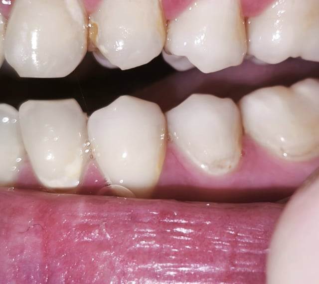
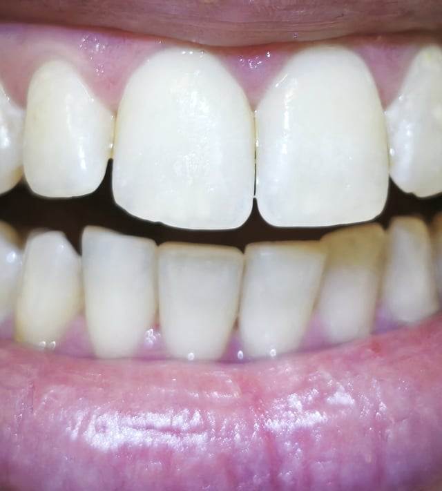
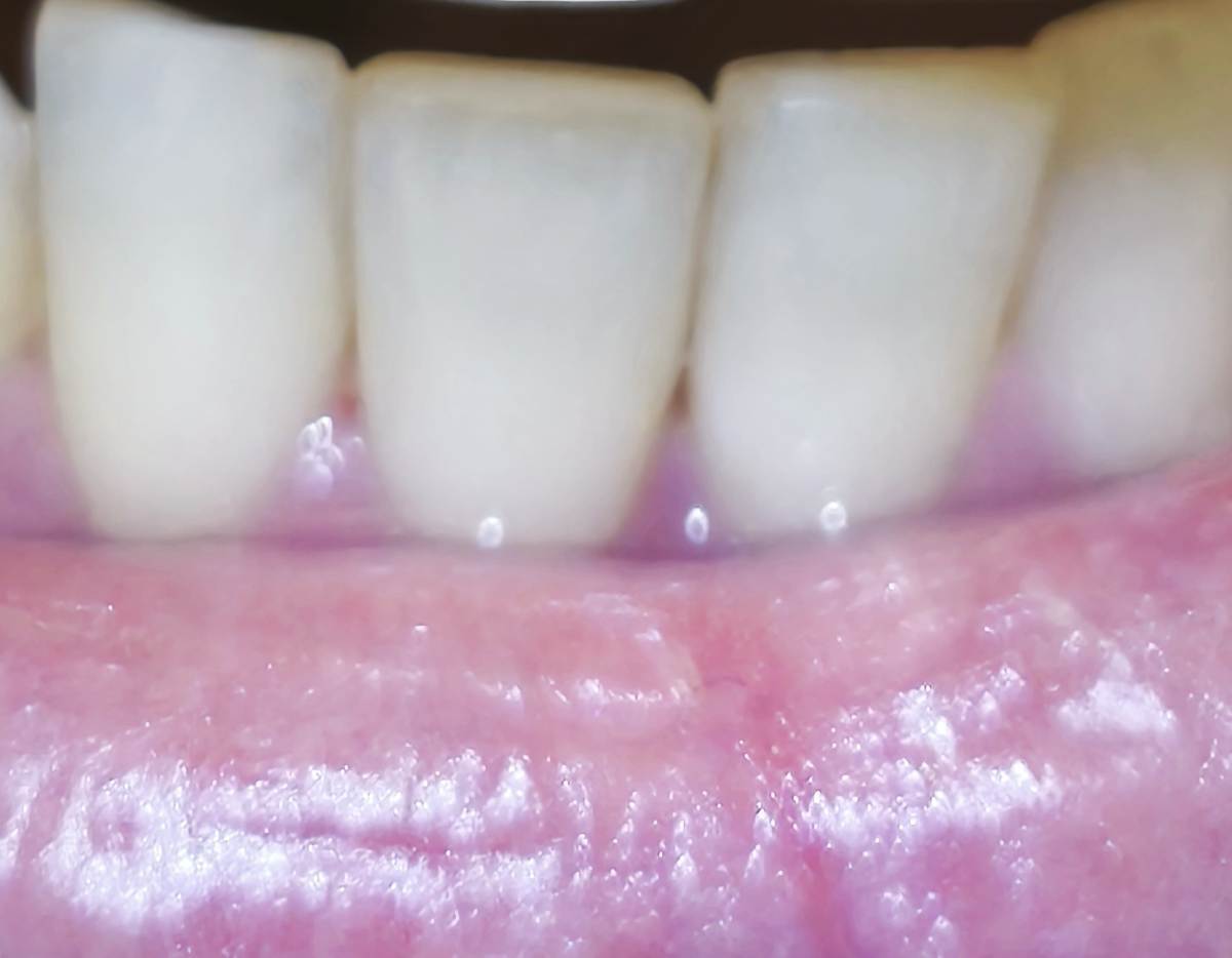
pustelga Опубликовано 3 часа назад Поделиться Опубликовано 3 часа назад Здравствуйте, мне 31 год, не курю У меня вопросы, т.к. разные врачи в одной и той же клинике говорят совершенно противоположные вещи 1. Белые пятна — флюороз или начальная стадия кариеса? На большинстве зубов у меня белые пятна и желтоватый налёт в районе дёсен, а на переднем верхнем — оч большое белое пятно. Профессиональная чистка не помогает. Я спросила стоматолога, что это - он сказал, что это флюороз и нужно перейти на пасту без фтора. А другая стоматолог-терапевт сказала, что что это начальный кариес (в стадии белого пятна), а не флюороз, и посоветовала реминерализующий гель (какой именно — сказала «любой, это не важно»), и что он лишь замедлит развитие кариеса. Сказала, что наоборот, надо использовать пасту с фтором. Как можно определить, что это такое , и можно ли вылечить пятно или хотя бы уменьшить? После приёма у второго стоматолога я купила GC Tooth Mousse, наносила на час под капы— результата не увидела, вроде как его советуют для реминерализация. 2. Странное пятно жёлтого цвета - похоже на скол На боковой поверхности верхнего зуба есть жёлтое пятно, похожее на скол эмали. Что это и насколько плохо, лечится? 3. Передние зубы становятся прозрачными Края передних зубов (верхних и нижних) становятся всё более прозрачными. Стоматологи говорят, что истончения нет и прозрачность — это норма, но меня это очень беспокоит, я вижу прогресс. У меня от природы довольно большие губы, поэтому сфотографировать сложно. Буду очень благодарна за мнения и советы. Ссылка на комментарий
Рекомендуемые сообщения
Для публикации сообщений создайте учётную запись или авторизуйтесь
Вы должны быть пользователем, чтобы оставить комментарий
Создать аккаунт
Зарегистрируйте новый аккаунт в нашем сообществе. Это очень просто!
Регистрация нового пользователяВойти
Уже есть аккаунт? Войти в систему.
Войти