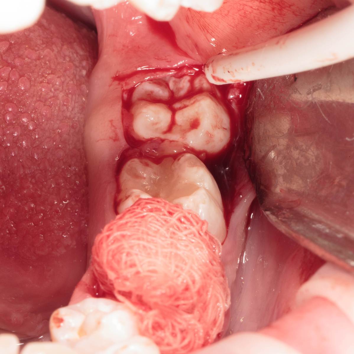
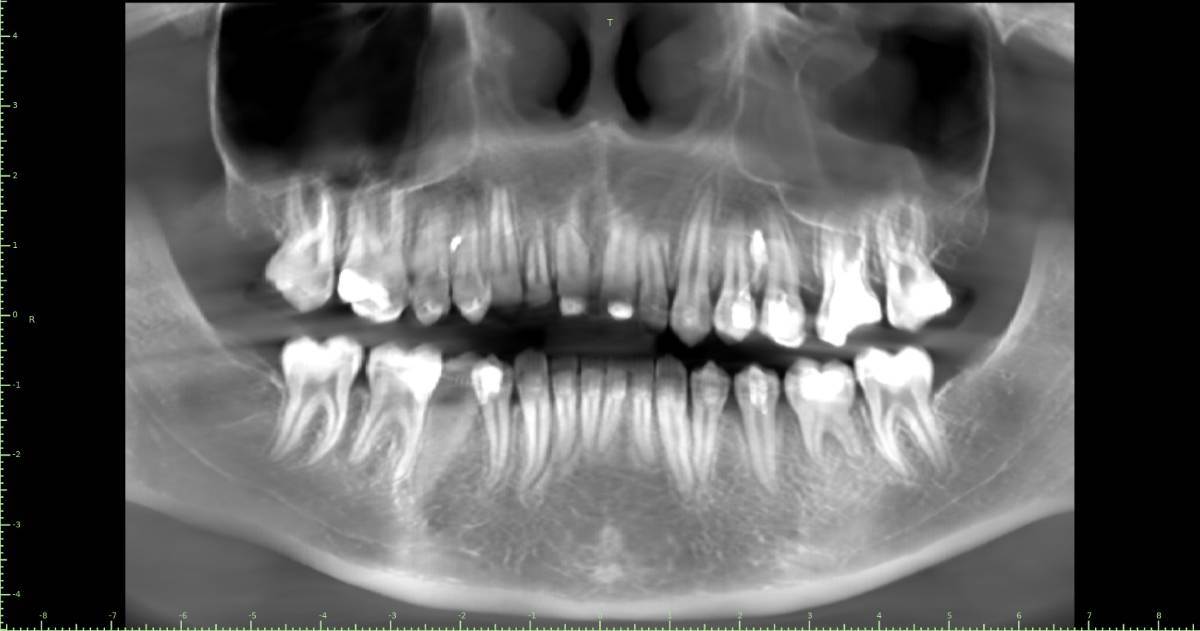
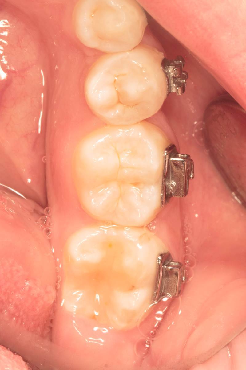
Женька Опубликовано 28 ноября, 2025 Поделиться Опубликовано 28 ноября, 2025 Всем привет, коллеги! 14 лет, терапевты ставят трещину по КТ (снимков до, к сожалению нет, косяк, каюсь). чуть сепарировав зуб и глянув на зуб под отлетевшим куском пломбы трещина "подтвердилась". Кейс на фото. Из интересного - маленький реколл в 1.5 года и спокойное перемещение зуба брекетами! 4 1 2 Ссылка на комментарий
сирена Опубликовано 1 декабря, 2025 Поделиться Опубликовано 1 декабря, 2025 Красиво. А через какое время начали перемещать? Ссылка на комментарий
Женька Опубликовано 1 декабря, 2025 Автор Поделиться Опубликовано 1 декабря, 2025 @сирена Спасибо! ЕМНИП месяца через 2-3, но лучше уточню, завтра отвечу! 1 Ссылка на комментарий
Женька Опубликовано 17 декабря, 2025 Автор Поделиться Опубликовано 17 декабря, 2025 @сирена вот и завтра наступило) прощу прощения, что так долго, всё из головы вылетало на работе посмотреть. Пересадили в конце мая, к ортодонтии подключили в начале сентября ~3.5 месяца прошло с пересадки на тот момент. 1 Ссылка на комментарий
Рекомендуемые сообщения
Для публикации сообщений создайте учётную запись или авторизуйтесь
Вы должны быть пользователем, чтобы оставить комментарий
Создать аккаунт
Зарегистрируйте новый аккаунт в нашем сообществе. Это очень просто!
Регистрация нового пользователяВойти
Уже есть аккаунт? Войти в систему.
Войти