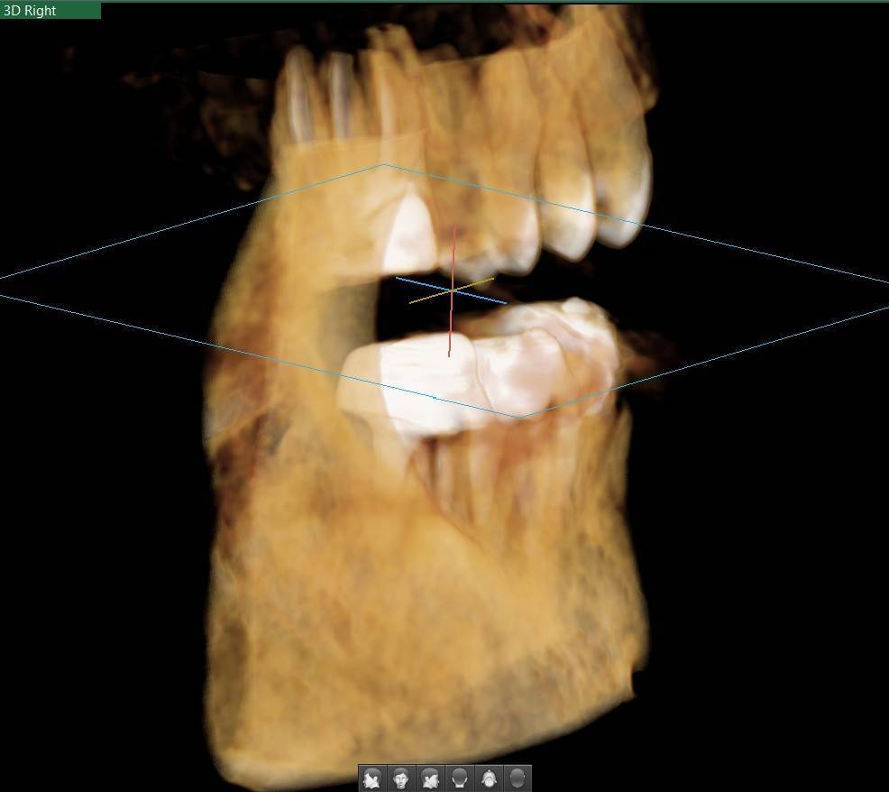
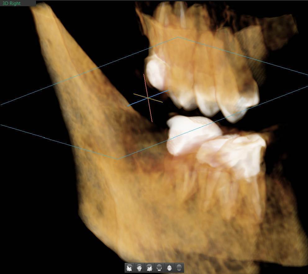
A-V-S Опубликовано 3 марта Поделиться Опубликовано 3 марта Здравствуйте. У меня такая ситуация: В начале января 2026 начал болеть зуб 7ка снизу слева - боль развивалась постепенно - в итоге стало больно жевать. Сделал КТ. Лечащий стоматолог сказал, что это проснулось спящее воспаление, перелечивать каналы зуба сложно - надо сверлить буром и доставать стекловолоконный штифт - надо удалять. В следующие дни открылся свищ и боль ушла. Свищ продолжает быть с периодическим набуханием и сдуванием после выброса гноя белого цвета. Этот зуб лечили с установкой стекловолоконного штифта чуть больше 5 лет назад. Посмотрите, пожалуйста, приложенные снимки и посоветуйте как быть - можно ли перелечить и сохранить зуб ? Ссылка на комментарий
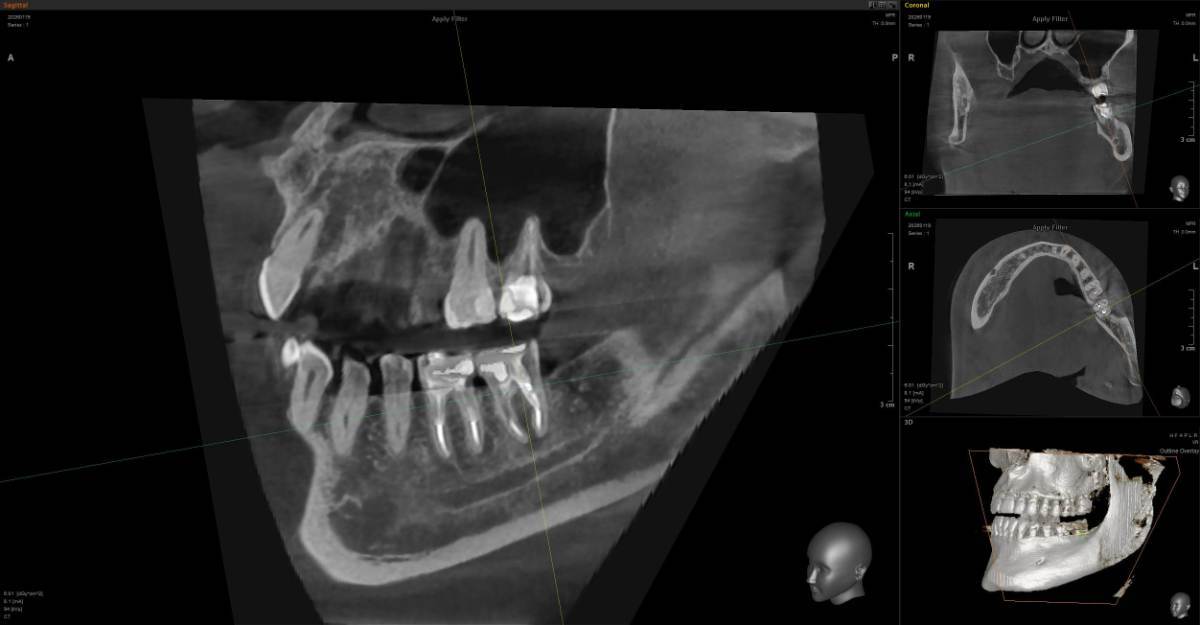
АнтонТЛТ Опубликовано 3 марта Поделиться Опубликовано 3 марта Добрый вечер, лучше выложить несколько срезов этого зуба, либо архив с кт. По представленным снимкам, есть подозрение о наличии трещины между корнями зуба. 1 1 Ссылка на комментарий
A-V-S Опубликовано 4 марта Автор Поделиться Опубликовано 4 марта Здравствуйте. @АнтонТЛТ , добавил. Ссылка на комментарий
red_butler Опубликовано 4 марта Поделиться Опубликовано 4 марта Здравствуйте, Вы выложили не срезы. а реконструкцию. Залейте кт в облако и скиньте сюда ссылка на скачивание Ссылка на комментарий
A-V-S Опубликовано 4 марта Автор Поделиться Опубликовано 4 марта @АнтонТЛТ, Залил КТ -> https://disk.yandex.ru/d/JJPWXUf3R5E0Xw @red_butler , спасибо. Ссылка на комментарий
Гарриевич Опубликовано 6 марта Поделиться Опубликовано 6 марта Не знаю обрадует Вас это или огорчит, но зуб можно сохранить соседний тоже с воспалением кстати 1 1 Ссылка на комментарий
red_butler Опубликовано 9 марта Поделиться Опубликовано 9 марта В 03.03.2026 в 22:49, A-V-S сказал: можно ли перелечить и сохранить зуб ? можно Ссылка на комментарий
A-V-S Опубликовано 9 марта Автор Поделиться Опубликовано 9 марта @Гарриевич , @red_butler . спасибо. В 06.03.2026 в 21:28, Гарриевич сказал: соседний тоже с воспалением кстати @Гарриевич , на соседнем свища нет. Тоже надо перелечивать вместе с 7 ? Ссылка на комментарий
red_butler Опубликовано 10 марта Поделиться Опубликовано 10 марта 11 часов назад, A-V-S сказал: на соседнем свища нет. Тоже надо перелечивать вместе с 7 ? да Ссылка на комментарий
Doc Опубликовано 10 марта Поделиться Опубликовано 10 марта 16 часов назад, A-V-S сказал: на соседнем свища нет. Тоже надо перелечивать вместе с 7 ? Отсутствие свища не снимает проблемы наличия кисты на этом зубе. Рано или поздно будет вам свищ, либо зуб так заболит, что придется удалять безо всякого свища. 1 Ссылка на комментарий
Рекомендуемые сообщения
Для публикации сообщений создайте учётную запись или авторизуйтесь
Вы должны быть пользователем, чтобы оставить комментарий
Создать аккаунт
Зарегистрируйте новый аккаунт в нашем сообществе. Это очень просто!
Регистрация нового пользователяВойти
Уже есть аккаунт? Войти в систему.
Войти