Pasha Опубликовано 31 июля, 2009 Поделиться Опубликовано 31 июля, 2009 Все добрый день! Сразу после Нового года я решил поставить коронки на передние зубы из-за их крайне неэстетического вида. Депульпацию зубов передней челюсти мне сделали еще года полтора назад, за это время пломбировочный материал из некоторых зубов выпал, и языком я мог нащупать дырки с внутренней части некоторых зубов. После того, как я сделал обзорный снимок, врач сказал, что все пролечено нормально и можно стачивать передние зубы и ставить коронки. В общей сложности было сточено 14 зубов, а также сформированы десна (очень было неприятно, когда формировали десна вокруг сточенного зуба). Затем со сточенными зубами проходил около 2 недель, пока изготавливали коронки. Всего, вначале на временный цемент, было поставлено 3 моста, в каждом примерно по 3-4 зуба. Проходил неделю, всё (десна) жутко чесалось и ныло. В итоге ничего не воспалилось и не опухло, поэтому через недельку коронки поставили на временный цемент. И вот в начале мая меня начал беспокоить клык слева - сам зуб не болит, при надкусывании на него болей тоже не было. Боль возникала, когда я пальцев давил на область корня зуба у ноздри. Подумал, что пройдет само, но не прошло, поэтому обратился к врачу. Сделав снимок, врач сказал, что все-таки депульпировали клык плохо, а поэтому там сейчас воспаление. Сказал, что придется проставить хотя бы 5 уколов (линкомицин + ледокаин) в область корня, а если не поможет, то придется делать резекцию. Проставили 5 уколов, не помогло - при надавливании на область корня зуба появляется боль, и чем сильнее давлю, тем сильнее боль. Сделал повторный снимок, показал хирургу. Он говорит, что не настолько сильное воспаление, чтобы делать резекцию корня зуба. Посоветовал, сходить снять коронку (с постоянного цемента ее без повреждения, наверное, будет крайне проблематично снять?), пролечить зуб, поставить коронку обратно. А потом он якобы, если что, сможет сделать резекцию. А теперь самое главное. Все дело в том, что одновременно с зубом, начала болеть голова. Точнее сначала висок слева, а потом (вот уже на протяжении 2,5 мес.) уже в самых разных местах – надбровные дуги, висок, другой висок, где-то внутри. Болит практически постоянно. Я обратился к неврологу… что мы только не делали – МРТ головного мозга, рентген-снимки черепа и шейного отдела позвоночника, УЗИ сосудов шейного отдела, энцефалографию. БЕЗ ПАТОЛОГИЙ! Затем я обратился к ЛОРу. Сделали снимки гайморовых пазух, нашли признаки гайморита (у меня уже пару лет назад был острый гайморит, но голова никогда не болела). Врач сказал, что признаки – это не факт, что гайморит и голова из-за этого болеть не может. Он посмотрел МРТ головного мозга (там оказывается видны все гайморовые и лобные пазухи). ЛОР тоже патологий не выявил. И вот поэтому я все-таки думаю, что проблема в этом зубе, одновременно с которым и начала болеть голова. Как вы считаете, может ли из-за зуба болеть голова и затылок (думаю, при чем тут затылок то)? Ссылка на комментарий
annda Опубликовано 31 июля, 2009 Поделиться Опубликовано 31 июля, 2009 И вот поэтому я все-таки думаю, что проблема в этом зубе, одновременно с которым и начала болеть голова. Как вы считаете, может ли из-за зуба болеть голова и затылок (думаю, при чем тут затылок то)?Может. Ссылка на комментарий
Pasha Опубликовано 31 июля, 2009 Автор Поделиться Опубликовано 31 июля, 2009 да, главное, что раньше голова вообще не болела, даже когда выпью накануне Ссылка на комментарий
Др. Шпульке Опубликовано 31 июля, 2009 Поделиться Опубликовано 31 июля, 2009 да, главное, что раньше голова вообще не болела, даже когда выпью накануне Cделайте ортопантомограмму , фотоснимки лица и протезов когда зубы сомкнуты и разомкнуты и выложите. Ссылка на комментарий
Pasha Опубликовано 31 июля, 2009 Автор Поделиться Опубликовано 31 июля, 2009 боюсь, что в нашем городе таких снимков не делают , делают прицельные и обзорные...хотя, я уточню могу выложить прицельный рентген-снимок Ссылка на комментарий
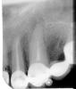
Bier Опубликовано 31 июля, 2009 Поделиться Опубликовано 31 июля, 2009 причина в плохо-пролеченном канале. Там выросла гранулема.обзорный снимок и есть ортопантомограмма. Ссылка на комментарий
Pasha Опубликовано 1 августа, 2009 Автор Поделиться Опубликовано 1 августа, 2009 (изменено) я могу сделать в понедельник обзорный снимок верней челюсти и выложить его. Подскажите, что сейчас делать? Хирург сказал, что надо снять коронку, (с этим проблема будет, ведь на постоянном цементе, да?) пролечить канал, а потом, если надо будет, то он сделает резекцию... Я просто не понял хирурга... а точнее его фразу "если надо"...надо снять и вылечить или снять, вылечить, а потом резекцию Еще меня смущает, что при снятии коронки есть вероятность повреждения металокерамики... мы через 3 недели уезжаем в отпуск, не хотелось бы ехать со сточенными зубами... как пиранья )) А можно ли пролечить канал зуба, не снимая коронки? Или все-таки придется снять мост на 4 зуба, повредив его, вылечить зуб, а потом ждать, когда сделают новый мост (не охота платить за новый мост и ждать столько времени)? Изменено 1 августа, 2009 пользователем Pasha Ссылка на комментарий
Bier Опубликовано 1 августа, 2009 Поделиться Опубликовано 1 августа, 2009 коронки надо аккуратно спилить, предварительно сделав с них силиконовый оттиск. Канал зуба качественно пролечить. На время сделать по силиконовому оттиску вам временную коронку.Потом сделать новый мост.Резекцию делать не нужно, надо хорошо пролечить канал. Новый мост логично сделать по гарантии, как и все остальное лечение. Ссылка на комментарий
Pasha Опубликовано 4 августа, 2009 Автор Поделиться Опубликовано 4 августа, 2009 (изменено) Большое спасибо за совет! Я связался с врачом, он предложил не снимать коронку, а сделать отверствие и вскрыть канал через это отверстие. Затем сразу же записаться к стоматологу-терапевту, чтобы канал залечили. По его словам, коронку снять - это целое дело, к тому же техник в отпуске до октября. Скажите, насколько эффективным будет такой вариант? Изменено 4 августа, 2009 пользователем Pasha Ссылка на комментарий
Bier Опубликовано 4 августа, 2009 Поделиться Опубликовано 4 августа, 2009 ну снять коронку не целое дело, а дело 10-15 минут с таких зубов.все равно потом эти коронки менять, даже если сейчас туда влезут через коронку. Ссылка на комментарий
Pasha Опубликовано 4 августа, 2009 Автор Поделиться Опубликовано 4 августа, 2009 (изменено) А почему их менять придется? Просверленная дырка приведет к порче или поломке коронки? Как думаете, при удачном лечении сколько времени есть у этого мостика с дыркой прежде чем он сломается? А если менять, то только же один мостик на 4 зуба, а не все 3 моста на 12 зубов? Изменено 4 августа, 2009 пользователем Pasha Ссылка на комментарий
Bier Опубликовано 4 августа, 2009 Поделиться Опубликовано 4 августа, 2009 А почему их менять придется? Просверленная дырка приведет к порче или поломке коронки? Как думаете, при удачном лечении сколько времени есть у этого мостика с дыркой прежде чем он сломается? А если менять, то только же один мостик на 4 зуба, а не все 3 моста на 12 зубов?то что у вас сейчас все заболело является ошибкой докторов, которые вас протезировали. Зачем вам мост с распиленной коронкой? Я бы настоял на замене. Конечно одного моста. Хотя судя по всему проблемы есть и в других зубах. Ссылка на комментарий
Pasha Опубликовано 4 августа, 2009 Автор Поделиться Опубликовано 4 августа, 2009 (изменено) ясно... большое спасибо за помощь! Если бы, конечно, было время, я бы делал в Москве. Но, изготовление коронок - это длительный процесс. Меня просто не отпустят с работы так надолго в другой город. В августе будет двухмесячный отпуск, но в Москве я задержусь максимум на 4 дня. Сейчас главное для меня - чтобы воспалительный процесс дальше не пошел за время отпуска, а когда приеду, придется менять мост видимо Изменено 4 августа, 2009 пользователем Pasha Ссылка на комментарий
Sahan Опубликовано 4 августа, 2009 Поделиться Опубликовано 4 августа, 2009 ясно... большое спасибо за помощь! Если бы, конечно, было время, я бы делал в Москве. Но, изготовление коронок - это длительный процесс. Меня просто не отпустят с работы так надолго в другой город. В августе будет двухмесячный отпуск, но в Москве я задержусь максимум на 4 дня. Сейчас главное для меня - чтобы воспалительный процесс дальше не пошел за время отпуска, а когда приеду, придется менять мост видимо Начинайте лечить зуб сейчас, иначе вы испортите отпуск не только себе, но и своим близким. Ссылка на комментарий
Pasha Опубликовано 7 августа, 2009 Автор Поделиться Опубликовано 7 августа, 2009 (изменено) да, конечно! Сходил к врачу. Все-таки после консультаций врачи пришли к выводу, что в понедельник будут делать резекцию с (не помню, как произносится правильно) шинированием или шунированием... канал зуба будут пломбировать через отверстие в десне. Страшновато... посмотрел картинки в яндексе, будет такая дырень в десне Надеюсь, что резекцию делать не больно Изменено 7 августа, 2009 пользователем Pasha Ссылка на комментарий
Bier Опубликовано 7 августа, 2009 Поделиться Опубликовано 7 августа, 2009 да, конечно! Сходил к врачу. Все-таки после консультаций врачи пришли к выводу, что в понедельник будут делать резекцию с (не помню, как произносится правильно) шинированием или шунированием... канал зуба будут пломбировать через отверстие в десне. Страшновато... посмотрел картинки в яндексе, будет такая дырень в десне Надеюсь, что резекцию делать не больноостанетесь без зуба. Удачи. Ссылка на комментарий
albina Опубликовано 7 августа, 2009 Поделиться Опубликовано 7 августа, 2009 останетесь без зуба. Удачи.Вам же говорят, надо в начале просто качественно перелечить канал,понаблюдать,может и резекцию делать не надо будет.Вы молодой,боль и изменения на снимке могут уйти без операции.Не торопитесь.Во-вторых ортопеды на этом форуме вам говорят правильно,проблема может быть не только в этом зубе,если ваши головные боли не пройдут,возможно вообще придется все переделывать. Ссылка на комментарий
Pasha Опубликовано 7 августа, 2009 Автор Поделиться Опубликовано 7 августа, 2009 (изменено) И как я врачу своему скажу, что есть другое мнение относительно лечения зуба? типа: "мне на форуме сказали, что вы не правы". Тогда он отправит меня куда подальше, а в нашей "деревне" лучше врачей нет. Что мне тогда делать? Ждать, пока инфекция разрастется? Не хочет он снимать коронку. Говорит, что, во-первых, хорошо стоит, во-вторых, техник в отпуске до октября и придется беззубым до октября ходить. Кроме того, он смотрел снимок, сам зуб и пришел к выводу, что без резекции не обойтись. А чем плоха резкция? Это, судя по тому, что пишут "ЗУБОСБЕРЕГАЮЩАЯ ПРОЦЕДУРА". Я так понял, что сделают разрез, вырежут гранулему, пролечат канал, забьют отверстие шариками, зашьют... и отправят домой Изменено 7 августа, 2009 пользователем Pasha Ссылка на комментарий
Bier Опубликовано 7 августа, 2009 Поделиться Опубликовано 7 августа, 2009 И как я врачу своему скажу, что есть другое мнение относительно лечения зуба? типа: "мне на форуме сказали, что вы не правы". Тогда он отправит меня куда подальше, а в нашей "деревне" лучше врачей нет. Что мне тогда делать? Ждать, пока инфекция разрастется? Не хочет он снимать коронку. Говорит, что, во-первых, хорошо стоит, во-вторых, техник в отпуске до октября и придется беззубым до октября ходить. Кроме того, он смотрел снимок, сам зуб и пришел к выводу, что без резекции не обойтись. А чем плоха резкция? Это, судя по тому, что пишут "ЗУБОСБЕРЕГАЮЩАЯ ПРОЦЕДУРА". Я так понял, что сделают разрез, вырежут гранулему, пролечат канал, забьют отверстие шариками, зашьют... и отправят домой зачем вы тогда задаете тут вопросы? Пусть он сам в кабинете сделает временные коронки.Чтобы понять чем плоха резекция неплохо бы вам поучиться в институте и по практиковать лет 5-7.Если в вашей деревне лучше врачей нет, чем мы вам можем помочь? Ищите других врачей. Вам же тут написали нормальный план лечения - изготовление временных коронок, снятие этих коронок, лечение канала, установка временных коронок до приезда техника, замена временных на постоянные. Все. Хотите потерять зуб - делайте резекцию. Ссылка на комментарий
Pasha Опубликовано 7 августа, 2009 Автор Поделиться Опубликовано 7 августа, 2009 я задаю тут вопросы, потому что намерен поделиться своими сомнениями с врачом и все-таки настоять на том, чтобы лечить канал. Ссылка на комментарий
Bier Опубликовано 8 августа, 2009 Поделиться Опубликовано 8 августа, 2009 врач ваш не хочет снимать коронки и переделывать их за свой счет. у вас там полупустой канал, в нем живут микробы, канал надо вычистить иначе делай резекцию или не делай толку не будет. 1 Ссылка на комментарий
annda Опубликовано 10 августа, 2009 Поделиться Опубликовано 10 августа, 2009 (изменено) я задаю тут вопросы, потому что намерен поделиться своими сомнениями с врачом и все-таки настоять на том, чтобы лечить канал.Павел,пока вы настаиваете на том.чтобы мы согласились с вашими врачами..А этого не случится.И если вы зуб и все свои коронки потеряете всё равно так или иначе,а ещё и гайморитик по пути заработаете,то помните,что мы вам об этом говорили. Изменено 10 августа, 2009 пользователем annda Ссылка на комментарий
Rania Опубликовано 1 сентября, 2009 Поделиться Опубликовано 1 сентября, 2009 Я тоже согласна с мнением предыдущих врачей.Если недавно сделали, мосты еще на гарантии, их надо снять, канал перелечить похорошему, на время лечения временные коронки. А на дырку в коронке не соглашайтесь ни в коем случае. 1 Ссылка на комментарий
Рекомендуемые сообщения
Для публикации сообщений создайте учётную запись или авторизуйтесь
Вы должны быть пользователем, чтобы оставить комментарий
Создать аккаунт
Зарегистрируйте новый аккаунт в нашем сообществе. Это очень просто!
Регистрация нового пользователяВойти
Уже есть аккаунт? Войти в систему.
Войти