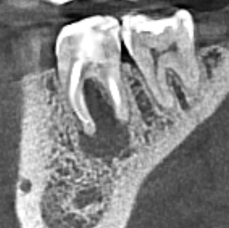
blackhead Опубликовано Понедельник в 02:54 Поделиться Опубликовано Понедельник в 02:54 Добрый день. Господа профессионалы, прошу вашей помощи по данному вопросу. Зуб не болит, рабочая 6-ка. Но все стоматологи, у кого консультировался (4 человека) говорят удалять. Один сказал, что где-то в Москве такие зубы спасают. Подскажите своё мнение, пожалуйста. Ссылка на комментарий
сирена Опубликовано Вторник в 06:03 Поделиться Опубликовано Вторник в 06:03 Мало шансов спасти и кучу денег надо в это вбахать. Слишком много обстоятельств должно совпасть для благоприятного результата. И без гарантии. Более прогнозируемо удаление с последующей имплантацией или другой вид протезирования. Ссылка на комментарий
Doc Опубликовано Вторник в 15:23 Поделиться Опубликовано Вторник в 15:23 Если задета бифуркция (а она тут почти полностью отсутствует), то такой зуб уже не жилец. Ссылка на комментарий
Рекомендуемые сообщения
Для публикации сообщений создайте учётную запись или авторизуйтесь
Вы должны быть пользователем, чтобы оставить комментарий
Создать аккаунт
Зарегистрируйте новый аккаунт в нашем сообществе. Это очень просто!
Регистрация нового пользователяВойти
Уже есть аккаунт? Войти в систему.
Войти