Irina xyz Опубликовано 21 час назад Поделиться Опубликовано 21 час назад (изменено) Добрый день, 4й день после установки импланта 45 начал тянуть соседний зуб -клык на нижней челюсти (боль притупляется при давлении/нажатии на зуб) - это нормально? Изменено 21 час назад пользователем Irina xyz Приблженное фото, крупное изображение Ссылка на комментарий
Irina xyz Опубликовано 20 часов назад Автор Поделиться Опубликовано 20 часов назад Мне любое мнение важно . Заранее спасибо за внимание и время Ссылка на комментарий
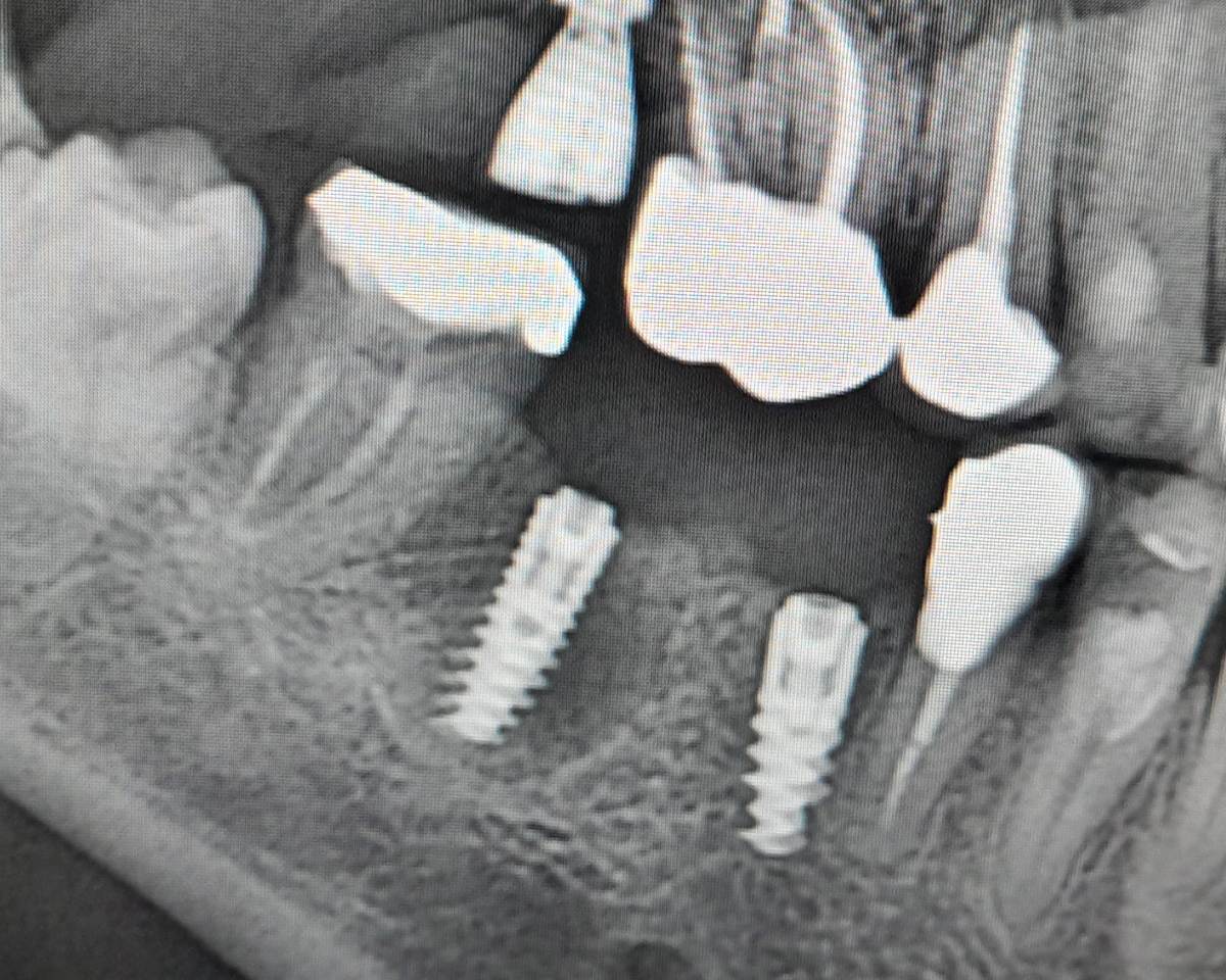
Irina xyz Опубликовано 20 часов назад Автор Поделиться Опубликовано 20 часов назад Это более общий план Имплант на 45м - 3.5 мм диаметр, 10 - длина Ссылка на комментарий
Женька Опубликовано 11 часов назад Поделиться Опубликовано 11 часов назад Здравствуйте. Вопросов к 4.4 и 4.3 много. Но сомневаюсь, что именно 4.3 стал беспокоить на фоне установленного имплантата. Скорее так совпало🤷♂️ Ссылка на комментарий
Irina xyz Опубликовано 1 час назад Автор Поделиться Опубликовано 1 час назад Я могу ошибаться в номерах, но вопрос про первый после импланта зуб, он же резец .. следующий живой не беспокоит никак. Имплант встал оч близко от корня соседа. Сосед стал отзываться при постукивании, но боль уходит при давлении на зуб... Стоит ли переделывать (если надо я лучше заплачу, чем ждать когда оно стнет хуже) или ситуация нормальна и трогать не стоит? Зы: я оч благодарна своим врачам и понимаю какую сложную работу они делают, этот вопрос попытка понять чего ожидать - на основании вашей практики Ссылка на комментарий
Рекомендуемые сообщения
Для публикации сообщений создайте учётную запись или авторизуйтесь
Вы должны быть пользователем, чтобы оставить комментарий
Создать аккаунт
Зарегистрируйте новый аккаунт в нашем сообществе. Это очень просто!
Регистрация нового пользователяВойти
Уже есть аккаунт? Войти в систему.
Войти