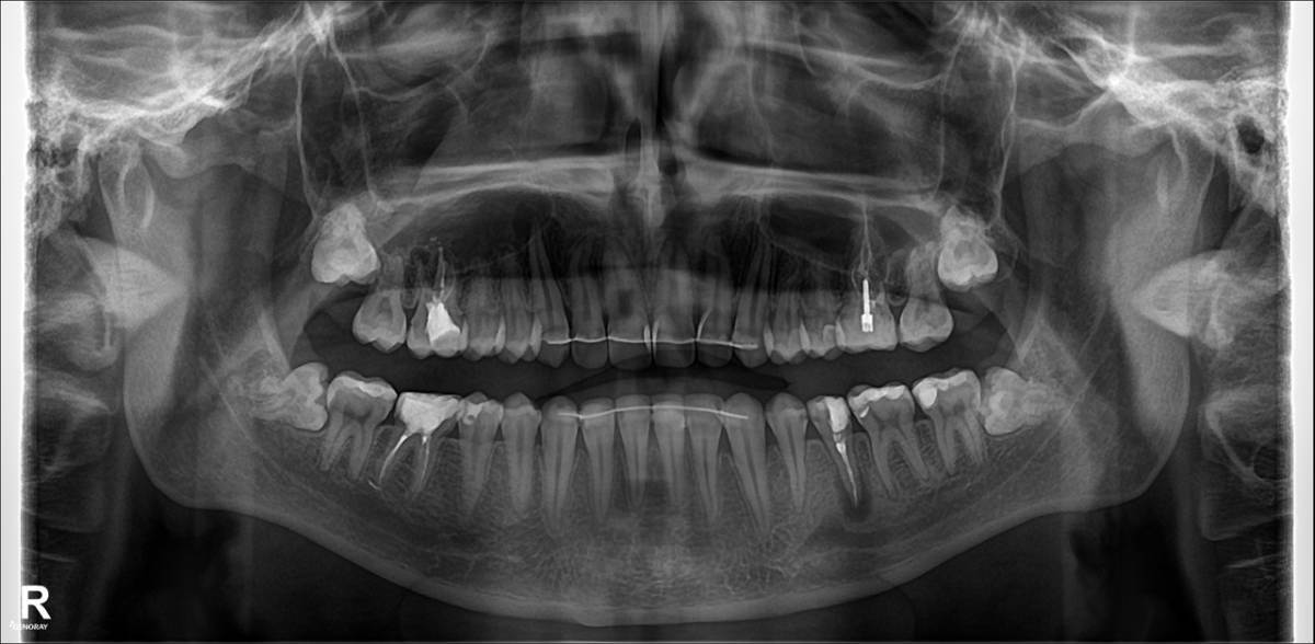
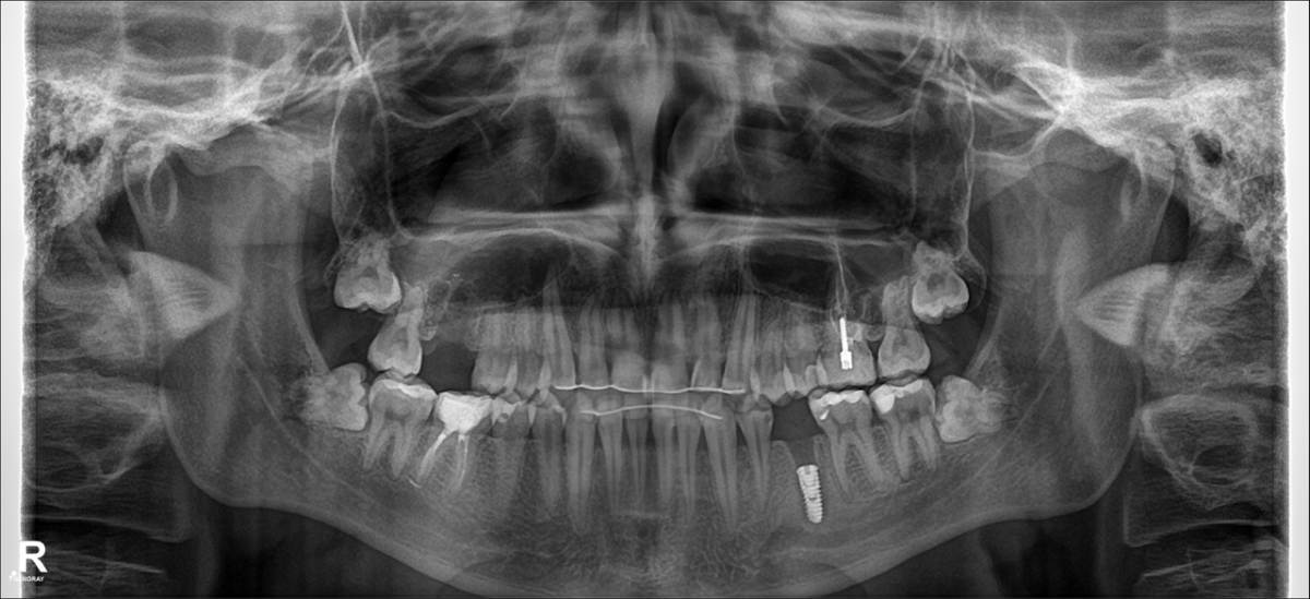
Dimedr Опубликовано 1 час назад Поделиться Опубликовано 1 час назад Добрый день. Вечером заболела верхняя десна, боль отдавала в клык. Опухла щека, утром поехал в клинику, сказали верхний зуб 16, нужно удалять, т.к. там образовался гной , который со слов врача уже проедает кость. И сказали нижний зуб 35, тоже нужно удалить, а то скоро так же заболит, т.к. на корне киста. В итоге удалили оба зуба, в 35 вкрутили штифт. При удалении сказали гноя не было на 16, но кисту на 35 нашли. Решил попросить снимки челюсти, с начала отказывались давать, из-за чего закрались подозрения. На повторном осмотре хирург сказал, все отлично. Но вечером дома обнаружил, что над клыком рядом с 16 зубом, десна вспухла и побелела. Скажите все ли верно сделали ? Для уточнения, год назад снял брекеты. Ссылка на комментарий
Рекомендуемые сообщения
Для публикации сообщений создайте учётную запись или авторизуйтесь
Вы должны быть пользователем, чтобы оставить комментарий
Создать аккаунт
Зарегистрируйте новый аккаунт в нашем сообществе. Это очень просто!
Регистрация нового пользователяВойти
Уже есть аккаунт? Войти в систему.
Войти