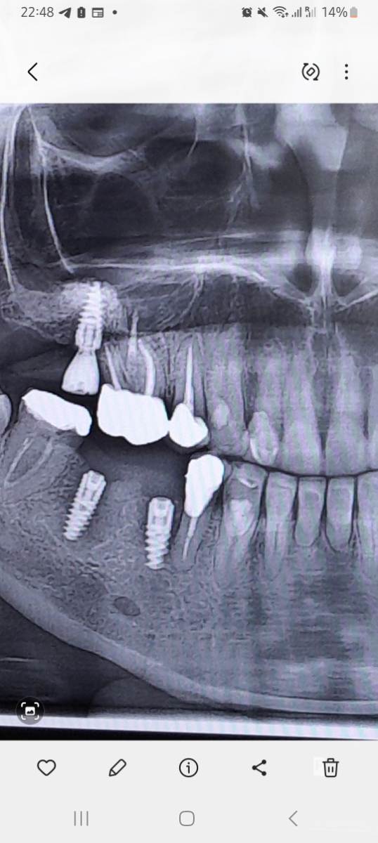
Irina xyz Опубликовано 17 ноября, 2025 Поделиться Опубликовано 17 ноября, 2025 (изменено) 26 окт поставили имплант на 45 29 окт заболел 44 Решили "попробовать" авось пройдет (врач решил) Попробовали Острая боль прошла, чувствительность 44го сохранилась 16 ноября распухла десна Снимок сделан сегодня Здесь снимок от 26го окт Решили еще "попробовать" Вскрыли, поставили теперь формирователь (?).. а вдруг поможет... Есть большие сомнения Отсюда вопрос Можт лучше просто удалить имплант и потом как врсстановится переделать? ... потому что имплант очевидно слишком близко к 44 му зубу и там меньше миллиметра намвыходе между фармирователем и 44м . Изменено 17 ноября, 2025 пользователем Irina xyz . Ссылка на комментарий
Женька Опубликовано 17 ноября, 2025 Поделиться Опубликовано 17 ноября, 2025 (изменено) Здравствуйте. Дайте фото в полости рта, желательно сверху, вот так. Но и сбоку, сильно отведя губу и щёку тоже можно. Изменено 17 ноября, 2025 пользователем Женька Ссылка на комментарий
Irina xyz Опубликовано 17 ноября, 2025 Автор Поделиться Опубликовано 17 ноября, 2025 Не факт что фото информативно но это лучшее что улалось сделать Ссылка на комментарий
Irina xyz Опубликовано 17 ноября, 2025 Автор Поделиться Опубликовано 17 ноября, 2025 Это немного лучше Ссылка на комментарий
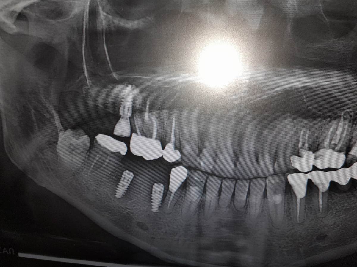
Irina xyz Опубликовано 17 ноября, 2025 Автор Поделиться Опубликовано 17 ноября, 2025 Еще один снимок от сегодня - не фонит Ссылка на комментарий
Женька Опубликовано 17 ноября, 2025 Поделиться Опубликовано 17 ноября, 2025 Пожалуй, что самое простое действительно убрать имплантат. Именно потому, что доставляет дискомфорт и боль. Хотя в полости рта я бы не сказал, что картина как-то плохо выглядит. 1 Ссылка на комментарий
Irina xyz Опубликовано 17 ноября, 2025 Автор Поделиться Опубликовано 17 ноября, 2025 То есть то что так близко к 44му - это нормально? Его бы на 0 5-1 мм бы подвинуть от 44 особенно в нижней части .. есть ощущение что имплант на грани кости и тканей вокруг зуба.. отого и 44 реагирует.. Нет? Ссылка на комментарий
сирена Опубликовано 18 ноября, 2025 Поделиться Опубликовано 18 ноября, 2025 44 реагирует от воспаления(периимплантита), имплант надо удалить и месяца через 3 переставить. Задержите протезирование, но зато с хорошим прогнозом. Там нет экстремальной близости к зубу, просто так получилось, что именно этот воспалился. Бывает такое. 1 1 Ссылка на комментарий
Irouil Опубликовано 20 ноября, 2025 Поделиться Опубликовано 20 ноября, 2025 Проще всего имплант удалить, сразу можно будет и проверить причину боли - он или зуб. Если не поможет удаление импланта - надо бф перелечить/удалить зуб Но очевидных показаний к удалению я не вижу, есть деминерализация костной ткани вокруг, может быть признаком "отторжения", а может и пройти (и установка формирователя выглядит тут разумной мерой в попытке спасения импланта) Я бы удалил, но часть решения лежит и на Ваших плечах Ссылка на комментарий
red_butler Опубликовано 23 ноября, 2025 Поделиться Опубликовано 23 ноября, 2025 удалять Ссылка на комментарий
Рекомендуемые сообщения
Для публикации сообщений создайте учётную запись или авторизуйтесь
Вы должны быть пользователем, чтобы оставить комментарий
Создать аккаунт
Зарегистрируйте новый аккаунт в нашем сообществе. Это очень просто!
Регистрация нового пользователяВойти
Уже есть аккаунт? Войти в систему.
Войти