Перейти к содержанию
Стоматология для всех

Результаты гингивопластики по методике TSC


Рекомендуемые сообщения

Здравствуйте,

Полтора года назад (15.10.24) я создавала тему на этом форуме "рецессия десны: есть ли методика TSC в Петербурге?" 

Никто из врачей-стоматологов в СПб так и не заинтересовался этой темой, поэтому в октябре 2025 г я поехала в Москву в ту самую клинику, чье название нельзя писать, получила консультацию и потом решилась - 31.01.26 сделала гингивопластику одного зуба у них по методике TSC (Tissue stretching concept - метод растяжения мягких тканей путем прокладывания специальным методом политетрафторэтиленовой ленты).

Кратко: ниже похвала клинике и желание заинтересовать этом методикой хоть кто-то из стоматологов в СПБ. 

Ночью на поезде, 1 час в клинике, вечером снова на поезд. Ни боли, ни крови, ни разрезов, вечером уже можно чистить зубы. Словом, идеально, есть с чем сравнивать. 

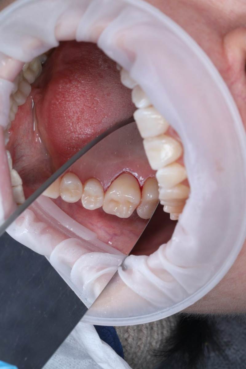
Исходная ситуация: рецессия в 5 мм на 6 зубе сверху со стороны твердого неба (26 зуб) , до этого в СПб была у нескольких врачей - почти все отказались что-то делать, кроме одного, который предложил классическую лоскутную пластику, но так-как у клиники были смешанные отзывы в интернете, то я сама не решилась, вдруг еще хуже станет.

Стоимость высокая, по ценам 2024-начала 2026г мне вышло около 60 тыс один зуб, а сейчас у них цены еще повысились(

Но так как это сейчас это могут только несколько врачей в Москве (кстати, с моим зубом работала стоматолог-терапевт, а не хирург), то их стоимость полностью оправдана - это могут только они. 

В общем, надеюсь, что хоть один врач из СПб все-таки научится этой методике, и можно будет так лечить в  СПБ тоже, поскольку в СПБ цены на стоматологию  обычно  ниже, чем в Москве)

Фото прикрепила. Зуб мой, могу и лично показать, есть и второй (16) с такой же проблемой, еще не леченный.  Фото сделали во время терапии по моей просьбе, поэтому первые 3 профессиональных фото - это до, после и после наложение лечебной повязки, которая сама отпала через 4 часа. Последнее фото, сделанное на смартфон сделано сегодня, как видно, все с зубом в порядке спустя 2.5 месяца. 

 

-5469995470185762549_121.jpg

-5469995470185762550_121.jpg

-5469995470185762551_121.jpg

IMG_20260408_171220.jpg

Изменено пользователем ИИва
Ссылка на комментарий

могу еще пару фото прикрепить, сделанные во время процедуры (операцией даже и не назвать), хотя не знаю - будут ли они информативны или нет? но может быть кому-то что-то это даст. 

 

-5469654320933441618_121.jpg

-5469654320933441615_121.jpg

Ссылка на комментарий

Для публикации сообщений создайте учётную запись или авторизуйтесь

Вы должны быть пользователем, чтобы оставить комментарий

Создать аккаунт

Зарегистрируйте новый аккаунт в нашем сообществе. Это очень просто!

Регистрация нового пользователя

Войти

Уже есть аккаунт? Войти в систему.

Войти
×
×
  • Создать...
Вверх