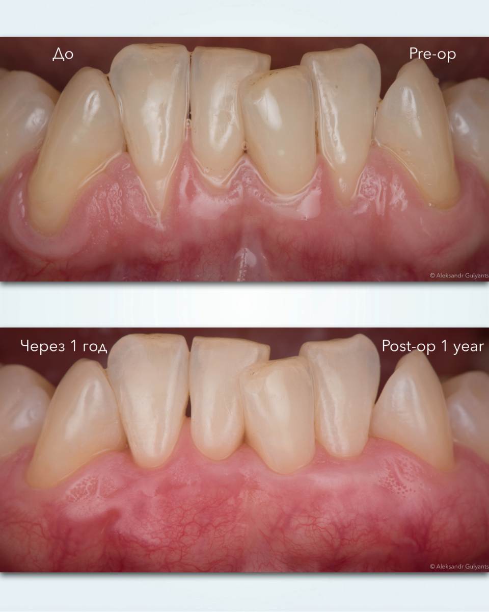
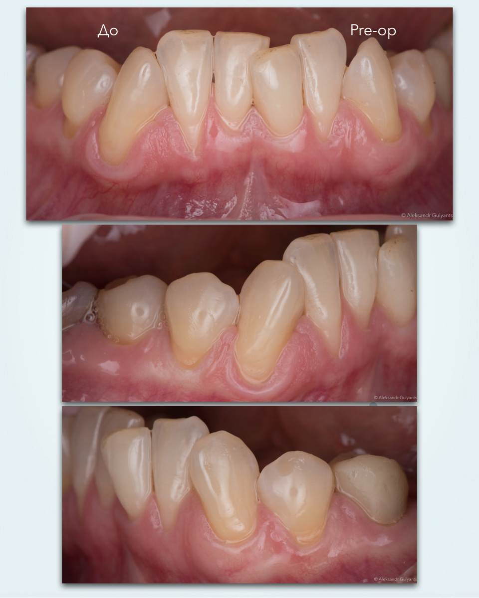
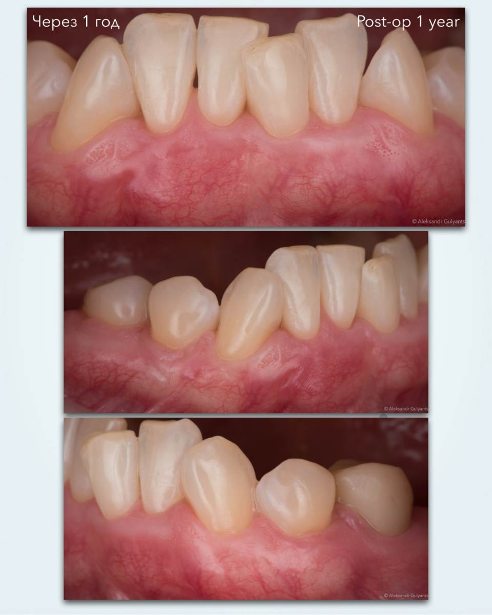
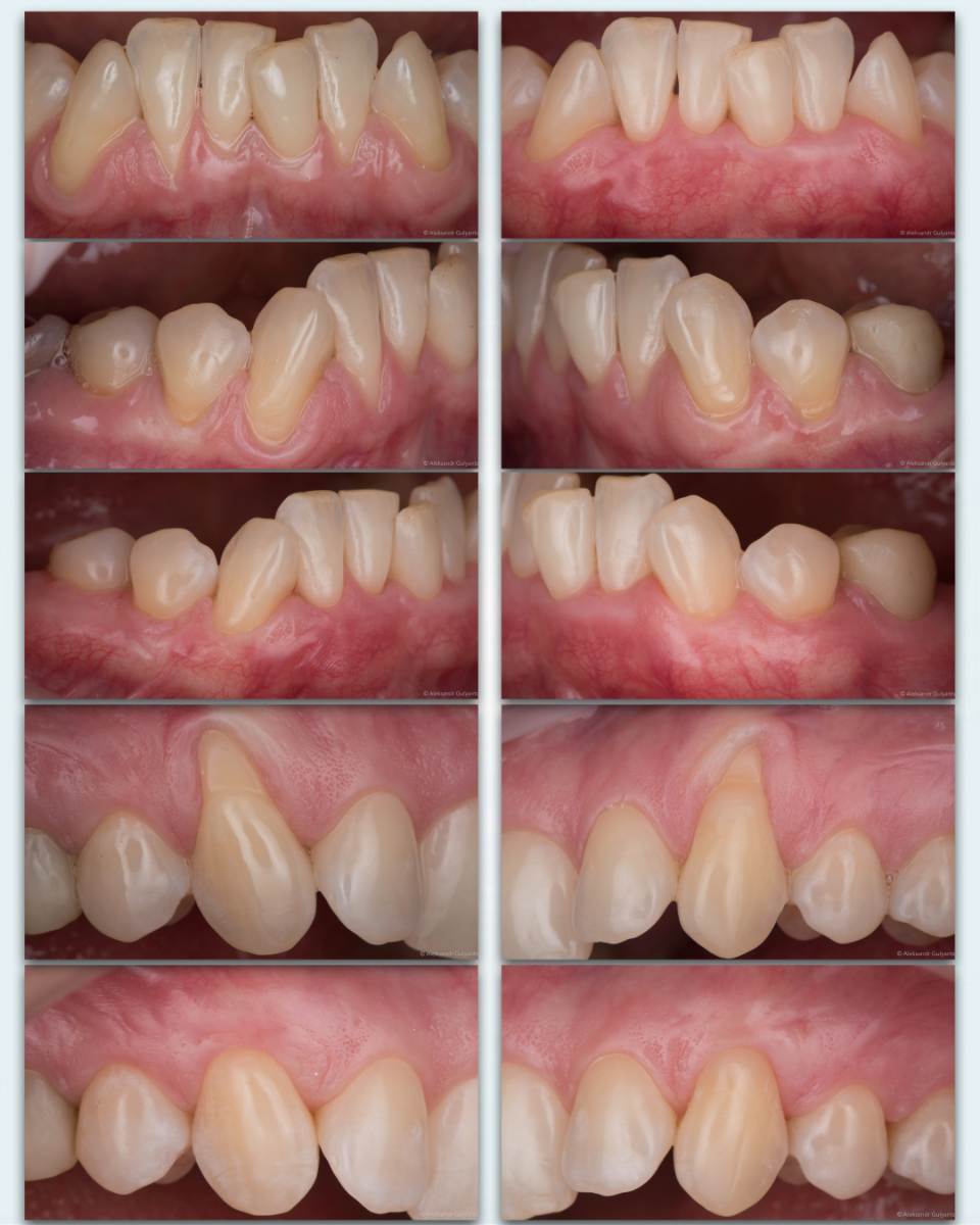
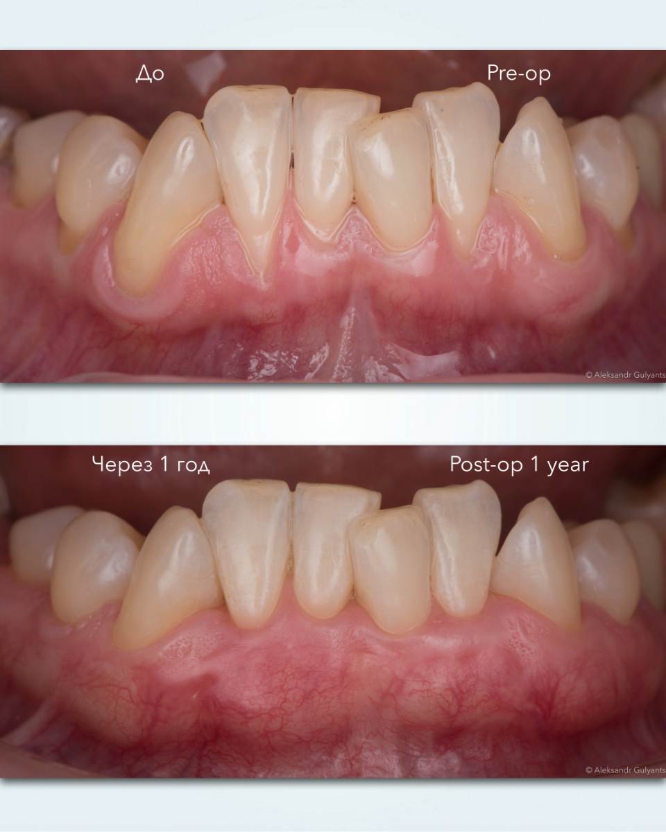
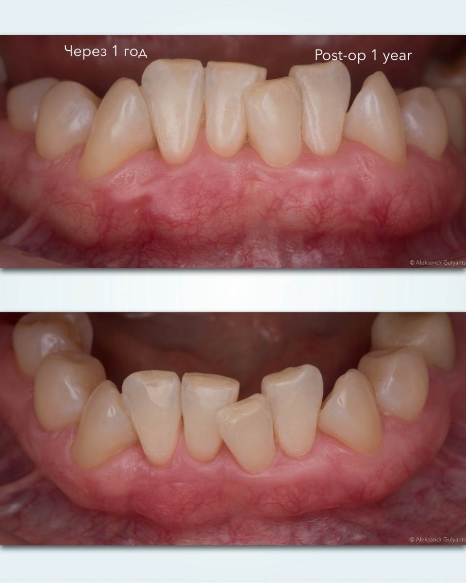
stommm Опубликовано 12 мая, 2025 Поделиться Опубликовано 12 мая, 2025 Всем привет 6 Ссылка на комментарий
Irouil Опубликовано 13 мая, 2025 Поделиться Опубликовано 13 мая, 2025 Ага, значит вопрос о ксл в соседней теме был с подвохом?) Ссылка на комментарий
stommm Опубликовано 13 мая, 2025 Автор Поделиться Опубликовано 13 мая, 2025 Никакого подвоха, просто вопрос на который у меня ответа нет. Как тут сделать нормально ксл на нижних резцах я не знаю. Ссылка на комментарий
Aquarius Опубликовано 13 мая, 2025 Поделиться Опубликовано 13 мая, 2025 Блестящая работа!! Спасибо за кейс Александр, жидкий коффер наносится просто так, без подготовки поверхностей? Бывало, что подобные ретенционные пункты пациенты выносят на раз-два? Винсент вообще пишет, что если 6-0 щёлкает в аппроксималке, то такой контактный пункт можно вообще не связывать композитной точкой и обвязывать подтяжками как есть. Я , честно говоря, после пары негативных случаев , побаиваюсь такого анкоража🫣 Спасибо Ссылка на комментарий
stommm Опубликовано 13 мая, 2025 Автор Поделиться Опубликовано 13 мая, 2025 Спасибо) это не кофер, а композит. Для толстых ниток модет и норм, но я толстыми не работаю) Ссылка на комментарий
Aquarius Опубликовано 13 мая, 2025 Поделиться Опубликовано 13 мая, 2025 Протравка , бонд? Или просто залили как есть? Нитки сверху просто лежат или подливаете к основному композиту как в донорской зоне? Ссылка на комментарий
stommm Опубликовано 13 мая, 2025 Автор Поделиться Опубликовано 13 мая, 2025 Протравка и бонд. Без этого может отклеться раньше времени. Из-за этого можно большую проблему получить. Швы Ронко не приклеиваю к композиту, просто лежат. Ссылка на комментарий
Женька Опубликовано 15 мая, 2025 Поделиться Опубликовано 15 мая, 2025 В 13.05.2025 в 20:50, Aquarius сказал: и обвязывать подтяжками как есть А как обвязать, если они за эти КП как раз и работают как подтяжки? непонятно, написал. Как без КП сделать подтяжки имею ввиду, ведь тогда нитка тупо лежать будет и вверх подтягивать не будет? Ссылка на комментарий
Aquarius Опубликовано 16 мая, 2025 Поделиться Опубликовано 16 мая, 2025 19 часов назад, Женька сказал: А как обвязать, если они за эти КП как раз и работают как подтяжки? непонятно, написал. Как без КП сделать подтяжки имею ввиду, ведь тогда нитка тупо лежать будет и вверх подтягивать не будет? Винсент в своей монографии пишет , что обычный КП способен удерживать нить 6-0 и 7-0 и за такой КП якобы можно подтягивать без какого либо опасения. Типа нитки не проскользнут под КП . Имхо , лучше так не делать , а все таки всегда прибегать к модификациям КП композитом. Ронко советует так делать без протравки ортофосфором и используя самопротравы , но только ( !!!! ) при отсутствии КП как такового. Мое мнение лучше делать всегда, как и автор поста, Александр 1 Ссылка на комментарий
stommm Опубликовано 16 мая, 2025 Автор Поделиться Опубликовано 16 мая, 2025 Я раньше очень много фиксировал швы на композит вестибулярно и использовал самопротравливающий бонд. Чаще всего этого хватало. Для межзубных промежутков в моей практике это работало хуже. Подозреваю что связано с движениями зубов. Были случаи когда изза этого получал большие осложнения и становилось хуже чем было до. Так что сейчас всегда протравка, бонд, цветной композит. Минусы такого варианта: больше времени, более трудоемко и иногда пломбы держатся слишком хорошо. Пара пациентов с некоторыми пломбами гуляли 3 месяца) 1 Ссылка на комментарий
Женька Опубликовано 17 мая, 2025 Поделиться Опубликовано 17 мая, 2025 @stommm как снимаете композит в узких КП? Для меня это прям проблема. И пикой красной, и энхенсом подлезть пытаешься. В итоге штрипса идёт в ход и с эмалью сдирает Ссылка на комментарий
stommm Опубликовано 18 мая, 2025 Автор Поделиться Опубликовано 18 мая, 2025 В 17.05.2025 в 22:16, Женька сказал: @stommm как снимаете композит в узких КП? Для меня это прям проблема. И пикой красной, и энхенсом подлезть пытаешься. В итоге штрипса идёт в ход и с эмалью сдирает Ручным скейлером отковыриваю/ отщелкиваю. Важно не наносить протравку и бонд на апроксималки. Тогда снимаются. Не люблю пилить рядом с раной, а мелкие остатки если что гигиенисты доуберут, им привычнее такое) 2 Ссылка на комментарий
Рекомендуемые сообщения
Для публикации сообщений создайте учётную запись или авторизуйтесь
Вы должны быть пользователем, чтобы оставить комментарий
Создать аккаунт
Зарегистрируйте новый аккаунт в нашем сообществе. Это очень просто!
Регистрация нового пользователяВойти
Уже есть аккаунт? Войти в систему.
Войти