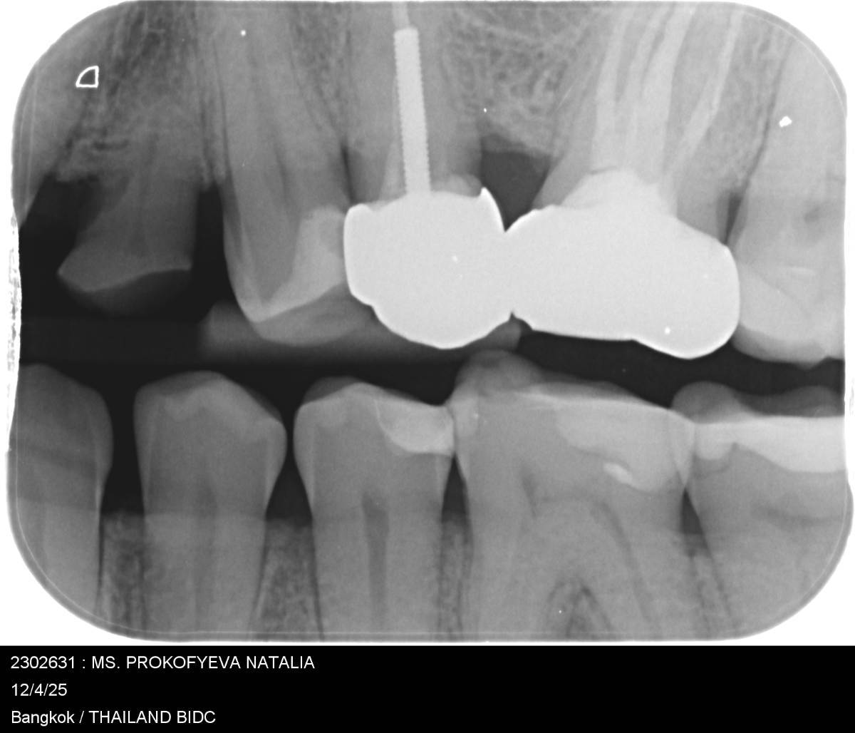
nataliapr13 Опубликовано 15 часов назад Поделиться Опубликовано 15 часов назад Здравствуйте. Где-то три года назад я ела что-то жёсткое, и зуб 26 резко заболел. Боль также возобновлялась, когда я чистила зубы ирригатором (струя вызывала резкую боль именно в этом зубе). Врач, посмотрев, предположила трещину, так как ни кариеса, ни проблем с пломбой там видно не было. Пломбу полностью удалили, но трещины не обнаружили. Через какое-то время мне удалили нервы. Зуб стал постоянно ныть. Его перелечили под микроскопом. Во время лечения врач нашла четыре канала и вскользь заметила, что есть трещина (я лечилась за границей, поэтому не совсем поняла, была ли это именно трещина). Я не стала уточнять, врач лишь спросила, хочу ли я долечивать этот зуб, и я согласилась. На перелеченный зуб поставили коронку. Всё было хорошо, но через месяц зуб снова начал ныть: то болел, то нет. Потом прошло, примерно на год наступило затишье, а затем всё повторилось. Я заметила, что боль длится максимум три дня, потом стихает. Ночью боли нет. И вот прошло три года, и зуб стал очень сильно ныть, и уже месяц это не проходит. Врач делала рентген — всё идеально, воспаления нет. Она постукивала по зубу металлическим инструментом — реакции нет. На холод тоже реакции нет, но когда я даже слегка дотрагиваюсь до него пальцем (по внутренней стенке коронки), зуб даёт реакцию. Боли как таковой нет, но есть постоянное поднывание. Есть не больно, однако через некоторое время боль усиливается на всю левую сторону челюсти, затем стихает и снова концентрируется только на этом зубе. Я чувствую его постоянно. Врач предлагает удалить зуб. Скажите, что это может быть? Похоже ли это на трещину? (на рентгене не видно что под корнями, но я делала полный рентген - там все чисто) С уважением, Наталья. Ссылка на комментарий
Doc Опубликовано 9 часов назад Поделиться Опубликовано 9 часов назад Данный снимок абсолютно неинформативен. Важно видеть верхушки корней, а их тут нет. И желательно не плоский снимок, а 3D. 1 Ссылка на комментарий
Рекомендуемые сообщения
Для публикации сообщений создайте учётную запись или авторизуйтесь
Вы должны быть пользователем, чтобы оставить комментарий
Создать аккаунт
Зарегистрируйте новый аккаунт в нашем сообществе. Это очень просто!
Регистрация нового пользователяВойти
Уже есть аккаунт? Войти в систему.
Войти