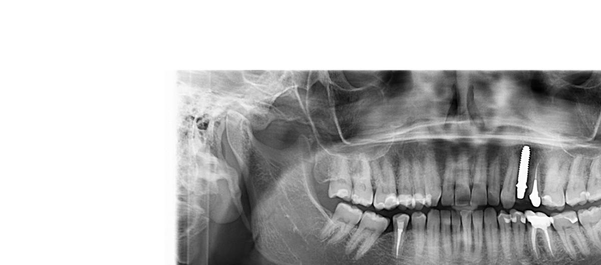
Karamel Опубликовано 7 часов назад Поделиться Опубликовано 7 часов назад (изменено) Добрый день, уважаемые стоматологи. Очень нужна консультация по поводу установки импланта. 6 февраля 2026 года была проведена одномоментная имплантация верхней левой 4-ки имплантом из диоксида циркония white SKY 3514 от bredent. На 3-й день после имплантации начались сильные боль, отдавали в нижнюю челюсть, температура 37,5. Это не смотря на прием антибиотика Панцеф с первого дня. Антибиотик принимала 10 дней, температура снизилась на 8 день. Боль прошла, оставался дискомфорт. На 11-ый день установили временную пластиковую коронку (на 5-ку с циркониевой вкладкой и на имплант). Но все время есть ощущение давления или какого-то распирания между клыком и имплантом. Хирург утверждает, что все нормально, это коронка давит. Ортопед через 14 дней снял коронку, что-то подпилил и снова надел. Но ощущения какого-то давления остались. Сделали панорамный снимок. Я не врач, но мне кажется, что имплант упирается в клык. Может его лучше выкрутить, пока не сильно поздно? И можно ли это сделать аккуратно? Очень переживаю за клык... Изменено 5 часов назад пользователем Karamel опечатка Ссылка на комментарий
red_butler Опубликовано 3 часа назад Поделиться Опубликовано 3 часа назад Здравствуйте, по такому снимку судить нельзя, но.... болеть как Вы описываете, не должно Ссылка на комментарий
Karamel Опубликовано 2 часа назад Автор Поделиться Опубликовано 2 часа назад Большое спасибо за ответ. На данный момент боли нет ( прошло чуть более месяца со дня имплантации), но есть какое-то ощущение распирания где-то в десне между имплантом и клыком Периодически возникают кратковременные ноющие ощущения (например, когда ела творожок из холодильника). Десна выглядит неплохо, так и хирург сказал, и я сама вижу. Если по снимку судить нельзя, то необходимо сделать КТ? Ссылка на комментарий
red_butler Опубликовано 1 час назад Поделиться Опубликовано 1 час назад 45 минут назад, Karamel сказал: Если по снимку судить нельзя, то необходимо сделать КТ? Кт или несколько прицельных снимков в разных проекциях Ссылка на комментарий
Рекомендуемые сообщения
Для публикации сообщений создайте учётную запись или авторизуйтесь
Вы должны быть пользователем, чтобы оставить комментарий
Создать аккаунт
Зарегистрируйте новый аккаунт в нашем сообществе. Это очень просто!
Регистрация нового пользователяВойти
Уже есть аккаунт? Войти в систему.
Войти