Перейти к содержанию
Стоматология для всех

Авто-транспортация моляра мудрости в анкилотические тискии


Рекомендуемые сообщения

Привет коллеги!

Трансплантировали 1.8 в лунку свеже-удаленного 4.6 с неизлечимым периодонтитом

К сожалению, посеял панорамный снимок ДО

CODREANU_POST_OP.bmp

Снимок сразу после операции

CODREANU_POST_OP_1_YEAR.jpg.4d431f001aa21f3bdfff9e1f24e57adf.jpg

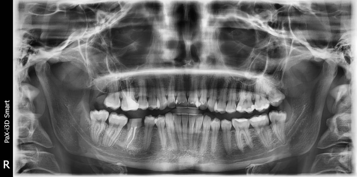
Панорама через год

_MG_2312.jpg.d45aafe725e794582405ca8b70ed6af9.jpg_MG_2309.jpg.ac39e4221e56891d91987d1f5a408713.jpg

Фото через год (сорри за качество, в клинике "штатный фотограф")

Протокол:

По КТ до операции распечатаны модели нескольких кандидатов на пересадку, после удаления проведена подгонка лунки под 1.8, на этом этапе был факап с расчётами, ибо модель не влезала в промежуток 4.5-4.7 на уровне экватора, стало ясно что придётся обтачивать 1.8 в руках, для этого 1.8 удерживался после удаления в руке с помощью обильно смоченного в физрастворе марлевого тампона, преп занял от силы 5 минут, после чего зуб шинирован на неделю к соседям полу-жестко (цепочкой), при удалении шины периотест +5/+6, еще через неделю эндо. На изготовление временной коронки пациентка не явилась, планировалось через неделю после эндо.

Через год пациентка пришла на протезирование, периотест -1/-3 и панорамка тоже с признаками анкилоза (я связку не вижу).

 

Это мой первый анкилоз (из всего 8 трансплантаций), грешу на внеротовой преп, но буду благодарен за альтернативные мнения 

  • Like 4
  • Поддерживаю 1
Ссылка на комментарий

Думаю на десяток лет хватит зуба) Не переживал бы из-за анкилоза

гораздо хуже когда кратер образуется после пересадки и приходится до кучи НКР делать...

  • Like 1
Ссылка на комментарий

Да, кстати, дополню про протокол:

 

Кандидатами на трансплантацию были только 1.8 и 2.8, к сожалению длина корней обоих нижних моляров не позволяла уместить их не задев нижнечелюстной канал (это в целом видно и по панорамному снимку

Ссылка на комментарий

Для публикации сообщений создайте учётную запись или авторизуйтесь

Вы должны быть пользователем, чтобы оставить комментарий

Создать аккаунт

Зарегистрируйте новый аккаунт в нашем сообществе. Это очень просто!

Регистрация нового пользователя

Войти

Уже есть аккаунт? Войти в систему.

Войти
×
×
  • Создать...
Вверх