Перейти к содержанию
Стоматология для всех

Рецессии перед ОРТО, осмотр через 3-4 года. КСЛ и Туннель


Рекомендуемые сообщения

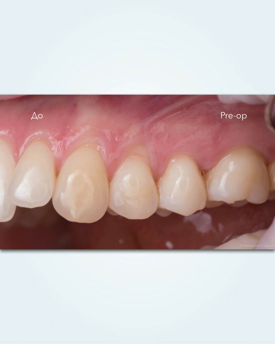
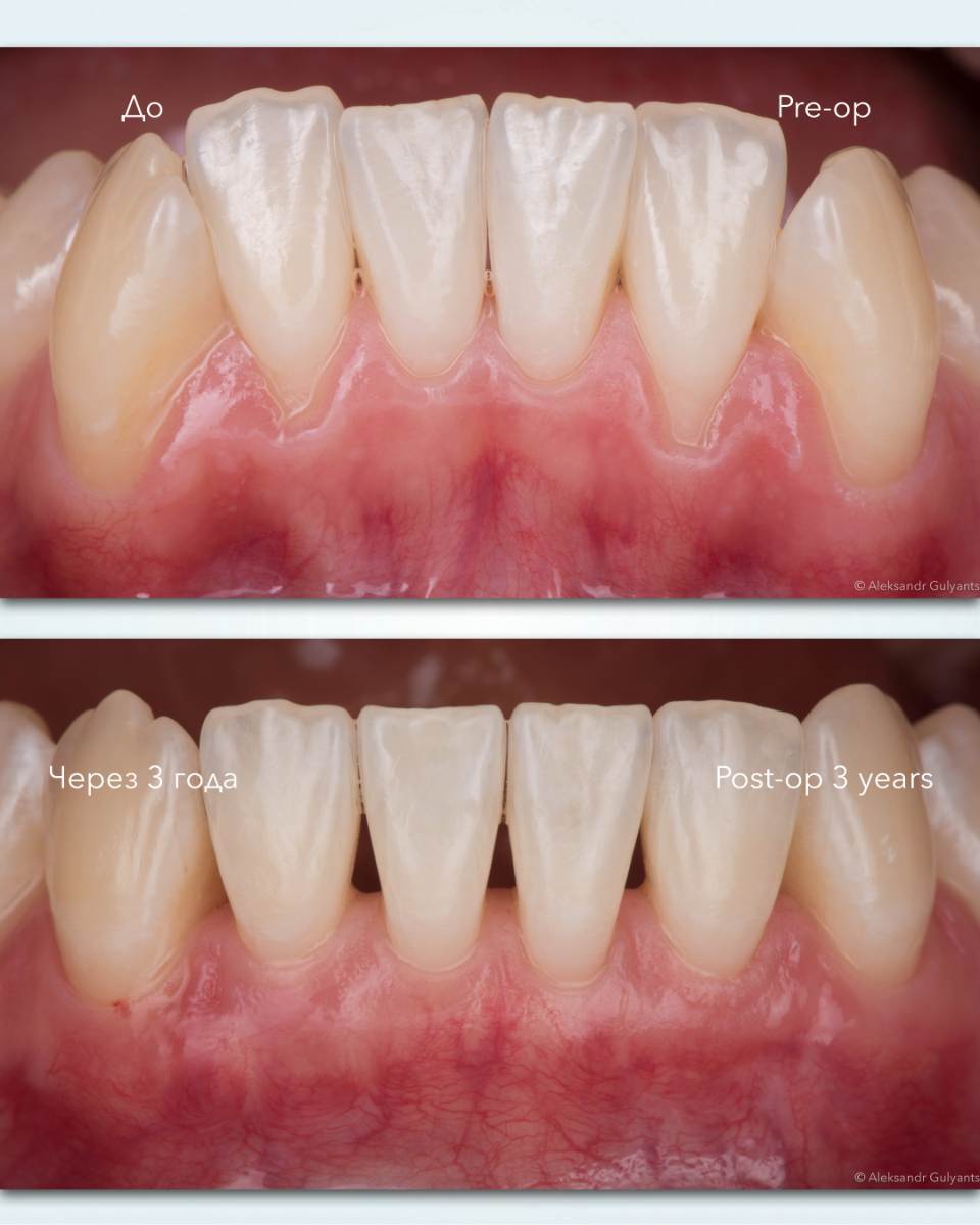
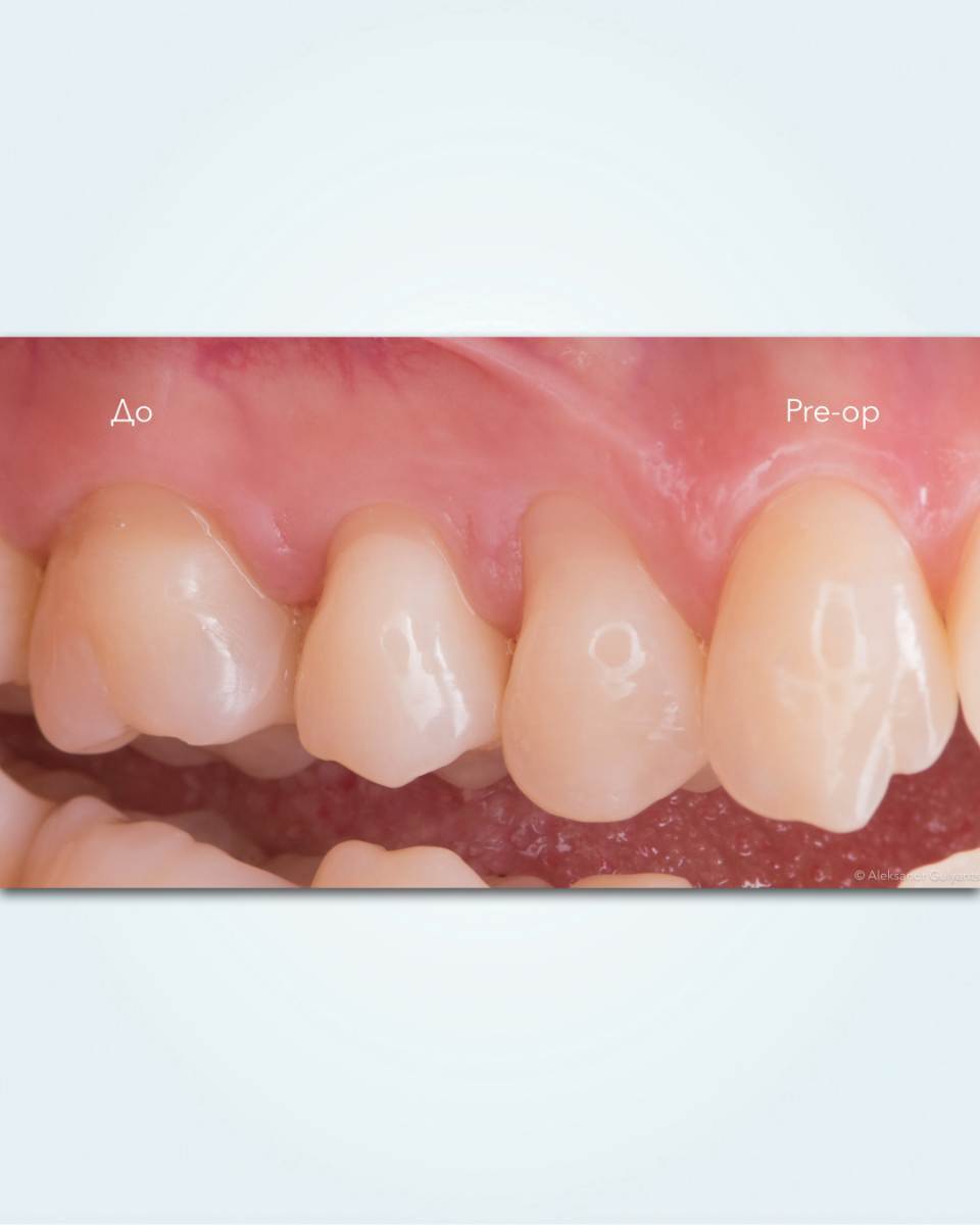
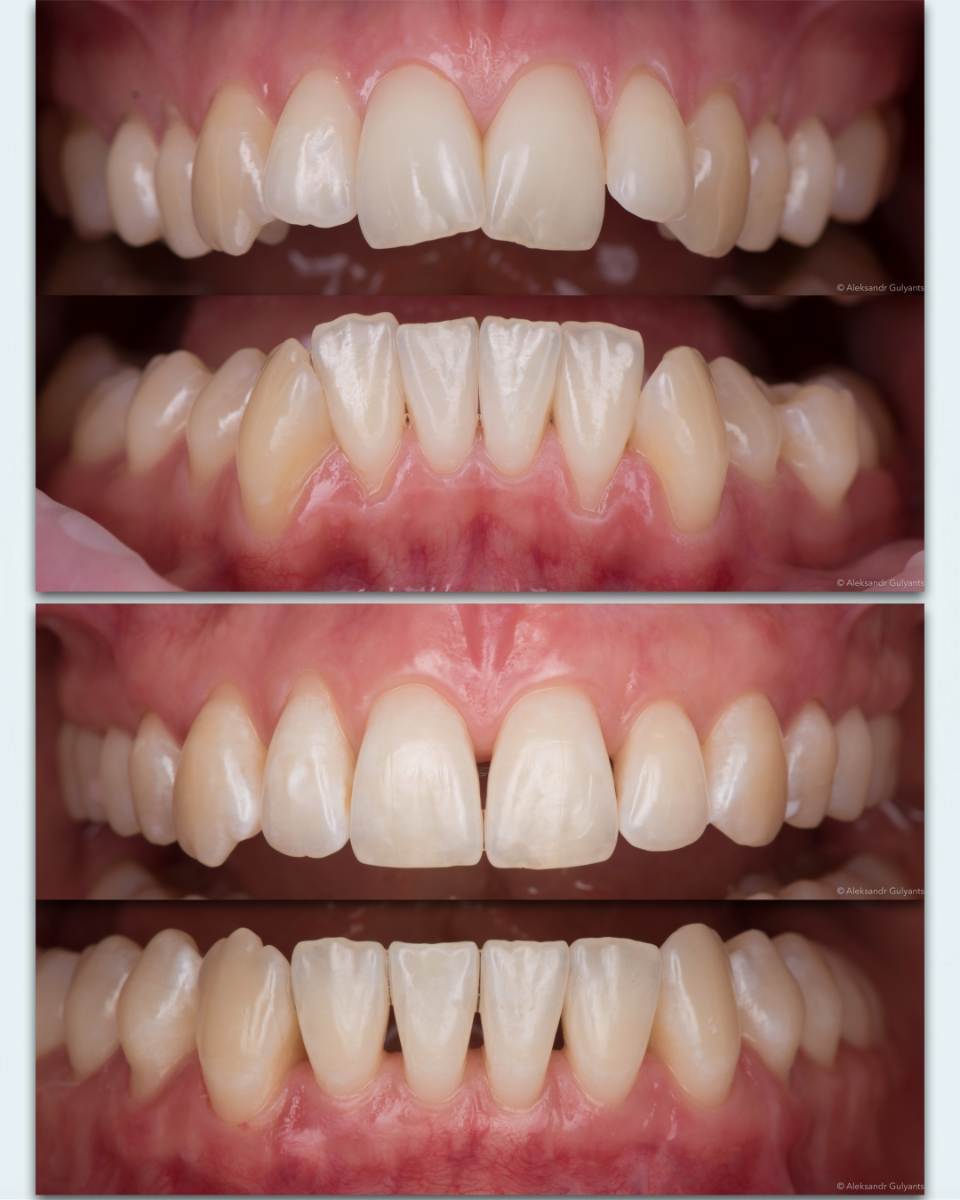
Всем привет. Хирургическая подготовка к ортодонтическому лечению и вид после завершения ортодонтии. 

Ортодонт  - Иван Макаревич

Хирург - Александр Гульянц

-_001.jpeg.7b39f85e0d454bb8866cfdf59100f2c6.jpeg-_002.jpeg.ab574b81e842431f2ccacda1d50f63e8.jpeg-_003.jpeg.5e4fb0d91ccf2a95ac311a19874b4832.jpeg-_004.jpeg.11e6a1118e8199a14419c5256758f8e2.jpeg-_005.jpeg.c2e73efdd5a9f3a907048df3752e8f05.jpeg-_006.jpeg.b3db6fec55157209ec3a9640a4862035.jpeg-_007.jpeg.71e7ffa719332292fa154feb4cbf119a.jpeg-_008.jpeg.8dc24102246f5c296670a1b0a7fb81e7.jpeg-_009.jpeg.79696aad0e2e6467a70a250e211d19ba.jpeg-_010.jpeg.df4bbf56aaadc5b92494f9d428769b2a.jpeg-_011.jpeg.fdffeb5a228670e69ce13c09a5f7316e.jpeg

Жел-ва.002.jpeg

Жел-ва.003.jpeg

Жел-ва.004.jpeg

Жел-ва.005.jpeg

Жел-ва.006.jpeg

Жел-ва.007.jpeg

Жел-ва.008.jpeg

Жел-ва.009.jpeg

Жел-ва.010.jpeg

Жел-ва.011.jpeg

Изменено пользователем stommm
  • Like 4
  • Спасибо 1
Ссылка на комментарий

Здравствуйте. Как у Вас повторные операции проходят по оплате? Гарантии и бесплатные переделки (только расходку считаем) или же медицина-наука сложная, потому деньги не возвращаются?

Ссылка на комментарий
2 часа назад, Женька сказал:

Здравствуйте. Как у Вас повторные операции проходят по оплате? Гарантии и бесплатные переделки (только расходку считаем) или же медицина-наука сложная, потому деньги не возвращаются?

Добрый вечер. Если сразу не получилось, то выписываю только анестезию, швы, оптрагейт. Если получилось ок, но рецидив после орто например или просто спустя длительное время, могу выписать снова (но это индивидуально)

Ссылка на комментарий

Рецессия + трасп (как правило на 1-3, максимум 4 зуба)+ расходка (анестезия, швы и т.п.). Если зубов больше 1, стоимость за каждый меньше чем за 1 одиночную рецессию. 

Ссылка на комментарий

Для публикации сообщений создайте учётную запись или авторизуйтесь

Вы должны быть пользователем, чтобы оставить комментарий

Создать аккаунт

Зарегистрируйте новый аккаунт в нашем сообществе. Это очень просто!

Регистрация нового пользователя

Войти

Уже есть аккаунт? Войти в систему.

Войти
×
×
  • Создать...
Вверх