Л93 Опубликовано Понедельник в 18:57 Поделиться Опубликовано Понедельник в 18:57 (изменено) Доброго времени суток. Очень нужна консультация. В субботу припухла щека, заболела верхняя челюсть, конкретное место определить не удалось. Сегодня на осмотре у стоматолога вердикт, удалять 8ку и 5ку. Пошла на удаление, хирург внимательно изучив снимки, посоветовавшись с коллегой сказал, что 5ка под лечение, 8ка ещё и не вышла и с ней все в порядке. Прописал антибиотик и отправил к терапевту. Ближайшая запись к терапевту май. Действительно ли можно обойтись без удалении 5ки? Как срочно нужно заняться лечением если возможно вылечить 5ку? Заранее спасибо всем ответившим. Изменено Понедельник в 18:59 пользователем Л93 Ссылка на комментарий
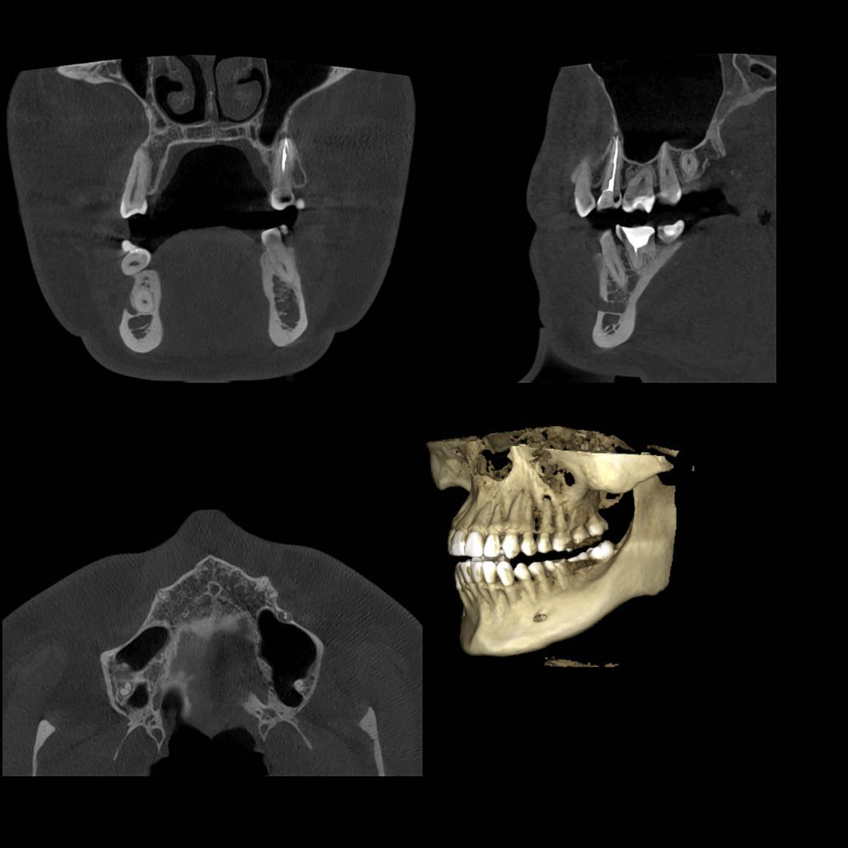
Л93 Опубликовано Понедельник в 19:05 Автор Поделиться Опубликовано Понедельник в 19:05 Этот снимок был сделан 6 лет назад перед началом лечения. Ссылка на комментарий
Женька Опубликовано Понедельник в 19:36 Поделиться Опубликовано Понедельник в 19:36 Здравствуйте! Криминала не вижу по Вашему 25 зубу. Но это лишь один срез, не дающий полной картины. По 8... интересно посмотреть в полости рта. Потому что на снимке 6 лет назад она действительно не прорезалась, а вот на свежем вполне себе должна жевать с нижней 8. Ссылка на комментарий
Л93 Опубликовано Понедельник в 19:52 Автор Поделиться Опубликовано Понедельник в 19:52 (изменено) @Женька Спасибо за ответ! Подскажите 25й зуб достаточно перелечить каналы? Сегодня ещё было предложение пролечить, срезать зуб и поставить штифт с коронкой. 8ки в нормальном состоянии или требуют удаления? Изменено Понедельник в 19:53 пользователем Л93 Ссылка на комментарий
red_butler Опубликовано Вторник в 04:52 Поделиться Опубликовано Вторник в 04:52 Здравствуйте, опишите характер боли. Ссылка на комментарий
Л93 Опубликовано Вторник в 09:21 Автор Поделиться Опубликовано Вторник в 09:21 @red_butler Здравствуйте. В субботу в обед началось все с ощущения, что повышается внутречерепное давление, к вечеру начала пульсировать вся челюсть, но боль была терпимая. До понедельника все было без изменений, не хуже не лучше. В понедельник вечером после приема антибиотиков и обезболивающего спал отёк (он изначально был небольшой) боль тоже прошла. Ссылка на комментарий
red_butler Опубликовано Вторник в 09:57 Поделиться Опубликовано Вторник в 09:57 сделайте Кт Ссылка на комментарий
Л93 Опубликовано Вторник в 09:59 Автор Поделиться Опубликовано Вторник в 09:59 @red_butler вчерашний снимок кт в первом сообщении Ссылка на комментарий
red_butler Опубликовано Вторник в 10:44 Поделиться Опубликовано Вторник в 10:44 43 минуты назад, Л93 сказал: @red_butler вчерашний снимок кт в первом сообщении залейте кт в облако, и скиньте сюда ссылку Ссылка на комментарий
Л93 Опубликовано Вторник в 10:48 Автор Поделиться Опубликовано Вторник в 10:48 @red_butler диска нет, только то, что пришло на почту Ссылка на комментарий
Гарриевич Опубликовано Вторник в 13:16 Поделиться Опубликовано Вторник в 13:16 Если Вы хотите получить помощь, то Ваша задача загрузить кт на облако и скинуть сюда ссылку Ссылка на комментарий
Л93 Опубликовано Вторник в 16:32 Автор Поделиться Опубликовано Вторник в 16:32 @red_butler https://disk.360.yandex.ru/d/CpvBoC3sSxotdw Ссылка на комментарий
wladdX Опубликовано Вторник в 21:40 Поделиться Опубликовано Вторник в 21:40 (изменено) Скорее всего виновен 25 Изменено Вторник в 21:41 пользователем wladdX Ссылка на комментарий
Л93 Опубликовано вчера в 05:37 Автор Поделиться Опубликовано вчера в 05:37 @wladdX Здравствуйте. Спасибо за ответ! Действительно ли возможно лечение 25 зуба? Ссылка на комментарий
red_butler Опубликовано 16 часов назад Поделиться Опубликовано 16 часов назад Здравствуйте, требуется повторное лечение корневых каналов пятого зуба. почитайте эту тему Ссылка на комментарий
Л93 Опубликовано 16 часов назад Автор Поделиться Опубликовано 16 часов назад (изменено) @red_butler принцип лечения я понимаю. Первостепенно нужно было понять, что делать. Так как было три мнения и все три разные. Подскажите какой примерно разбег цен на лечение в Москве. На какой срок примерно хватит этого лечения, прошлого раза хватило на 6лет. Я так понимаю лечить нужно с микроскопом? Изменено 16 часов назад пользователем Л93 Ссылка на комментарий
red_butler Опубликовано 16 часов назад Поделиться Опубликовано 16 часов назад 6 минут назад, Л93 сказал: Подскажите какой примерно разбег цен на лечение в Москве. финансовые вопросы на форуме не обсуждаются Ссылка на комментарий
Л93 Опубликовано 16 часов назад Автор Поделиться Опубликовано 16 часов назад @red_butler Если возможно напишите в лс. Вопрос в том, что если лечение дорогое и хватит на короткий срок 3-5 лет. Может проще имплант сразу поставить и потерять проблему? Ссылка на комментарий
Estes Опубликовано 6 часов назад Поделиться Опубликовано 6 часов назад полное лечение зуба будет состоять из перелечивания каналов под микроскопом, штифтования зуба и пломбы ( или вкв) и закрытия его коронкой (временной). И смотреть динамику каждые полгода. микроскоп обязательно ! цена - ну смотрите по средне-верхнему сегменту - если цель именно спасти зуб, но гарантий на перелечивание нет. Удалить и заимплантировать в случае неудачи. Не факт что будет дешевле. Ссылка на комментарий
red_butler Опубликовано 3 часа назад Поделиться Опубликовано 3 часа назад 12 часов назад, Л93 сказал: @red_butler Если возможно напишите в лс. Вопрос в том, что если лечение дорогое и хватит на короткий срок 3-5 лет. Может проще имплант сразу поставить и потерять проблему? я понятия не имею о ценах в Москве, сходите на очную консультацию. Ссылка на комментарий
Л93 Опубликовано 11 минут назад Автор Поделиться Опубликовано 11 минут назад (изменено) @Estes 6 часов назад, Estes сказал: цена - ну смотрите по средне-верхнему сегменту - если цель именно спасти зуб, но гарантий на перелечивание нет. Удалить и заимплантировать в случае неудачи. Не факт что будет дешевле. Спасибо за ответ! Принцип лечения я понимаю. Вы правы гарантий как оказалось ни кто давать не хочет, при этом стоимость лечения выходит примерно пол стоимости приличного импланта, странная конечно ситуация когда все риски на пациенте включая финансовые. А в случае неудачи плюсом к имплануту стоимость которого от 100тыс добавиться ещё тыс 40, которые будут потрачены в пустую. Честно говоря когда создавалась тема не было понимания стоимости лечения и конечно же приоритетом было сохранение зуба. Сейчас когда с ценами и безгарантийными обязательствами все понятно вопрос несколько изменился. Что даст борьба за этот зуб в перспективе хотя бы на пару-тройку лет? Изменено 10 минут назад пользователем Л93 Ссылка на комментарий
Рекомендуемые сообщения
Для публикации сообщений создайте учётную запись или авторизуйтесь
Вы должны быть пользователем, чтобы оставить комментарий
Создать аккаунт
Зарегистрируйте новый аккаунт в нашем сообществе. Это очень просто!
Регистрация нового пользователяВойти
Уже есть аккаунт? Войти в систему.
Войти