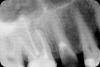
Verba Опубликовано 25 мая, 2009 Поделиться Опубликовано 25 мая, 2009 Доброго времени суток, уважаемые доктора! Требуется квалифицированная консультация! Зуб 5 справа сверху. Ортопедом предложено удаление. Предыстория: за верхушками 6-ки были гранулемы, проведена перепломбировка каналов (в 20-х числах апреля этого года). 5-ка была с анкерным штифтом, коронка была восстановлена композитным материалом (лет 10 назад). Т.К. результат восстановления 6-ки после воспаления никем не гарантируется, доктор решил перепломбировать канал 5-ки, т.к. у нее был вторичный кариес, и удалить анкер с последующей заменой на вкладку и подготовкой зуба под коронку. В результате штифт был удален, но откололся кусок стенки под десной. Канал до конца пройти не удалось, там все зацементировалось накрепко. От 5-ки сейчас осталась тонкая стенка со стороны щеки. Есть ли шанс сохранить этот зуб? Ссылка на комментарий
Scrabble Опубликовано 25 мая, 2009 Поделиться Опубликовано 25 мая, 2009 Есть вариант хирургического удлинения. Приемлем ли он в Вашем случае-сказать по снимку сложно, нужно смотреть во рту. Доверьте решение своему стоматологу. Ссылка на комментарий
Verba Опубликовано 26 мая, 2009 Автор Поделиться Опубликовано 26 мая, 2009 Вердикт того стоматолога-ортопеда, к которому обращалась,- удалить. Это всегда можно успеть. Хотелось бы за зуб побороться, найдя другого стоматолога. Если есть возможность спасения зуба.. Ссылка на комментарий
Bier Опубликовано 26 мая, 2009 Поделиться Опубликовано 26 мая, 2009 восстановить практически возможно. Но это приведет к проблемам в дальнейшем. Т.е. вы найдете такого стоматолога, который восстановит. Но правильней будет этот зуб заменить на имплантат. Удаление с одномоментной установкой имплантата в лунку зуба. Ссылка на комментарий
Verba Опубликовано 26 мая, 2009 Автор Поделиться Опубликовано 26 мая, 2009 восстановить практически возможно. Но это приведет к проблемам в дальнейшем. Т.е. вы найдете такого стоматолога, который восстановит. Но правильней будет этот зуб заменить на имплантат. Удаление с одномоментной установкой имплантата в лунку зуба.Как Вы считаете, то, что сосоедняя 6-ка "восстанавливается" от гранулем может помешать процедуре приживления имплантата? Может сначала попробовать реанимировать 5-ку, а если уж не получится, то Ваш вариант? Ссылка на комментарий
Bier Опубликовано 26 мая, 2009 Поделиться Опубликовано 26 мая, 2009 Как Вы считаете, то, что сосоедняя 6-ка "восстанавливается" от гранулем может помешать процедуре приживления имплантата? Может сначала попробовать реанимировать 5-ку, а если уж не получится, то Ваш вариант?я же вам сказал, что восстановить - получится, но проблемы появятся потом.соседняя шестерка не помешает. Ссылка на комментарий
Verba Опубликовано 26 мая, 2009 Автор Поделиться Опубликовано 26 мая, 2009 я же вам сказал, что восстановить - получится, но проблемы появятся потом.соседняя шестерка не помешает.Ок, спасибо! Посоветуйте, пожалуйста, к кому можно обратиться с этой проблемой в Санк-Петербурге? Ссылка на комментарий
Bier Опубликовано 26 мая, 2009 Поделиться Опубликовано 26 мая, 2009 Ок, спасибо! Посоветуйте, пожалуйста, к кому можно обратиться с этой проблемой в Санк-Петербурге?тут полно докторов из Питера, стучитесь к ним в личку и записывайтесь на прием Вот самый главный Doc - он точно из Питера Ссылка на комментарий
Рекомендуемые сообщения
Для публикации сообщений создайте учётную запись или авторизуйтесь
Вы должны быть пользователем, чтобы оставить комментарий
Создать аккаунт
Зарегистрируйте новый аккаунт в нашем сообществе. Это очень просто!
Регистрация нового пользователяВойти
Уже есть аккаунт? Войти в систему.
Войти