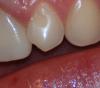
mariat Опубликовано 28 января, 2009 Поделиться Опубликовано 28 января, 2009 Очень нужен совет. На зубе стерся кусок эмали. В последнее время в связи с этим появились не приятные ощущуния. Что возможно сделать в моем случае - только коронку или может быть что-то еще? Фото прикреплено. Большое спасибо Ссылка на комментарий
Doc Опубликовано 28 января, 2009 Поделиться Опубликовано 28 января, 2009 Очень нужен совет. На зубе стерся кусок эмали. В последнее время в связи с этим появились не приятные ощущуния. Что возможно сделать в моем случае - только коронку или может быть что-то еще? Фото прикреплено. Большое спасибо До коронки Вам еще как до неба! Сначала можно сделать просто хорошую реставрацию композитом. Потом, если реставрация через несколько лет надоест, можно сделать винир. А потом, еще через пару десятков лет, можно подумать о безметалловой коронке. Так что жить еще и жить! Ссылка на комментарий
Scrabble Опубликовано 28 января, 2009 Поделиться Опубликовано 28 января, 2009 Эт у Вас клык дистопирован или второй резец такой формы? Ссылка на комментарий
АНРОША Опубликовано 28 января, 2009 Поделиться Опубликовано 28 января, 2009 Очень нужен совет. На зубе стерся кусок эмали. В последнее время в связи с этим появились не приятные ощущуния. Что возможно сделать в моем случае - только коронку или может быть что-то еще? Фото прикреплено. Большое спасибоничего катастрофичного - восстанавливайте композитом и будет Вам счастие Ссылка на комментарий
mariat Опубликовано 28 января, 2009 Автор Поделиться Опубликовано 28 января, 2009 Эт у Вас клык дистопирован или второй резец такой формы?я бы Вам ответила, если поняла что вы спрашиваете Ссылка на комментарий
АНРОША Опубликовано 28 января, 2009 Поделиться Опубликовано 28 января, 2009 я бы Вам ответила, если поняла что вы спрашиваетеспрашивают про форму бокового резца (2-го зуба) - уж больно он по форме на клык похож... Ссылка на комментарий
mariat Опубликовано 28 января, 2009 Автор Поделиться Опубликовано 28 января, 2009 спрашивают про форму бокового резца (2-го зуба) - уж больно он по форме на клык похож...вот так наверное лучше будет видно Ссылка на комментарий
АНРОША Опубликовано 28 января, 2009 Поделиться Опубликовано 28 января, 2009 вот так наверное лучше будет виднона предыдущих фотках тоже неплохо видно было... Клык не дистопирован -стоит на своем законном месте, просто боковой резец нестандартной формы, на клык похожий... если вас это не смущает - можно оставить в таком виде, если хотите исправить форму - либо композитная реставрация (не лучший вариант), либо винир керамический. Ссылка на комментарий
mariat Опубликовано 28 января, 2009 Автор Поделиться Опубликовано 28 января, 2009 кстати, в двух словах, что такое композитная реставрация? Ссылка на комментарий
АНРОША Опубликовано 28 января, 2009 Поделиться Опубликовано 28 января, 2009 кстати, в двух словах, что такое композитная реставрация?по сути своей -пломба, сделанная из светоотверждаемого композиционного материала Ссылка на комментарий
Doc Опубликовано 28 января, 2009 Поделиться Опубликовано 28 января, 2009 спрашивают про форму бокового резца (2-го зуба) - уж больно он по форме на клык похож... Сдается мне,что это молочный клык и скоро ему кирдык придет. Стандартная ситуация при врожденной адентии второго резца. Только чаще постоянный становится на место второго, а третий молочный остается на своем месте. Тут похоже, что наоборот. Этим и может объясняться неожиданная патологическая стираемость, плюс форма и размер зуба. Ссылка на комментарий
mariat Опубликовано 29 января, 2009 Автор Поделиться Опубликовано 29 января, 2009 Сдается мне,что это молочный клык и скоро ему кирдык придет. Стандартная ситуация при врожденной адентии второго резца. Только чаще постоянный становится на место второго, а третий молочный остается на своем месте. Тут похоже, что наоборот. Этим и может объясняться неожиданная патологическая стираемость, плюс форма и размер зуба.мне 27 лет, в таком возрасте могут быть молочные зубы? и что теперь делать, реставрация композитом остается в силе? Ссылка на комментарий
shishok Опубликовано 29 января, 2009 Поделиться Опубликовано 29 января, 2009 (изменено) мне 27 лет, в таком возрасте могут быть молочные зубы? и что теперь делать, реставрация композитом остается в силе?Молочные зубы могут быть в любом возрасте ,реставрация остается в силе+ сделайте рентген зуба,чтобы определить молочный ли это зуб,посмотреть размер корня для возможности последующих реcтавраций(если они понадобятся) Изменено 29 января, 2009 пользователем shishok Ссылка на комментарий
krasik Опубликовано 29 января, 2009 Поделиться Опубликовано 29 января, 2009 мне 27 лет, в таком возрасте могут быть молочные зубы? Легко! Ссылка на комментарий
Doc Опубликовано 29 января, 2009 Поделиться Опубликовано 29 января, 2009 Молочные зубы могут быть в любом возрасте ,реставрация остается в силе+ сделайте рентген зуба,чтобы определить молочный ли это зуб,посмотреть размер корня для возможности последующих реcтавраций(если они понадобятся) +1! Все правильно! Сначала рентген (сюда выложить не забудьте), потом принятие решения о дальнейшей его судьбе. Ссылка на комментарий
Nikolaj Siromolot Опубликовано 29 января, 2009 Поделиться Опубликовано 29 января, 2009 Очень нужен совет. На зубе стерся кусок эмали. В последнее время в связи с этим появились не приятные ощущуния. Что возможно сделать в моем случае - только коронку или может быть что-то еще? Фото прикреплено. Большое спасибоРешайтесь на винир,не морочьте себе голову и "будет Вам Счастье" Ссылка на комментарий
Doc Опубликовано 29 января, 2009 Поделиться Опубликовано 29 января, 2009 Решайтесь на винир,не морочьте себе голову и "будет Вам Счастье" А если там молочный зуб с фиксацией в кости миллиметра на полтора? Не встречали таких ситуаций? На него тоже винир вешать, чтобы простоял несколько месяцев и отвалился вместе с зубом? Ссылка на комментарий
Nikolaj Siromolot Опубликовано 29 января, 2009 Поделиться Опубликовано 29 января, 2009 А если там молочный зуб с фиксацией в кости миллиметра на полтора? Не встречали таких ситуаций? На него тоже винир вешать, чтобы простоял несколько месяцев и отвалился вместе с зубом?Конечно встречал,но парадокс в том,что эти молочные зубы анкилозированы в лунке.Конечно,сделать снимок,проанализировать"ситуацию" и если нет явных противопоказаний,то "вперёд и с песней" Ссылка на комментарий
Doc Опубликовано 29 января, 2009 Поделиться Опубликовано 29 января, 2009 Конечно встречал,но парадокс в том,что эти молочные зубы анкилозированы в лунке.Конечно,сделать снимок,проанализировать"ситуацию" и если нет явных противопоказаний,то "вперёд и с песней" До определенного момента да. Пациент может и до пятидесяти лет не знать, что зуб у него молочный. А потом включается какой-то механизм и зуб начинает просто разваливаться на глазах. Так что все начинается со снимка, а потом уже и "песни". Ссылка на комментарий
Рекомендуемые сообщения
Для публикации сообщений создайте учётную запись или авторизуйтесь
Вы должны быть пользователем, чтобы оставить комментарий
Создать аккаунт
Зарегистрируйте новый аккаунт в нашем сообществе. Это очень просто!
Регистрация нового пользователяВойти
Уже есть аккаунт? Войти в систему.
Войти