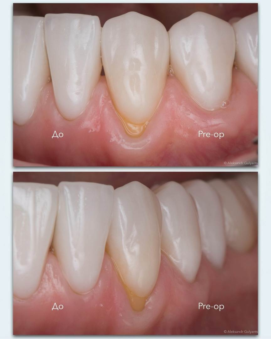
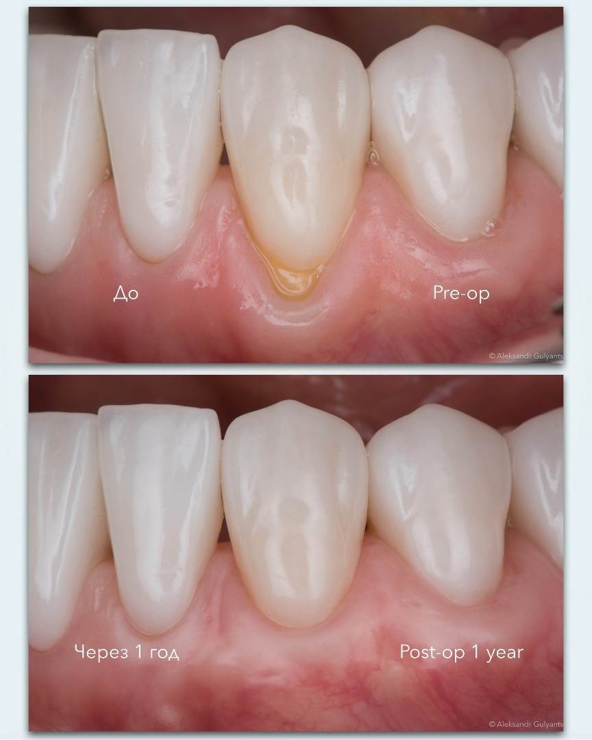
stommm Опубликовано 2 февраля, 2025 Поделиться Опубликовано 2 февраля, 2025 Всем привет. Рецессия 33, вид через 1 год Ортопед Полина Чистякова Ортодонт Дарья Волкова 9 Ссылка на комментарий
сирена Опубликовано 5 февраля, 2025 Поделиться Опубликовано 5 февраля, 2025 А хирург кто?) 1 Ссылка на комментарий
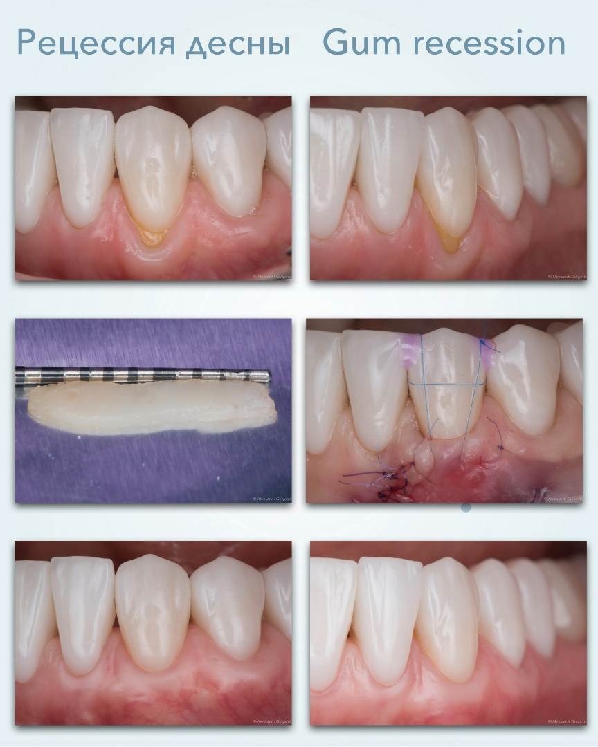
stommm Опубликовано 6 февраля, 2025 Автор Поделиться Опубликовано 6 февраля, 2025 Я😁 1 1 Ссылка на комментарий
kamranchick Опубликовано 21 февраля, 2025 Поделиться Опубликовано 21 февраля, 2025 Фотки Огонь, Где эту методику по Ронко можно изучить? набирает популярность эта методика Ссылка на комментарий
Aquarius Опубликовано 21 февраля, 2025 Поделиться Опубликовано 21 февраля, 2025 Книга - Tunneling. Comprehensive concept in periodontal plastic surgery. Подробно, красочно . По сути все тоже самое что и , к примеру , Скулеан, только наложение швов своеобразное . Надо привыкать. Ссылка на комментарий
stommm Опубликовано 21 февраля, 2025 Автор Поделиться Опубликовано 21 февраля, 2025 5 часов назад, kamranchick сказал: Фотки Огонь, Где эту методику по Ронко можно изучить? набирает популярность эта методика Книга Ронко ( видел только отдельные страницы со схемами оттуда), курс Ронко (группы из РФ тоже возят к нему), курс Ванессы Фражао (этой весной будет в Москве с курсом). Подробно этот шов увидел у нее на курсе и эта работы была одной из первых. Наверное на курсах Анастасии Смоляковой, Ульви Ширналиева эта методика тоже демонстрируется. Ну и можно по картинкам/роликам разобраться)) на самом деле не сложный, но довольно эффективный шов 1 Ссылка на комментарий
Рекомендуемые сообщения
Для публикации сообщений создайте учётную запись или авторизуйтесь
Вы должны быть пользователем, чтобы оставить комментарий
Создать аккаунт
Зарегистрируйте новый аккаунт в нашем сообществе. Это очень просто!
Регистрация нового пользователяВойти
Уже есть аккаунт? Войти в систему.
Войти