Перейти к содержанию
Стоматология для всех

Нужно ли ортодонтическое лечение


Avonrimst

Рекомендуемые сообщения

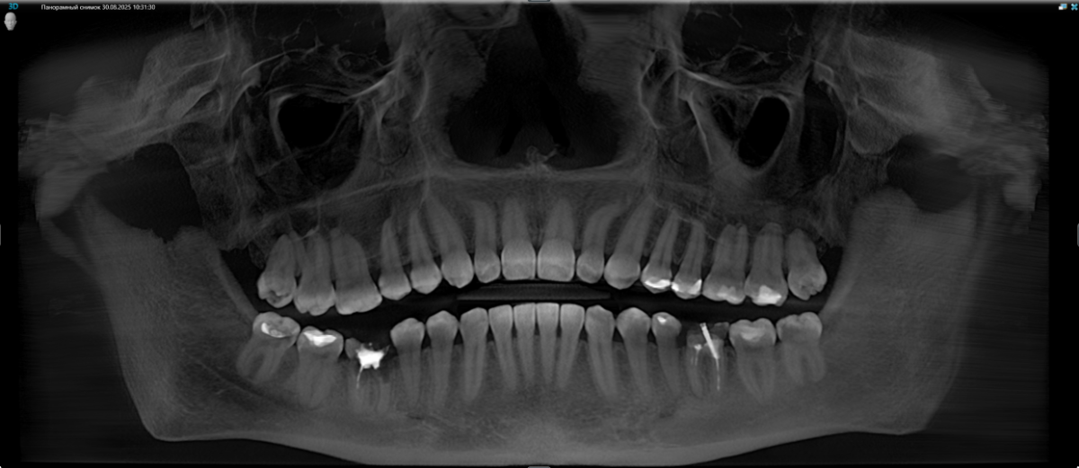
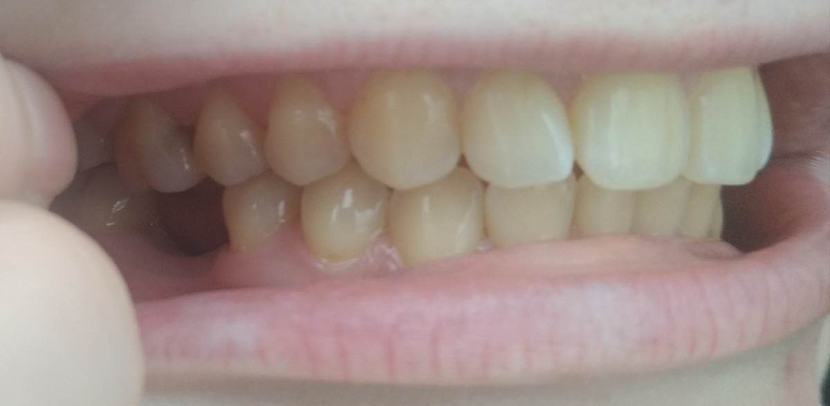
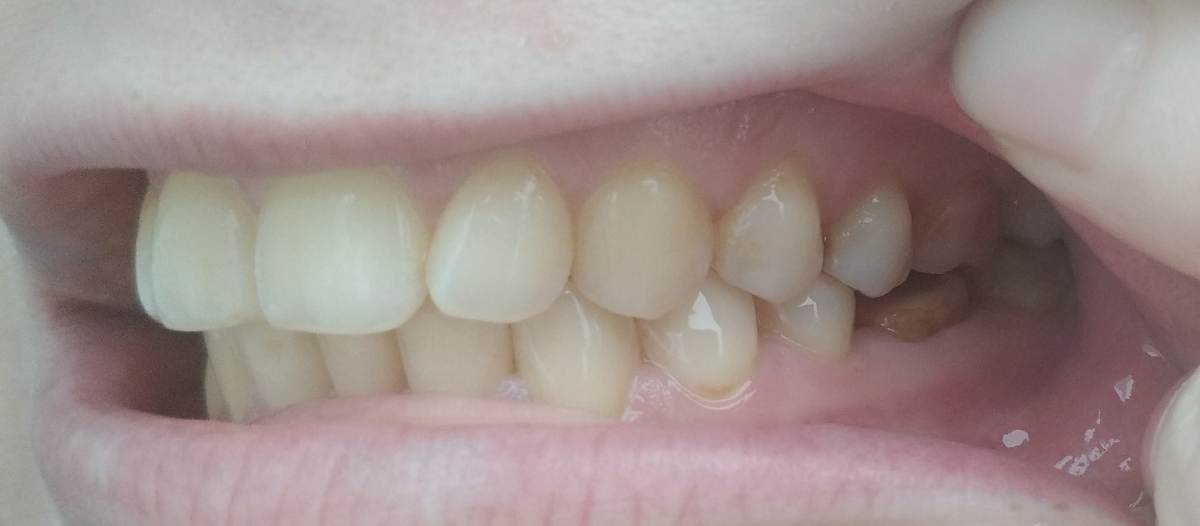
Здравствуйте, подскажите, целесообразно и нужно ли в моем случае ортодонтическое лечение? После лечения зубов планирую установку имплантов в области 36 и 46 зубов. Нужно ли что-то исправлять, или в моем случае можно поставить импланты как есть, без негативных последствий со стороны прикуса? Ортопед на консультации сказал, что можно, по поводу прикуса ничего сказано не было. Была у 2 ортодонтов: первый сказал, что прикус глубокий, и нужно исправлять брекетами. Второй сказал, что небольшие нарушения есть, но как я поняла, не сильно критичные (в области верхних резцов, боковых зубов на верхней челюсти, поэтому наблюдается оголение десны из того, что запомнила), и рекомендовал лечение элайнерами. Жалоб нет, кроме бруксизма (врачи сказали, что причина не в прикусе) и смущает выдвинувшийся 16 зуб. Этот панорамный снимок выдали после КТ, КТ также есть на диске. Спасибо.
https://disk.yandex.ru/d/r0Oleg_d8KAaVw

Панорама.png

P60112-122607(1).jpg

P60112-123704(1).jpg

P60112-125433(1).jpg

P60112-123905(1)(1).jpg

P60112-124051(1)(1).jpg

Изменено пользователем Avonrimst
Ссылка на комментарий

Для публикации сообщений создайте учётную запись или авторизуйтесь

Вы должны быть пользователем, чтобы оставить комментарий

Создать аккаунт

Зарегистрируйте новый аккаунт в нашем сообществе. Это очень просто!

Регистрация нового пользователя

Войти

Уже есть аккаунт? Войти в систему.

Войти
×
×
  • Создать...
Вверх