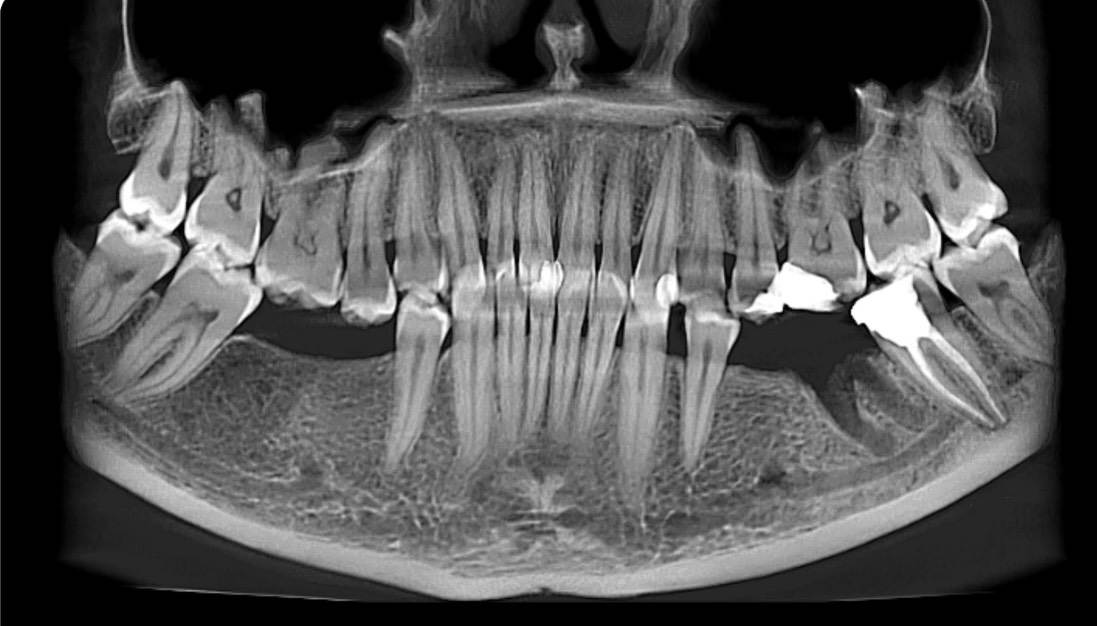
Мария2010 Опубликовано 7 часов назад Поделиться Опубликовано 7 часов назад Здравствуйте,подскажите пожалуйста ,по снимку видно ли,что в нижних семерках и восьмерках есть кариес? Ссылка на комментарий
Рекомендуемые сообщения
Для публикации сообщений создайте учётную запись или авторизуйтесь
Вы должны быть пользователем, чтобы оставить комментарий
Создать аккаунт
Зарегистрируйте новый аккаунт в нашем сообществе. Это очень просто!
Регистрация нового пользователяВойти
Уже есть аккаунт? Войти в систему.
Войти