Sergey32132 Опубликовано 28 ноября, 2025 Поделиться Опубликовано 28 ноября, 2025 (изменено) Добрый день. Подскажите пожалуйста, в прошлую пятницу ел арахис, аккуратно, с моими зубами противопоказано, как то чувствую что один твердый и я почувствовал несильную боль в области 1,4, и вот по сей день болит десна на протяжении с 1,4 и до 1,6 включительно, и немного напухшая, но не флюс, в области стыка зуб\десна тоже если трогать или давить пальцем воспалена, а вот в области 1,4 еще продолжаются ноющие ощущения, где то глубоко аж там в области верхушки, если давить на него не болит, стучать инструментом тоже не болит. Открыл послднее кт трех недельной давности, там где смотрели что другие зубы и далее заживают после эндо лечения, посмотрел на эти, вроде воспаления нет, но обратил внимание что на 1,4 каналы не доплобированы до верхушек, по памяти, они были запломбированы лет 12 назад, и никогда этот зуб не беспокоил Вот сегодня иду к стоматологу там где микроскоп, реставрацию все равно планово нужно делать, потихоньку занимаюсь зубами, но как быть с 1,4, с одной стороны нужно было бы пролечить 1,4 раз не до конца. с другой стороны каналы таковы уже более 10 лет, и вряд ли имеет отношение к моей проблема то что я прикусил твердое. 3 дня назад делал обычный снимок. уже после как прикусил. Подскажите пожалуйста, как быть, и какова тактика, это скорее травматический периодонтит ? Перед этим один из стоматологов сказал что если была бы трещина, зуб реагировал бы если по нем стучать или кусать и сильно Изменено 28 ноября, 2025 пользователем Sergey32132 Ссылка на комментарий
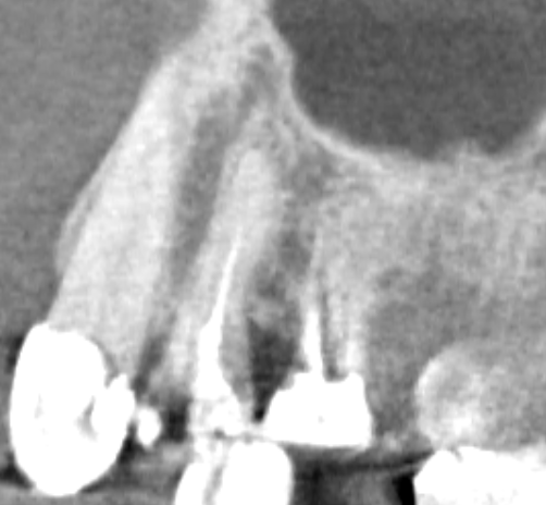
Sergey32132 Опубликовано 28 ноября, 2025 Автор Поделиться Опубликовано 28 ноября, 2025 (изменено) апдейт: Сегодня пошел таки решил перелечить, правда врач с клиники где мне прошлые разы спасали не спасаемое, позвонили сказали что заболел, смог попасть в другую, здесь я первый раз, но тоже выбирал где есть микроскоп и работают с ним, трещины сегодня сказали не увидели, сегодня каналы а следующий раз реставрацию, но я сфоткал для себя снимок, и когда вышел уже обратил внимание на ход гуттаперчи в бок, подскажите пожалуйста, это судя по всему перфорация ? Если да, во всех ли случаях плохой прогноз ? Изменено 28 ноября, 2025 пользователем Sergey32132 Ссылка на комментарий
сирена Опубликовано 1 декабря, 2025 Поделиться Опубликовано 1 декабря, 2025 Нет, это второй корень. 1 Ссылка на комментарий
Рекомендуемые сообщения
Для публикации сообщений создайте учётную запись или авторизуйтесь
Вы должны быть пользователем, чтобы оставить комментарий
Создать аккаунт
Зарегистрируйте новый аккаунт в нашем сообществе. Это очень просто!
Регистрация нового пользователяВойти
Уже есть аккаунт? Войти в систему.
Войти