Женька Опубликовано 22 февраля, 2025 Поделиться Опубликовано 22 февраля, 2025 Здравствуйте. По мне так вообще снизу проблем нет. Я бы туннель сделал, преддверие благодаря пластике вполне позволяет. Есть кейс с более мелким преддверием. Швы снял на той неделе, пока всё выглядит неплохо. Если интересно, тоже скину. По поводу "безнадкостничного" лоскута. Надкостница куда делась не пойму? Она же всегда будет на кости? Ссылка на комментарий
Тимур86 Опубликовано 22 февраля, 2025 Автор Поделиться Опубликовано 22 февраля, 2025 Скидывайте конечно! Суть вестибулопластики по Эдлану в смещении апикально надкостницы и укладывания слизистой на голую кость. Всё что выше рубца-без надкостницы. Ссылка на комментарий
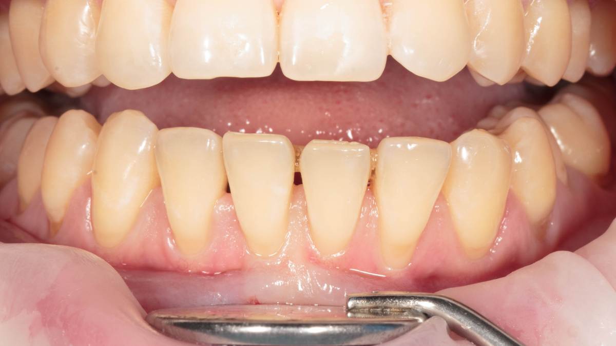
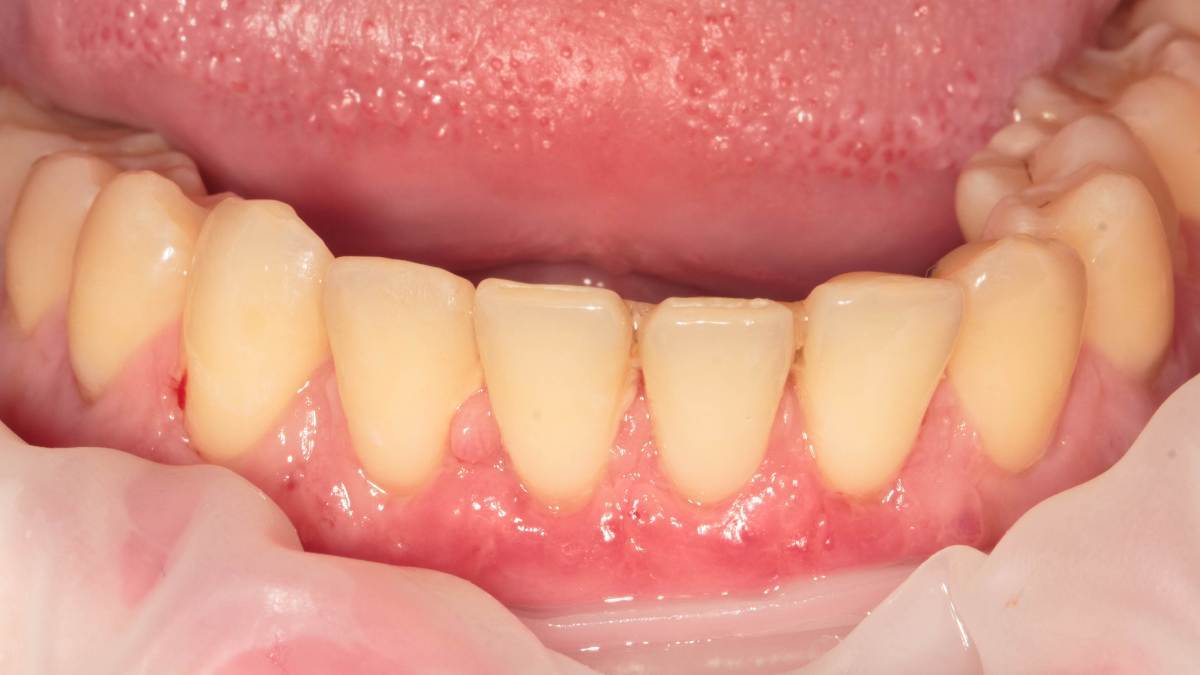
Женька Опубликовано 22 февраля, 2025 Поделиться Опубликовано 22 февраля, 2025 Тем не менее, мне кажется, что надкостница образуется. Но не буду спорить - не знаю наверняка. Кейс вот такой. Ссылка на комментарий
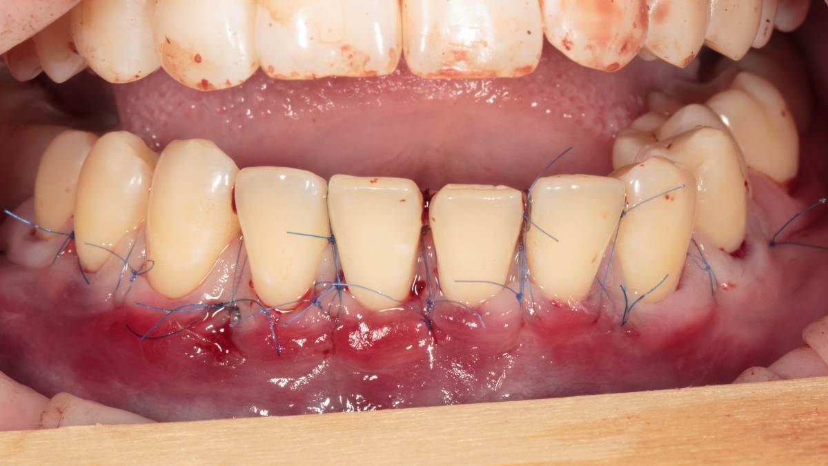
Aquarius Опубликовано 23 февраля, 2025 Поделиться Опубликовано 23 февраля, 2025 (изменено) Жень привет! сработал симпатично, но мое мнение - будет если не фейл, то по крайней мере приличный рецидив. Глубина преддверия не изменилась, натяжение мышц остается таким же. Просто биотип утолщил у шеек. На 41- ом уже наметился откат. Здесь , ИМХО , нужен самый что ни на есть классический Зуккелли. Изменено 23 февраля, 2025 пользователем Aquarius 1 Ссылка на комментарий
stommm Опубликовано 23 февраля, 2025 Поделиться Опубликовано 23 февраля, 2025 Когда сосочки широкие и нет необходимосты в увеличении их высоты, можно и ксл. Считаю что сработать и не сработать может все. На нч делал бы висту с 2 сторон на уровне 32-33 и 42-43 и что бы разрез уходил апекальнее рубца. До уровня рубца полнослойно. Апекальнее от рубца можно и расщепить, но там как пойдет уже. 1 Ссылка на комментарий
Женька Опубликовано 23 февраля, 2025 Поделиться Опубликовано 23 февраля, 2025 @Aquarius безусловно, рецидив будет, соглашусь. Я скорее к тому, что даже с таким преддверием можно работать, может и не закроется на 100% но улучшение точно произойдёт. С вистой скорее всего было бы гораздо лучше, но я пока не уметь) Ссылка на комментарий
Irouil Опубликовано 11 апреля, 2025 Поделиться Опубликовано 11 апреля, 2025 Сейчас спросил у Лоренцо по поводу нашей дискуссии в этой и соседней теме по поводу мышцы и создания предверия. В целом, он считает мышцу не главным ориентиром, важнее апикальная фиксация лоскута к надкостнице, либо на уровне вертикальных разрезов, либо швом Голика (при туннелинге). Но в туннеле он рекомендует пользоваться ШИРОКИМ трансплантом с целью перекрывать им мышцу и предотвратить muscle pull при заживлении 1 Ссылка на комментарий
Женька Опубликовано 11 апреля, 2025 Поделиться Опубликовано 11 апреля, 2025 4 часа назад, Irouil сказал: В целом, он считает мышцу не главным ориентиром, важнее апикальная фиксация лоскута к надкостнице, либо на уровне вертикальных разрезов, либо швом Голика (при туннелинге). Николай, показывайте, что это за зверь, пожалуйста Апикальный шов или шов Голика. Не видел. Ссылка на комментарий
stommm Опубликовано 12 апреля, 2025 Поделиться Опубликовано 12 апреля, 2025 Что за шов Голика и кто такой Лоренцо? Ссылка на комментарий
Aquarius Опубликовано 12 апреля, 2025 Поделиться Опубликовано 12 апреля, 2025 Предположу, что Тавелли. Это Лоренцо. Про шов тоже впервые слышу(((( 1 Ссылка на комментарий
Женька Опубликовано 13 апреля, 2025 Поделиться Опубликовано 13 апреля, 2025 Коллеги, прошло 2 месяца. Немножко рецидив на 3.2 и 3.4. Но разница помоему хорошая. Буду наблюдать дальше. В 2х последних кейсах попробовал швы В. Ронко, очень зашли. Кажется перейду на них полностью с двойного обвивного. Ссылка на комментарий
Irouil Опубликовано 13 апреля, 2025 Поделиться Опубликовано 13 апреля, 2025 Лоренцо Тавелли, да, пародонтологический вундеркинд, автор TCAF (tunneled coronally advanced flap) Про шов Голика вопрос сложнее, мне это имя дал Алехандро Прието, но сам Лоренцо, к примеру, автора этого шва не знает, а имя Голика с этим швом не гуглится. Постараюсь объяснить буквами и картинкой. Шов соединяет лоскут с надкостницей апикальнее транспланта в плоскости поперечной вектору перемещения лоскута (проще говоря - горизонтально) формируя новую муко-гингивальную границу Ссылка на комментарий
Женька Опубликовано 13 апреля, 2025 Поделиться Опубликовано 13 апреля, 2025 @Irouil блин. Я однажды лишь такой использовал. Из-за натяжения получил что-то наподобие рубцовых изменений. В месте входа и выхода нити были рубцы Ссылка на комментарий
stommm Опубликовано 13 апреля, 2025 Поделиться Опубликовано 13 апреля, 2025 8 часов назад, Irouil сказал: Лоренцо Тавелли, да, пародонтологический вундеркинд, автор TCAF (tunneled coronally advanced flap) Про шов Голика вопрос сложнее, мне это имя дал Алехандро Прието, но сам Лоренцо, к примеру, автора этого шва не знает, а имя Голика с этим швом не гуглится. Постараюсь объяснить буквами и картинкой. Шов соединяет лоскут с надкостницей апикальнее транспланта в плоскости поперечной вектору перемещения лоскута (проще говоря - горизонтально) формируя новую муко-гингивальную границу Просто надкостничный апекальный шов ведь, нет? Несколько вариаций есть. Я себе свою придумал, запатентовать что ли))) про ткаф забавно конечно. Ульви Ширналиев недавно выкладывал фото своего кейса и кейса Арслана Амирова. Работы старые, с тех времен когда про ткаф еще никто не слышал ( термин когда появился, кто знает?). Вообще ткаф придумал первый тунелист который порвал сосочек) у меня поначалу много ткафов незапланированных было 9 часов назад, Женька сказал: Коллеги, прошло 2 месяца. Немножко рецидив на 3.2 и 3.4. Но разница помоему хорошая. Буду наблюдать дальше. В 2х последних кейсах попробовал швы В. Ронко, очень зашли. Кажется перейду на них полностью с двойного обвивного. Отлично. Через полгода-год посмотрите ( с даты операции), может еще лучше стать. Ссылка на комментарий
Irouil Опубликовано 14 апреля, 2025 Поделиться Опубликовано 14 апреля, 2025 @stommm так я и написал в начале, что апикальная фиксация к надкостнице тут В 11.04.2025 в 12:46, Irouil сказал: В целом, он считает мышцу не главным ориентиром, важнее апикальная фиксация лоскута к надкостнице, либо на уровне вертикальных разрезов, либо швом Голика (при туннелинге). Ссылка на комментарий
Irouil Опубликовано 14 апреля, 2025 Поделиться Опубликовано 14 апреля, 2025 @stommm 12 часов назад, stommm сказал: про ткаф забавно конечно. Ульви Ширналиев недавно выкладывал фото своего кейса и кейса Арслана Амирова. Работы старые, с тех времен когда про ткаф еще никто не слышал ( термин когда появился, кто знает?). Думаю, что недавно, Лоренцо ещё очень молод. В целом, конечно, ничего не ново под луной, но у него, все же, систематизирован подход к подобному доступу именно с точки зрения показаний. Я уверен, что любой из нас, когда понимает что в определённой области не сдюжит туннельно, откинет лоскут, при этом в остальной операционной области спокойно обойдётся щадящей методикой. Ссылка на комментарий
Irouil Опубликовано 6 мая, 2025 Поделиться Опубликовано 6 мая, 2025 Ну и раз мы в этой теме обсуждаем вопрос надкостничных швов - есть ещё шов Корника (Cornick), вроде та же функция, только наносится матрацно Ссылка на комментарий
Рекомендуемые сообщения
Для публикации сообщений создайте учётную запись или авторизуйтесь
Вы должны быть пользователем, чтобы оставить комментарий
Создать аккаунт
Зарегистрируйте новый аккаунт в нашем сообществе. Это очень просто!
Регистрация нового пользователяВойти
Уже есть аккаунт? Войти в систему.
Войти