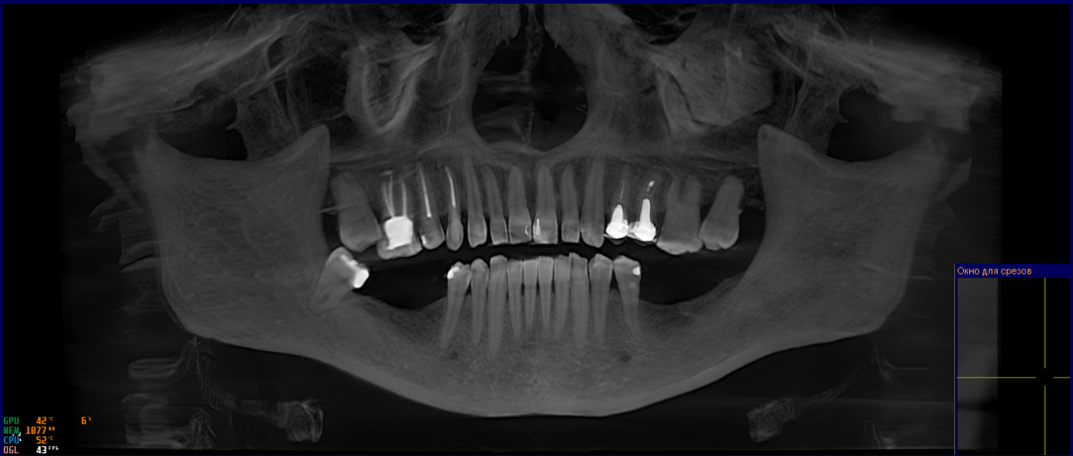
angryberry Опубликовано 4 марта, 2025 Поделиться Опубликовано 4 марта, 2025 (изменено) Здравствуйте! Прошу консультацию для моей мамы (маме 52 года). Планируется имплантация 36, 37, 46, 47. 37 удален в апреле 2024 г., 36, 46, 47 – более 20 лет назад. Мама сходила на консультацию к трем хирургам, их мнения следующие: Хирург №1: не смотрел полость рта и КТ, смотрел распечатку ортопантомограммы. Сказал, что поставит 36, 37 сначала, через полгода – 46, 47. Сказал, что не надо делать пластику десны, возможно, понадобится наращивание костной ткани со стороны 46, 47, а для 36, 37 костной ткани хватает. Хирург №2: не смотрел полость рта, но посмотрел КТ. Сказал, что поставит импланты Премиум, так как они короткие, у них широкая поверхность. Именно такие потому, что не хватает костной ткани с обеих сторон, а также близко расположен нерв. Сказал, что поставит 36, 37 сначала, потом – 46, 47. Не надо делать пластику десны. Хирург №3: посмотрел и полость рта, и КТ. Сказал, что поставит сначала 36, 37, и нужна будет пластика десны, а потом поставит 46, 47, возможно, пластика десны не нужна будет. Доктор сомневается, что сможет поставить коронку на 37, так как мало места, назначена консультация стоматолога-ортопеда. Вопросы следующие: Действительно ли есть возможность повреждения нерва из-за близкого расположения? Необходимо ли наращивание костной ткани? Где? Необходима ли пластика десны? Где? Какой из предложенных планов наиболее корректный с учетом объективных данных? После имплантации одной стороны как долго можно повременить с имплантацией другой стороны? (Вопрос исключительно финансовый) Есть ли еще какие-то нюансы, которые ни один из врачей не озвучил, но о которых маме, как пациенту, нужно знать? Я пыталась сделать скрины КТ, но, к сожалению, ни на одном компьютере не получилось открыть диск, так что прилагаю ссылку на заархивированное содержимое диска. Пожалуйста, не пройдите мимо! Мы живем в Витебске, в теме про докторов не нашла ничего про свой город, так что надежда на вас, уважаемые доктора. Если нужны дополнительные данные, я предоставлю. https://transfiles.ru/m449w Изменено 4 марта, 2025 пользователем angryberry Ссылка на комментарий
angryberry Опубликовано 5 марта, 2025 Автор Поделиться Опубликовано 5 марта, 2025 Сегодня состоялась консультация стоматолога-ортопеда (работает в той же клинике, что и хирург №3). Он сказал следующее: если ставить 37 зуб, то только по хирургическому шаблону, потому что места мало и можно ошибиться в позиции. Но, по его мнению, достаточно будет и 36. Таким образом, подразумевается имплантация 36, 46 и 47. Вопрос: действительно ли можно обойтись без 37? Не будет ли какой-то неправильной нагрузки из-за того, что отсутствует 37? Единственное, что есть свой 38, то есть он, получается, возьмет на себя нагрузку вместо 37, верно? Ссылка на комментарий
Женька Опубликовано 5 марта, 2025 Поделиться Опубликовано 5 марта, 2025 (изменено) Я за удаление 4.8, имплантацию 4.7-4.6, 3.6-3.7 Зубы 7 на верхней челюсти есть, значит и антагонисты им нужны. Шаблон можно сделать, лишним не будет, облегчит работу врача. Но при должном опыте и без шаблона можно поставить. Без снимков или осмотра в полости рта - это просто мнение из интернета. Плюс интрузию в 1 сегменте запланировать. Ортопед должен об этом был сказать. Изменено 5 марта, 2025 пользователем Женька 1 Ссылка на комментарий
angryberry Опубликовано 6 марта, 2025 Автор Поделиться Опубликовано 6 марта, 2025 (изменено) @Женька здравствуйте! Спасибо, что открыли КТ и ответили. 9 часов назад, Женька сказал: Я за удаление 4.8 Зачем? Ни один из врачей не предлагал удаление 48. 9 часов назад, Женька сказал: Без снимков или осмотра в полости рта - это просто мнение из интернета. Могу сфоткать полость рта, если будет информативнее, вы только скажите, как именно и что сфоткать. 9 часов назад, Женька сказал: Плюс интрузию в 1 сегменте запланировать. Ортопед должен об этом был сказать. Не говорил. Я почитала в интернете, судя по всему, речь идет о брекетах? К сожалению, на это нет финансов... Что будет, если не провести интрузию 1 сегмента? (Кстати, 1 сегмент - это область каких зубов?) И еще доп. вопрос: как вы считаете, можно ли обойтись в принципе без 37? С вашим доводом об антагонисте я согласна, но, честно говоря, финансовый вопрос тоже решает. Изменено 6 марта, 2025 пользователем angryberry Ссылка на комментарий
red_butler Опубликовано 6 марта, 2025 Поделиться Опубликовано 6 марта, 2025 35 минут назад, angryberry сказал: Зачем? Ни один из врачей не предлагал удаление 48. Здравствуйте, по причине наклона, пародантального кармана, отсутствия антогониста 37 минут назад, angryberry сказал: Могу сфоткать полость рта, если будет информативнее, вы только скажите, как именно и что сфоткать. Фото улыбки Фото с сомкнутыми зубами (сомкнуть все зубы) спереди, справа и слева. На фото справа и слева должны быть видны зубы от центрального резца до шестого. Фото лица в фас и профиль. Условия: зубы плотно сжаты как всегда (не выдвигая вперед), губы максимально расслаблены, голова и шея также расслаблены, взгляд ПРЯМО перед собой в зеркало или бесконечность. 37 минут назад, angryberry сказал: Не говорил. Я почитала в интернете, судя по всему, речь идет о брекетах? К сожалению, на это нет финансов... Что будет, если не провести интрузию 1 сегмента? (Кстати, 1 сегмент - это область каких зубов?) на обязательно брекеты, это может быть временная коронка на импланте с завышением, и/или ортоимпланты 1 1 Ссылка на комментарий
angryberry Опубликовано 6 марта, 2025 Автор Поделиться Опубликовано 6 марта, 2025 (изменено) 2 минуты назад, red_butler сказал: Здравствуйте, по причине наклона, пародантального кармана, отсутствия антогониста Здравствуйте! Поняла, спасибо. Фотку сделаю сегодня-завтра. 2 минуты назад, red_butler сказал: на обязательно брекеты, это может быть временная коронка на импланте с завышением, и/или ортоимпланты Спасибо, что обратили внимание на этот момент. А все-таки что там с расположением нерва? Нет ли угрозы задеть его с печальными последствиями? Изменено 6 марта, 2025 пользователем angryberry Ссылка на комментарий
Женька Опубликовано 6 марта, 2025 Поделиться Опубликовано 6 марта, 2025 @angryberry коллега Вам выше уже ответил. Согласен со всем перечисленным. Судя по Вашей аватаре, Вы молоды. Говорить об укороченном зубном ряде, на мой взгляд, можно только в рамках возраста дожития или в рамках работ всё на 4. В Вашем же случае деньги нужно искать. Простите, что так прямо, но это суровая правда. Если хотите, чтобы здоровье челюстно-лицевой области оставалось с Вами подольше. 7 зубы также важны, как и 6-5 и тд. Тем более, условия есть, антагонисты есть. 1 1 Ссылка на комментарий
angryberry Опубликовано 6 марта, 2025 Автор Поделиться Опубликовано 6 марта, 2025 (изменено) 4 минуты назад, Женька сказал: @angryberry коллега Вам выше уже ответил. Согласен со всем перечисленным. Судя по Вашей аватаре, Вы молоды. Говорить об укороченном зубном ряде, на мой взгляд, можно только в рамках возраста дожития или в рамках работ всё на 4. В Вашем же случае деньги нужно искать. Простите, что так прямо, но это суровая правда. Если хотите, чтобы здоровье челюстно-лицевой области оставалось с Вами подольше. 7 зубы также важны, как и 6-5 и тд. Тем более, условия есть, антагонисты есть. Речь не обо мне, а моей маме, имплантируется она, но я вас услышала и полностью согласна, относительно себя я так и поступила, когда нужна была имплантация. К сожалению, старших родственников уговорить бывает непросто, надеюсь, ваши аргументы будут приняты во внимание и ею, и врачом. Фотки полости рта будут завтра, надеюсь, не оставите нас мамой без комментов) Изменено 6 марта, 2025 пользователем angryberry Ссылка на комментарий
Женька Опубликовано 6 марта, 2025 Поделиться Опубликовано 6 марта, 2025 @angryberryуф, упустил из виду. В любом случае, я за восстановление в полной мере. Не будет 7, верхние 7 поползут вниз (что уже случилось в области верхних правых зубов (во рту, не на снимке). Доползут до окклюзионного блока - придётся удалять. 1 Ссылка на комментарий
angryberry Опубликовано 6 марта, 2025 Автор Поделиться Опубликовано 6 марта, 2025 @Женька а что такое окклюзионный блок? Ссылка на комментарий
Женька Опубликовано 6 марта, 2025 Поделиться Опубликовано 6 марта, 2025 @angryberry когда один из зубов сверху или снизу становится препятствие для нормального движения нижней челюсти. Приводить может к дисфункциям в суставе. Ссылка на комментарий
angryberry Опубликовано 6 марта, 2025 Автор Поделиться Опубликовано 6 марта, 2025 Только что, Женька сказал: @angryberry когда один из зубов сверху или снизу становится препятствие для нормального движения нижней челюсти. Приводить может к дисфункциям в суставе. Спасибо! Вы, конечно, правы. Ссылка на комментарий
angryberry Опубликовано 7 марта, 2025 Автор Поделиться Опубликовано 7 марта, 2025 Здравствуйте, вот фото. Еще вспомнили кое-что важное: во время консультации ортопеды предложили варианты с опустившимися зубами (была консультация у 2 ортопедов). Один сказал, что 6-ку, где 48, придется подпиливать, чтобы не было замка прижимания (так и сказал, это дословно). Слева "более-менее живые, но тоже, скорее всего, придется подпиливать, они опустились тоже, но не критично, но будьте готовы, что надо будет подпиливать". Ортопед из клиники, где хирург №3, сказал, что надо будет 6-ку подшлифовывать. Короче говоря, они предлагают подшлифовывать / подпиливать опустившиеся зубы. Как вы на это смотрите? Ссылка на комментарий
Женька Опубликовано 7 марта, 2025 Поделиться Опубликовано 7 марта, 2025 18 минут назад, angryberry сказал: Как вы на это смотрите? Нормально. Но зависит от степени необходимого "спиливания" зуба. Если спиливать нужно много, то я бы шёл по пути ортоимплантов и интрузии, как писал выше коллега. НО! с другой стороны, зубы справа уже депульпированы, требуют покрытия коронками, значит можно и подшлифовать. Слева действительно живые, по снимку. Поэтому лучше их не трогать, на мой взгляд лишний раз. Замок прижимания... доктор как раз видимо имел ввиду окклюзионный блок. Снизу, по моему мнению, без десневых пластик особо не обойтись. Ссылка на комментарий
angryberry Опубликовано 7 марта, 2025 Автор Поделиться Опубликовано 7 марта, 2025 (изменено) 15 минут назад, Женька сказал: Нормально. Но зависит от степени необходимого "спиливания" зуба. Если спиливать нужно много, то я бы шёл по пути ортоимплантов и интрузии, как писал выше коллега. НО! с другой стороны, зубы справа уже депульпированы, требуют покрытия коронками, значит можно и подшлифовать. Слева действительно живые, по снимку. Поэтому лучше их не трогать, на мой взгляд лишний раз. Замок прижимания... доктор как раз видимо имел ввиду окклюзионный блок. Снизу, по моему мнению, без десневых пластик особо не обойтись. Спасибо большое! Постараемся прорваться к ортопеду, поговорим с ним обязательно. Мама настроена ставить обе семёрки. На какой стороне лучше сначала импланты поставить: слева, справа или не имеет значения? И можно ли ставить по одному импланту? Допустим, сначала 36, потом 37 и так далее. Изменено 7 марта, 2025 пользователем angryberry Ссылка на комментарий
angryberry Опубликовано 9 марта, 2025 Автор Поделиться Опубликовано 9 марта, 2025 Здравствуйте, уважаемые врачи. Дайте, пожалуйста, ответ на вопрос выше, если не затруднит. Ссылка на комментарий
Женька Опубликовано 9 марта, 2025 Поделиться Опубликовано 9 марта, 2025 В 07.03.2025 в 23:33, angryberry сказал: Мама настроена ставить обе семёрки. На какой стороне лучше сначала импланты поставить: слева, справа или не имеет значения? И можно ли ставить по одному импланту? Допустим, сначала 36, потом 37 и так далее. Здравствуйте. Лучше сразу ставить 6 и 7, сторона разницы не имеет. Справа можно ещё и удаление 48 сразу запланировать в один визит. Почему лучше сразу оба: лучше один раз разрезать ткани, один раз перенести операцию по имплантации, один раз пересадить ткани десны. Чем делать это 2 раза (или 4, если взять обе стороны). Чем меньшее количество раз ткани разрезаются - тем лучше заживление и дальнейшее питание этих тканей. Ну и частый миф, что ставить сразу 2-3-5-n количество больнее, чем 1. Также и с удалением. Ссылка на комментарий
angryberry Опубликовано 9 марта, 2025 Автор Поделиться Опубликовано 9 марта, 2025 2 минуты назад, Женька сказал: Здравствуйте. Лучше сразу ставить 6 и 7, сторона разницы не имеет. Справа можно ещё и удаление 48 сразу запланировать в один визит. Почему лучше сразу оба: лучше один раз разрезать ткани, один раз перенести операцию по имплантации, один раз пересадить ткани десны. Чем делать это 2 раза (или 4, если взять обе стороны). Чем меньшее количество раз ткани разрезаются - тем лучше заживление и дальнейшее питание этих тканей. Ну и частый миф, что ставить сразу 2-3-5-n количество больнее, чем 1. Также и с удалением. Очень четко и подробно, спасибо! Ссылка на комментарий
Рекомендуемые сообщения
Для публикации сообщений создайте учётную запись или авторизуйтесь
Вы должны быть пользователем, чтобы оставить комментарий
Создать аккаунт
Зарегистрируйте новый аккаунт в нашем сообществе. Это очень просто!
Регистрация нового пользователяВойти
Уже есть аккаунт? Войти в систему.
Войти