адентия боковых резцов верхней челюсти. План лечения: - создание места для протезирования боковых резцов с помощью брекет-системы Рекомендовано: Протезирование боковых резцов дентальными имплантатами. Заключение корейской клиники ОтделениеОртодонтия Заключение врача1. Предполагаемый диагноз:Скелетный класс II с губной протрузией и отсутствуют двусторонние боковые резцы верхней челюсти(Skeletal Class II with lip protrusion and missing bilateral maxillary lateral incisors ) 2. Ряд необходимых обследований:- Цефалометрический- P-A рентгенограммы- Конусно-лучевая компьютерная томография (CBCT)- периапикальные рентгеновские лучи отсутствующей боковой области резцов - Диагностические Стоматологические Слепки- интраоральной фотографии- внеротовой фотографии(Cephalometric, P-A radiographs, CBCT, periapical x-rays of missing lateral incisor region, Diagnostic Dental Casts, Intraoral photographs, Extraoral photographs) 3. Заключение врача: Вариант лечения А.Пациенту провели ортодонтическое лечение с фиксированными приборами чтобы вернуть себе пространство пропавшей верхнечелюстной правого и левого бокового резца.(The patient has been orthodontically treated with fixed appliances to regain space for the missing maxillary right and left lateral incisor. )Если пациент удовлетворен эстетикой лица, одиночные имплантаты рекомендуются для замены отсутствующих зубов.è Одиночные имплантаты могут быть размещены с первой операцией и после 2-ой операции последует процедура протезирования. Эта процедура займет около 6 месяцев. Но, время лечения может варьироваться в зависимости от конкретного случая( single implants could be placed with 1st surgery and prosthetic restoration would follow after 2nd surgery. This treatment would take about 6 months. –but, treatment times could vary depending on the case) ) Вариант лечения B. Цефалометрические рентгенограммы должны быть проанализированы, у пациента наблюдается значительная губная протрузия. (Although the cephalometric radiographs should be analyzed, the patient presents with a considerable amount of lip protrusion.)Если пациент хочет дальнейшее ортодонтическое лечение для улучшения профиля лица, предварительное необходимо извлечь 2 нижних премоляров и закрыть пространство в верхней челюсти и нижней челюсти арки.( If the patient wanted further orthodontic treatment for improvement of the facial profile, a tentative treatment would be to extract 2 lower premolars and close the space in the maxillary and mandibular arch. )Верхнечелюстные клыки будут замещены в качестве отсутствующих боковых резцов и потребуется дальнейшее изменение формы.(The maxillary canines would be substituted as the missing lateral incisors and would need further reshaping. )Это альтернативное лечение позволит пациенту закончить в окончательной окклюзии без необходимости в дальнейшей имплантации замены отсутствующих боковых резцов.(This treatment alternative would allow the patient to finish in final occlusion without the need for further implant replacement of the missing lateral incisors. )Эстетика лица пациента будет лучше, значительное улучшение с выступом смещением кзади. (The patient's facial esthetics would show considerable improvement with lip retrusion. )(Дальнейшее ортодонтическое лечение и закрытие пространства отсутствующих зубов займет 2-3 года.)((Further orthodontic treatment and space closure of the missing teethwould take 2-3 years.)) (возможно дополнительная плата для лечения для экстракции 2 нижних премоляров, требуются переустройстве верхнечелюстной клыков) * Внимание 1. Вышеуказанное лечение предполагаемое, в зависимости от состояния пациента лечение возможно будет меняться2. В случае нестабильном состоянии гемодинамики, по запланированному плану лечение будет сложно осуществить. Лекарство которые Вы принимаете в настоящее время пожалуйста обязательно заранее предупредить Изменено 4 июня, 2016 пользователем Амина Ссылка на комментарий
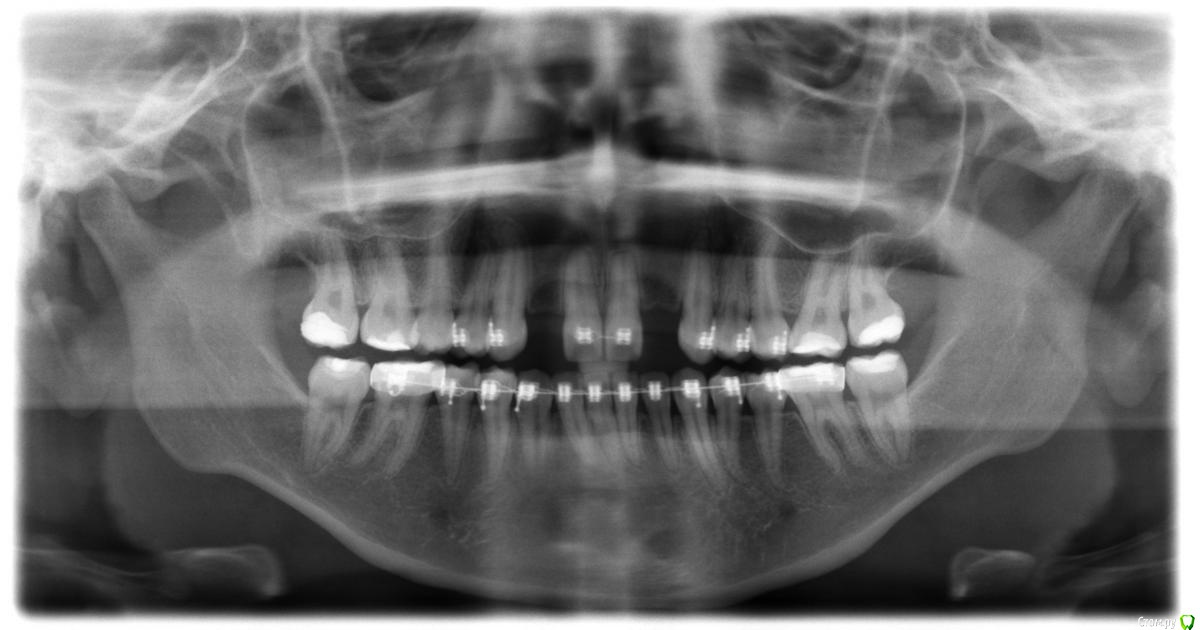
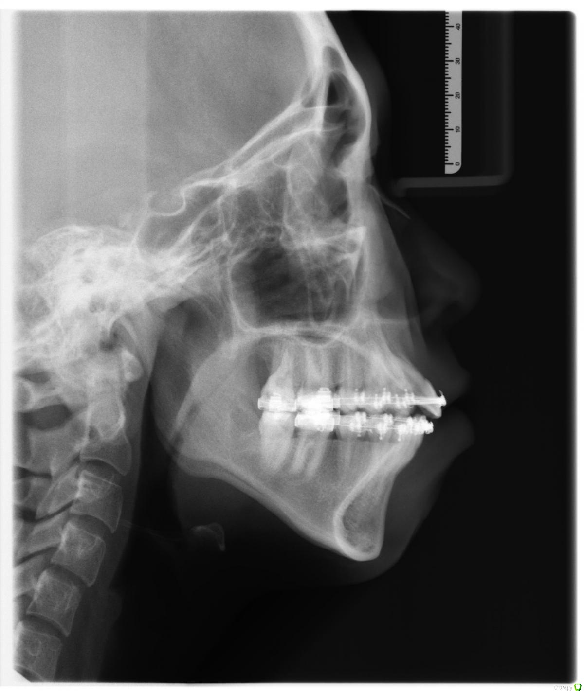
Амина Опубликовано 4 июня, 2016 Автор Поделиться Опубликовано 4 июня, 2016 вот снимок 2016 года Ссылка на комментарий
Амина Опубликовано 4 июня, 2016 Автор Поделиться Опубликовано 4 июня, 2016 Это снимок 2015 года Ссылка на комментарий
Амина Опубликовано 4 июня, 2016 Автор Поделиться Опубликовано 4 июня, 2016 ну и вот то, что было изначально старое 2009 год.pdf Ссылка на комментарий
Yana guapa Опубликовано 5 июня, 2016 Поделиться Опубликовано 5 июня, 2016 Пост оформлю полностью на этой неделе неделя длиною в 10 месяцев)) Ссылка на комментарий
Yana guapa Опубликовано 5 июня, 2016 Поделиться Опубликовано 5 июня, 2016 а в чем опрос? он так нигде и не прозвучал... Ссылка на комментарий
Yana guapa Опубликовано 5 июня, 2016 Поделиться Опубликовано 5 июня, 2016 а вообще,1. имплантацию в переднем отделе рекомендуют делать после 21 года 2. без удаления не обойтись, если говорить о просто брекетах (но вы не сможете получить ни хороший эстетический результат , ни функциональный) 3. по хорошему, требуется ортогнатическая операция. 2 Ссылка на комментарий
Амина Опубликовано 8 июня, 2016 Автор Поделиться Опубликовано 8 июня, 2016 Спасибо))Насчет 10 месяцев - мы всё определяемся. И всё никак не определимся. Вопрос, собственно, в следующем - что выбрать-то из трех вариантов лечения? Что будет правильней? 1) Просто поставить импланты сейчас ну или потом Минусы: - вы и другие тоже говорят, что в 18 лет рано ставить их. ну строго говоря дочери почти 19. в августе будет уже. но вроде как лучше 20 лет хотя бы дождаться.в то же время у неё же сейчас есть пространство для установки имплантов. свободное место. и кость же будет истончаться? можно ли как-то принять меры чтобы в последующем обойтись без наращивания кости? может витамины какие-то попить? - просто имплантация не решит проблему с крупными челюстями. для эстетического эффекта нужно ортодонтическое лечение по уменьшению обеих челюстей. и сдвиганию их назад. если установить на верхней челюсти импланты, не сделает ли это задачу по уменьшению и сдвиганию челюстей назад невозможной или трудно выполнимой? 2. не ставить импланты вообще. 2-3 года ортодонтического лечения. сдвинуть верхние зубы назад. удалить два нижних премоляра. подточить клыки в резцы, резцы в клыки. Минусы: - удаление двух здоровых нижних зубов при том что итак двух вверху нет от природы, подтачивание четырех верхних зубов - повреждение эмали есть еще проблема только одна корейская клиника (правда самая навороченная) утверждает, что именно этот путь даст хороший эстетический эффект. но нам придется все время летать в Корею. наш ортодонт за это не берется. не одобряет план по верхней челюсти. говорит, что это будет некрасиво. честно говоря не знаю, что это. вполне возможно, что амбиции. мы почти 8 лет лечились у неё, а в итоге получается, что выбрали не тот план лечения. 3) челюстно-лицевая и пластическая хирургия по сдвиганию и уменьшению челюстей хирургическим путем Минусы: - высокая травматичность. уж очень радикальная мера на мой взгляд. на операции настаивает наш ортодонт. хотя получается странно, конечно. 8 лет она занималась нашими зубами чтобы в итоге отправить нас в Корею на пластику. она утверждает, что так будет лучше и это решит все проблемы. я, конечно, не знаю. может она и права. и может я напрасно боюсь операции. но вроде бы у нас не тот случай чтобы кости ребенку ломать. вообще не было речи никогда об операции. вот теперь, на заключительном этапе, нам такое говорят. обращалась к другим специалистам. они говорят, мол, зачем так заморачиваться, ну есть напряжение в лице (сморщенный подбородок, опущенные вниз углы рта, ярко выраженные носогубки - от того, что для того, чтобы держать рот закрытым, приходится прилагать усилия), но мол ничего страшного, и с похуже патологиями люди живут, нет здоровых людей, а есть недообследованные. говорят просто поставьте импланты и вообще не парьтесь. но я знаете не для того 8 лет занималась здоровьем ребенка чтобы в итоге не решить проблему. в общем хотелось бы выбрать оптимальный план лечения. который дал бы результат. понятно, что эстетика важна. но главное здоровье. мы хотим всего лишь правильный прикус. и убрать напряжение в лице. Ссылка на комментарий
Амина Опубликовано 8 июня, 2016 Автор Поделиться Опубликовано 8 июня, 2016 (изменено) а вообще,1. имплантацию в переднем отделе рекомендуют делать после 21 года 2. без удаления не обойтись, если говорить о просто брекетах (но вы не сможете получить ни хороший эстетический результат , ни функциональный) 3. по хорошему, требуется ортогнатическая операция. спасибо то есть 1. подождать еще два года с имплантами? или вообще их не ставить? 2. нижние премоляры всё же удалять нужно, иначе не будет толку? 3. операция это правильный вариант?- тогда вообще не ставить импланты и не заниматься ортодонтическим лечением, а идти сразу на операцию?- операция очень травматична? велики риски? я понимаю, что любое хирургическое вмешательство опасно. но есть же наверное какая-то статистика по таким операциям. процент удачных. процент осложнений. и можно узнать, что именно будут делать на операции? Изменено 8 июня, 2016 пользователем Амина Ссылка на комментарий
Yana guapa Опубликовано 8 июня, 2016 Поделиться Опубликовано 8 июня, 2016 спасибо то есть 1. подождать еще два года с имплантами? или вообще их не ставить? 2. нижние премоляры всё же удалять нужно, иначе не будет толку? 3. операция это правильный вариант?- тогда вообще не ставить импланты и не заниматься ортодонтическим лечением, а идти сразу на операцию?- операция очень травматична? велики риски? я понимаю, что любое хирургическое вмешательство опасно. но есть же наверное какая-то статистика по таким операциям. процент удачных. процент осложнений. и можно узнать, что именно будут делать на операции? 1. я не знаю сколько пациенту лет. если 19, то да, два года ждать. как это не ставить??? с дырками ходить что ли будет??? 2. если будете полноценно лечиться с хирургией, то зачем удалять?? не надо! 3. если попадете к замечательному врачу, которому доверяете, все будет отлично. про статистику и тд он вам на приеме расскажет. 1 Ссылка на комментарий
Амина Опубликовано 9 июня, 2016 Автор Поделиться Опубликовано 9 июня, 2016 Спасибо большое Ссылка на комментарий
Амина Опубликовано 17 июня, 2016 Автор Поделиться Опубликовано 17 июня, 2016 Вот что пишут нам Челюстная-лицевая пластика (обеих челюстей, two jaw surgery)В случае пациентки наблюдаются 1) нарушение прикуса, 2)выпирающий рот в связи с деформацией верхней и нижнейчелюстей, 3) короткий подбородок. Для устраненияврожденных и/или приобретенных деформаций челюстно-лицевой области, а также создания красивой формы овала лицапредлается хирургия двух челюстей. Перед операциейвыпонялется слепки челюстей, компьютерная томография с 3Dмоделированием, рентгеновское обследование. Совместно сортодонтом составляется общий план лечения. Челюстно-лицевой хирург проводит операцию на основе тщательнопроведенного анализа и диагностики. Выполняется остеотомиявнутриротовым доступом, что позволяет избежатьформирования рубцов на коже. Специальными пилкамипроводится остеотомия по разметкам. Затем производитсяфиксация костных фрагментов специальными титановымипластинками и винтами в заранее выбранном положении. В этовремя происходит перепозиционирование челюстей. В клиникеГранд используются два метода остеотомии ветвей нижнейчелюсти – сагиттальную остеотомию ветвей нижнейчелюсти(SSRO) и вертикальную остеотомию ветвей нижнейчелюсти (IVRO). Сагиттеальный метод используется длякоррекции ретрузии нижней челюсти и прогнатизма нижнейчелюсти (глубокий прикус и выступание челюсти). Привертикальной остеотомии проводится рассечение всейтолщины ветвей нижней челюсти. Желательно пройтиобследование и лично проконсультироваться с нашимпластическим хирургом, чтобы он смог лично осмотреть исделать окончательный диагноз, какой из методоврекомендуется в Вашем случае.- Анестезия: общая- Длительность операции: 2-3 часа- Снятие швов: 14-й день после операции- Помещение в стационар: 2 дняПосле проведения челюстно-лицевой хирургии рекомендуетсяносить брекеты в течение одного года. Ссылка на комментарий
Yana guapa Опубликовано 17 июня, 2016 Поделиться Опубликовано 17 июня, 2016 Перед операцией Совместно сортодонтом составляется общий план лечения. Челюстно-лицевой хирург проводит операцию на основе тщательнопроведенного анализа и диагностики. Выполняется остеотомия. После проведения челюстно-лицевой хирургии рекомендуетсяносить брекеты в течение одного года. я конечно не члхирург но те операции которые видела я делались немного в другой последовательностиизначально ставились брекеты выравнивались зубные ряды определенным способом подготавливались зубные ряда под операцию затем операция и сразу же после операции носят резинки (эластики) в определенном направлении для закрепления результата. Ссылка на комментарий
Амина Опубликовано 24 августа, 2016 Автор Поделиться Опубликовано 24 августа, 2016 (изменено) В общем мы побывали в Корее. В Гангнам Северанс. Доктор посмотрела зубы. Сказала, что проделана неплохая работа, но план лечения нужно менять по объективным причинам. Есть три варианта 1. Они просто ставят импланты. Минусы - какая-никакая, а травма. Кость тонкая, потребуется наращивание. К тому же эстетических проблем это не решит. (Это правда. Сейчас дочь носит как бы вставную челюсть с двумя зубами. Внешне выглядит излишне зубастой что ли. Как-то неестественно) 2. Операция. Я про неё спросила, поскольку наш ортодонт её рекомендовал. Плюс остальные клиники высылали такие предложения. Доктор утверждает, что для такой операции нужны прямые показания. По её мнению, у нас их нет. Исправление возможно без операции. К тому же она считает, что нет и эстетического дефекта, который требовал бы устранения путем операции. Как она говорит, у азиатов часто нижняя часть лица массивная. И многие корейские девушки идут на операции чтобы сделать овальное лицо зауженное к низу и с маленьким подбородком. Это считается красивым. А у дочери в анфас именно такое лицо. Что касается профиля, то, действительно, подбородок маленький, но считать ли это эстетическим дефектом или нет - дело вкуса. Здоровью это не угрожает. К тому же обычно в таком случае ставится имплант в подбородок пластическими хирургами, а не смещаются челюсти. (Ну вообще, что касается подбородка, то она просто похожа на своего отца. У него такая же форма черепа, лица, и линия подбородка и шеи). 3. Оптимальным они считают:удаление двух нижних зубовбрекеты на протяжении пары лет чтобы в верхней челюсти закрыть "пробелы", над которыми 8 лет работал наш ортодонт и где планировалась установка имплантовподтачивание передних верхних четырех зубов Я высказала свои сомнения насчет того что у ребенка итак нет двух зубов, а теперь удаление еще двух, плюс подтачивание четырех. Врач утверждает, что удалены будут зубы, на которые небольшая нагрузка, и что после подтачивания зубы чем-то там обрабатываются, чтобы не допустить их разрушения. Плюс она говорит, что челюсти итак излишне большие для дочери. То есть сейчас она прилагает усилия чтобы держать губы сомкнутыми - отсюда характерное выражение лица с напряженным подбородком. Еще врач сказала, что по снимкам кажется, что передние зубы сильно торчат вперед, а в реале она видит, что этого нет. Показывала и говорила что-то про угол в 90 градусов. Мол всё в порядке. Я вот не совсем поняла и там не спросила - если удалить два нижних зуба и сдвинуть верхние зубы, то разве это как-то повлияет на размер челюсти? Дочери 19 лет через неделю. У неё уже сформировались кости. Изменено 24 августа, 2016 пользователем Амина Ссылка на комментарий
Амина Опубликовано 24 августа, 2016 Автор Поделиться Опубликовано 24 августа, 2016 По сути по итгам осмотра они остановились на вот этом варианте2) Если Вы захотите пройти эстетическое лечение, Вариант 1.Верхняя челюсть; не создавать пространство для имплантов на месте отсутствующих зубов, передние зубы верхней челюсти сдвинуть назад, так закроется пространство, верхняя челюсть – нижняя челюсть; премолярные зубы удаляются или не удаляя в целом зубы, сдвигаем их назад. Так можно решить проблему протрузии – формирование правильного прикуса и достижение эстетического эффекта. Таким образом, клыки буду использованы вместо средних резцов, премолярные зубы – вместо клыков, затем для достижения эстетиеского эффекта будет возможно изменение формы зубов иортопедическая реставрация. Ссылка на комментарий
Амина Опубликовано 27 августа, 2019 Автор Поделиться Опубликовано 27 августа, 2019 И снова здравствуйте. Дочери 22 года. И сейчас речь идет об установке двух имплантов. Брекеты сняли. Носит каппу. Но есть проблема. Гингвальная (десневая улыбка).Напряженный подбородок.Когда она надевает так называемые временные зубы - верхняя челюсть выглядит массивной и словно с избытком зубов.С этим можно что-нибудь сделать?Дочь находится в Москве. Спасибо. Ссылка на комментарий
Амина Опубликовано 27 августа, 2019 Автор Поделиться Опубликовано 27 августа, 2019 В общем мы побывали в Корее. В Гангнам Северанс. Доктор посмотрела зубы. Сказала, что проделана неплохая работа, но план лечения нужно менять по объективным причинам. Есть три варианта 1. Они просто ставят импланты. Минусы - какая-никакая, а травма. Кость тонкая, потребуется наращивание. К тому же эстетических проблем это не решит. (Это правда. Сейчас дочь носит как бы вставную челюсть с двумя зубами. Внешне выглядит излишне зубастой что ли. Как-то неестественно) 2. Операция. Я про неё спросила, поскольку наш ортодонт её рекомендовал. Плюс остальные клиники высылали такие предложения. Доктор утверждает, что для такой операции нужны прямые показания. По её мнению, у нас их нет. Исправление возможно без операции. К тому же она считает, что нет и эстетического дефекта, который требовал бы устранения путем операции. Как она говорит, у азиатов часто нижняя часть лица массивная. И многие корейские девушки идут на операции чтобы сделать овальное лицо зауженное к низу и с маленьким подбородком. Это считается красивым. А у дочери в анфас именно такое лицо. Что касается профиля, то, действительно, подбородок маленький, но считать ли это эстетическим дефектом или нет - дело вкуса. Здоровью это не угрожает. К тому же обычно в таком случае ставится имплант в подбородок пластическими хирургами, а не смещаются челюсти. (Ну вообще, что касается подбородка, то она просто похожа на своего отца. У него такая же форма черепа, лица, и линия подбородка и шеи). 3. Оптимальным они считают:удаление двух нижних зубовбрекеты на протяжении пары лет чтобы в верхней челюсти закрыть "пробелы", над которыми 8 лет работал наш ортодонт и где планировалась установка имплантовподтачивание передних верхних четырех зубов Я высказала свои сомнения насчет того что у ребенка итак нет двух зубов, а теперь удаление еще двух, плюс подтачивание четырех. Врач утверждает, что удалены будут зубы, на которые небольшая нагрузка, и что после подтачивания зубы чем-то там обрабатываются, чтобы не допустить их разрушения. Плюс она говорит, что челюсти итак излишне большие для дочери. То есть сейчас она прилагает усилия чтобы держать губы сомкнутыми - отсюда характерное выражение лица с напряженным подбородком. Еще врач сказала, что по снимкам кажется, что передние зубы сильно торчат вперед, а в реале она видит, что этого нет. Показывала и говорила что-то про угол в 90 градусов. Мол всё в порядке. Я вот не совсем поняла и там не спросила - если удалить два нижних зуба и сдвинуть верхние зубы, то разве это как-то повлияет на размер челюсти? Дочери 19 лет через неделю. У неё уже сформировались кости. Собственно, вот эти проблемы остались нерешенными Ссылка на комментарий
Doc Опубликовано 27 августа, 2019 Поделиться Опубликовано 27 августа, 2019 Собственно, вот эти проблемы остались нерешенными Для того, чтобы давать советы, врачам нужна объективная информация, а ее нет. В Москве множество хороших специалистов, нужно проконсультироваться лично у пары-тройки и выбрать то, что Вам понравится наиболее логичным и правильным. Ссылка на комментарий
Рекомендуемые сообщения
Для публикации сообщений создайте учётную запись или авторизуйтесь
Вы должны быть пользователем, чтобы оставить комментарий
Создать аккаунт
Зарегистрируйте новый аккаунт в нашем сообществе. Это очень просто!
Регистрация нового пользователяВойти
Уже есть аккаунт? Войти в систему.
Войти