Перейти к содержанию
Стоматология для всех

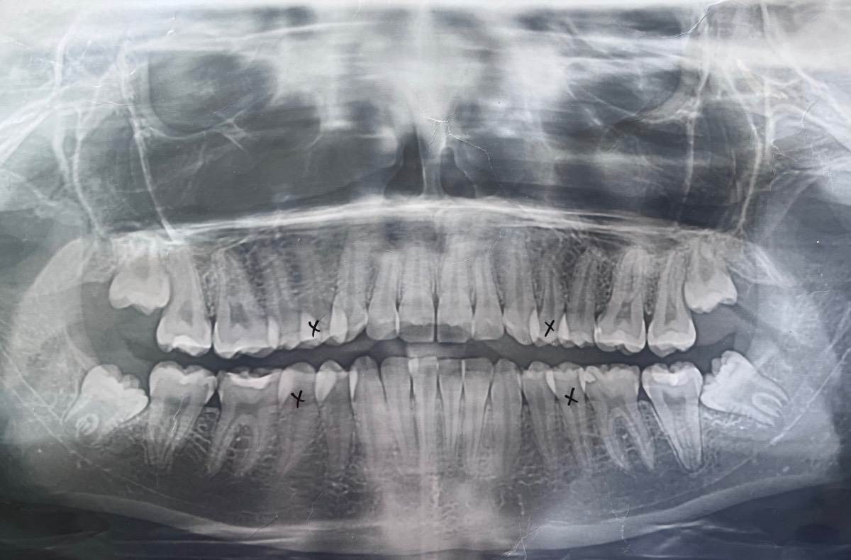
Нужно ли удалять 5-ки перед брекетами?


zuwxc

Рекомендуемые сообщения

Мне 17 лет, я хочу поставить брекеты. У меня на нижней челюсти скученность зубов, на верхней протрузия (зубы передние отклонены вперед на 2-3 градуса). Прикус в норме. Удаляла 1 зуб мудрости внизу, 2 месяца назад, потому что очень давил на зубной ряд, и вот сейчас решила заняться брекетами. Пошла к одному ортодонту - сказал что наверху никакие удалять не надо, они никак не мешают, только нижний зуб мудрости, второй удалить, и то позже. Прихожу к другому ортодонту, говорит что надо удалять 5-ые зубы — 2 сверху, 2 снизу, ибо по другому не исправить ситуацию, без удаления им не будет места и они из кости вылезут просто.. очень нужен совет, какие зубы удалять? Фото снимков и слепков нижеIMG_5334.jpeg.b29acf03abb1dd3861d2f5c50d9defed.jpegIMG_5337.jpeg.05a95352e4a6439f90f8c35cb28336e8.jpegIMG_5338.jpeg.863efa671750d73ce517a3979f6646cb.jpegIMG_5336.jpeg.af01d9033016196d4046949a804ccd63.jpegIMG_5335.jpeg.0f2aaff927e30a409e8f5bb173a1dede.jpeg

Изменено пользователем zuwxc
Ссылка на комментарий

Для публикации сообщений создайте учётную запись или авторизуйтесь

Вы должны быть пользователем, чтобы оставить комментарий

Создать аккаунт

Зарегистрируйте новый аккаунт в нашем сообществе. Это очень просто!

Регистрация нового пользователя

Войти

Уже есть аккаунт? Войти в систему.

Войти
×
×
  • Создать...
Вверх