Перейти к содержанию
Стоматология для всех

Поясните диагноз, пожалуйста


Вадим232311

Рекомендуемые сообщения

Добрый день, пожалуйста объясните что с зубом простыми словами, я если честно ничего не понял, там проблемы? Просто к стоматологу пойду через неделю только чтобы мне объяснили КТ, хочется сейчас узнать хоть что-то:

 

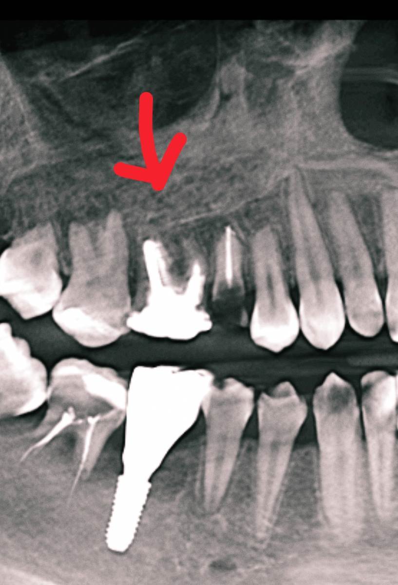
16 зуб эндодонтически лечен. Коронковая часть восстановлена рентгеноконтрастным материалом.

Небный корень: канал широкий, обтурирован высококонтрастным материалом, верхушка корня не закрыта. Периапикально очаг деструкции костной ткани 4,5х4мм. запломбирован. 

Щёчно-медиальный корень – признаки дилацерации корня, канал запломбирован частично. Периапикально очаг деструкции 4х4мм

Щёчно-дистальный корень: длина корня не более 4мм, в канале и за верхушкой корня определяется пломбировочный материал. Периапикально признаки деструкции костной ткани, очаг с нечеткими контурами.

IMG_20251122_004041.jpg

Жалоб на зуб вроде нет.. просто если очень долго вообще не жевать ничего или вообще челюстью не работать, при надкусывании чувствуется дискомфорт, но очень очень быстро проходит и больше не появляется 

Изменено пользователем Вадим232311
Ссылка на комментарий

Для публикации сообщений создайте учётную запись или авторизуйтесь

Вы должны быть пользователем, чтобы оставить комментарий

Создать аккаунт

Зарегистрируйте новый аккаунт в нашем сообществе. Это очень просто!

Регистрация нового пользователя

Войти

Уже есть аккаунт? Войти в систему.

Войти
×
×
  • Создать...
Вверх