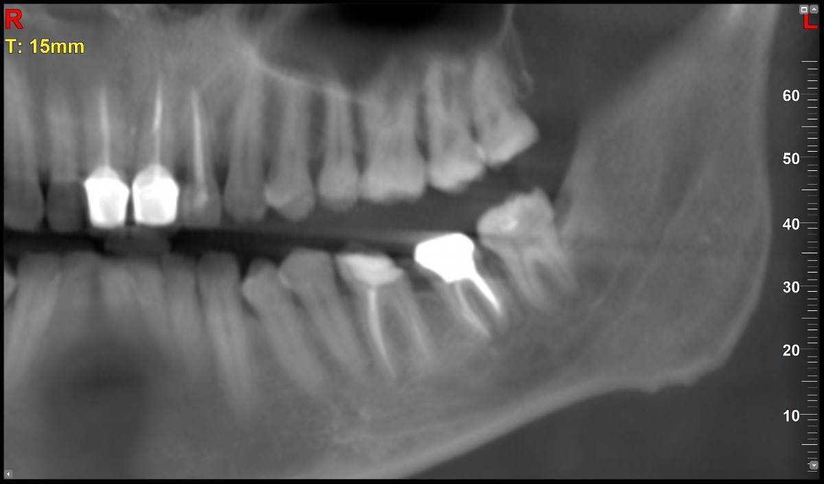
МаксимККК Опубликовано 5 ноября, 2025 Поделиться Опубликовано 5 ноября, 2025 https://disk.yandex.ru/d/6w20ekADUUrt0w Здравствуйте. Установили вкладку на 37 зуб, при снятии слепка под вкладку, ортопед подготовил 2 канала под две ножки вкладки, но с первого раза не получилось снять (ножка сломалась), снял слепок под одну ножку. Вкладку сделали с одной ножкой. Однако, второй канал остался не востребованным и появился вопрос, после сделанного КТ через пару недель после установки вкладки. А запломбировали ли распломбированный канал или он остался просто пустым? И если он остался пустым (ни чем не закрытым), приведет ли это к размножению микроорганизмов в пустоте или другим негативным эффектам? Если оставили пустым, нужно ли снимать вкладку и пломбировать канал? Спасибо. Ссылка на комментарий
red_butler Опубликовано 5 ноября, 2025 Поделиться Опубликовано 5 ноября, 2025 Здравствуйте, все хорошо, не переживайте. Ссылка на комментарий
Doc Опубликовано 5 ноября, 2025 Поделиться Опубликовано 5 ноября, 2025 Пустым его оставить не могли, т.к. вкладка сажается на цемент, который закрывает все пустоты. Ссылка на комментарий
МаксимККК Опубликовано 5 ноября, 2025 Автор Поделиться Опубликовано 5 ноября, 2025 1 час назад, Doc сказал: Пустым его оставить не могли, т.к. вкладка сажается на цемент, который закрывает все пустоты. Спасибо за ответ. Сперва подготовили 2 канала, но модель с 2мя ножками под отливку вкладки, не получилась, по этому в этот же прием, во второй раз, сделали на одной. Один канал при установке заполнен ножкой с цементом, а второй уже не понадобился, по этому и спрашиваю, судя по снимкам осталась ли там пустота, после установки (возможно ортопед не отметил в карте, что делал 2 канала и его не запечатал) и если так, чем это чревато. 4 часа назад, red_butler сказал: Здравствуйте, все хорошо, не переживайте. Спасибо за ответ. Ссылка на комментарий
Doc Опубликовано 7 ноября, 2025 Поделиться Опубликовано 7 ноября, 2025 В 05.11.2025 в 23:08, МаксимККК сказал: Спасибо за ответ. Сперва подготовили 2 канала, но модель с 2мя ножками под отливку вкладки, не получилась, по этому в этот же прием, во второй раз, сделали на одной. Один канал при установке заполнен ножкой с цементом, а второй уже не понадобился, по этому и спрашиваю, судя по снимкам осталась ли там пустота, после установки (возможно ортопед не отметил в карте, что делал 2 канала и его не запечатал) и если так, чем это чревато. Спасибо за ответ. Я же написал, не могло там пустоты остаться. Там цемент все заполняет. Ссылка на комментарий
Рекомендуемые сообщения
Для публикации сообщений создайте учётную запись или авторизуйтесь
Вы должны быть пользователем, чтобы оставить комментарий
Создать аккаунт
Зарегистрируйте новый аккаунт в нашем сообществе. Это очень просто!
Регистрация нового пользователяВойти
Уже есть аккаунт? Войти в систему.
Войти