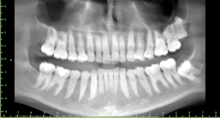
Aristokratka Опубликовано 24 мая, 2025 Поделиться Опубликовано 24 мая, 2025 Записана в зубной только через неделю, была на приеме хотела полечить один жевательный зуб, но врач отправил на КТ. Прошу оценить состояние, чего ожидать (мадам, 34 годика, дважды мама) ? Ссылка на исследование https://disk.picasso-diagnostic.ru/d9c61016-1f1c-4171-ae6d-25aa4e3ec28a/ Заранее благодарю за ответ. Ссылка на комментарий
Женька Опубликовано 25 мая, 2025 Поделиться Опубликовано 25 мая, 2025 Здравствуйте. Да в общем ничего страшного не увидел. Кроме двух кудрявых 8. Нижняя категорически сложная в удалении, на мой взгляд. корни перегибаются через канал нерва нижней челюсти. Я бы рассматривал альтернативы удалению, если вдруг таковое потребуется (коронэктомия, ортоэкструзия на винтах). Верхняя тоже "кудрявая", но такой сложности вроде бы нет. Возможно пломбы заменить, гигиену сделать? Но по снимку этого не оценить никак. Зубы все живые, очагов патологических тоже не нашёл. 2 Ссылка на комментарий
shishok Опубликовано 25 мая, 2025 Поделиться Опубликовано 25 мая, 2025 Есть подозрения на наличие кариозной полости на задней поверхности верхней левой шестёрки. На этом снимке не очень четко видно, можно сделать прицельный снимок. 1 Ссылка на комментарий
Aristokratka Опубликовано 25 мая, 2025 Автор Поделиться Опубликовано 25 мая, 2025 @Женька Благодарю! Да, про восьмерки предупреждена когда удаляла нижнюю правую, тоже была такая... Врач при визуальном осмотре приговорил все верхние под кариес и нижние жевательные. напугал. надеюсь посмотрит и убедится, что не все так жутко @shishok Благодарю за ответ! Надеюсь все обойдется минимальным "лечением") Ссылка на комментарий
Рекомендуемые сообщения
Для публикации сообщений создайте учётную запись или авторизуйтесь
Вы должны быть пользователем, чтобы оставить комментарий
Создать аккаунт
Зарегистрируйте новый аккаунт в нашем сообществе. Это очень просто!
Регистрация нового пользователяВойти
Уже есть аккаунт? Войти в систему.
Войти