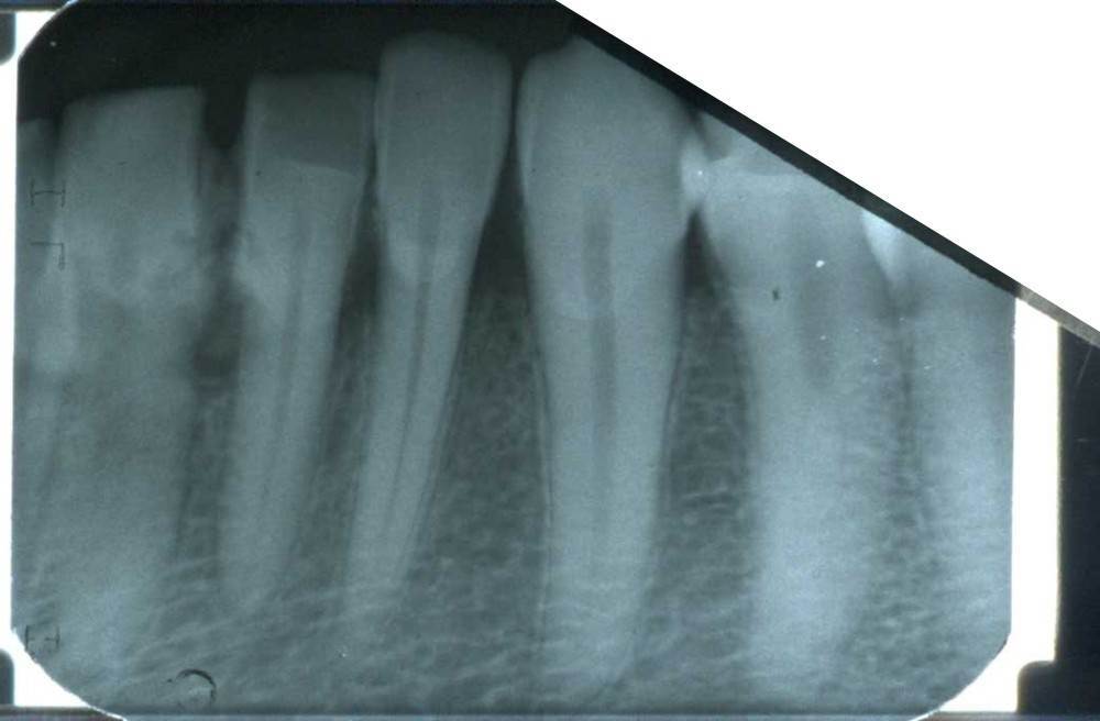
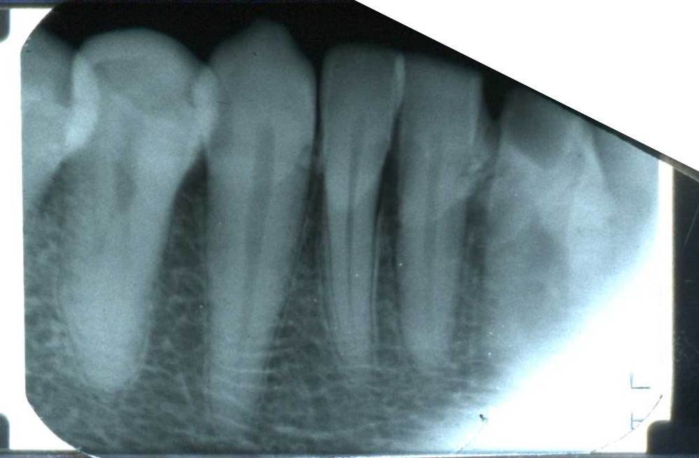
Sergey-010101 Опубликовано 5 октября, 2025 Поделиться Опубликовано 5 октября, 2025 (изменено) Здравствуйте. У меня на нескольких передних зубах большие камни, рецессия десны, на миллиметров 5-6 камень опускается спереди и сзади зуба. В одной стоматологии предложили чистку ручными инструментами. В другой аппаратом Вектор. Что являет более безопасным для чистки камней на корнях? Какой вариант выбрать? Вектор вроде ультразвук использует. А пишут что ультразвуком камни на корнях вредно чистить. Есть ли у Вектора какие то варианты? Насадки? Если выбрать этот способ есть моменты которые нужно уточнить? Обратить более подробное внимание. Изменено 5 октября, 2025 пользователем Sergey-010101 Ссылка на комментарий
Sergey-010101 Опубликовано 5 октября, 2025 Автор Поделиться Опубликовано 5 октября, 2025 (изменено) Изменено 5 октября, 2025 пользователем Sergey-010101 Ссылка на комментарий
Sergey-010101 Опубликовано 5 октября, 2025 Автор Поделиться Опубликовано 5 октября, 2025 И что делать если будут шататься потом, чтобы сохранить? Как нарастить десну кость? Немного есть мнения что есть риск потери. Но в целом несколько врачей сказали что могут даже не шататься. Убыль кости есть на 2-3 мм в некоторых местах, но корень более чем на половину в кости. Ссылка на комментарий
Sergey-010101 Опубликовано 5 октября, 2025 Автор Поделиться Опубликовано 5 октября, 2025 (изменено) Изменено 5 октября, 2025 пользователем Sergey-010101 Ссылка на комментарий
АнтонТЛТ Опубликовано 5 октября, 2025 Поделиться Опубликовано 5 октября, 2025 Ультразвуком снимают камни, потом ручными кюретами заполировывают корни. Если зубы будут шататься их шинируют стекловолоконной лентой. После того как десна полностью заживёт, производят оценку рецессий. 1 Ссылка на комментарий
Sergey-010101 Опубликовано 5 октября, 2025 Автор Поделиться Опубликовано 5 октября, 2025 (изменено) 3 часа назад, АнтонТЛТ сказал: Ультразвуком снимают камни, потом ручными кюретами заполировывают корни. А мне сказали что ультразвуком нельзя камни на корнях очищать, вредно для корней. Предложили ручным инструментом, а в другой клинике предложили аппаратом Вектор. Изменено 5 октября, 2025 пользователем Sergey-010101 Ссылка на комментарий
АнтонТЛТ Опубликовано 5 октября, 2025 Поделиться Опубликовано 5 октября, 2025 Елозить ультразвуком по корням не нужно, сбиваются камни, дальше ручными 1 1 Ссылка на комментарий
Sergey-010101 Опубликовано 5 октября, 2025 Автор Поделиться Опубликовано 5 октября, 2025 54 минуты назад, АнтонТЛТ сказал: сбиваются камни, дальше ручными А вы знакомы с аппаратом Вектор? Ссылка на комментарий
АнтонТЛТ Опубликовано 5 октября, 2025 Поделиться Опубликовано 5 октября, 2025 45 минут назад, Sergey-010101 сказал: А вы знакомы с аппаратом Вектор? Да, ещё в 90-х годах появился. По мне так больше маркетинг. Ссылка на комментарий
Рекомендуемые сообщения
Для публикации сообщений создайте учётную запись или авторизуйтесь
Вы должны быть пользователем, чтобы оставить комментарий
Создать аккаунт
Зарегистрируйте новый аккаунт в нашем сообществе. Это очень просто!
Регистрация нового пользователяВойти
Уже есть аккаунт? Войти в систему.
Войти