Перейти к содержанию
Стоматология для всех

Светлое пятно в кости на КЛКТ


murmuria

Рекомендуемые сообщения

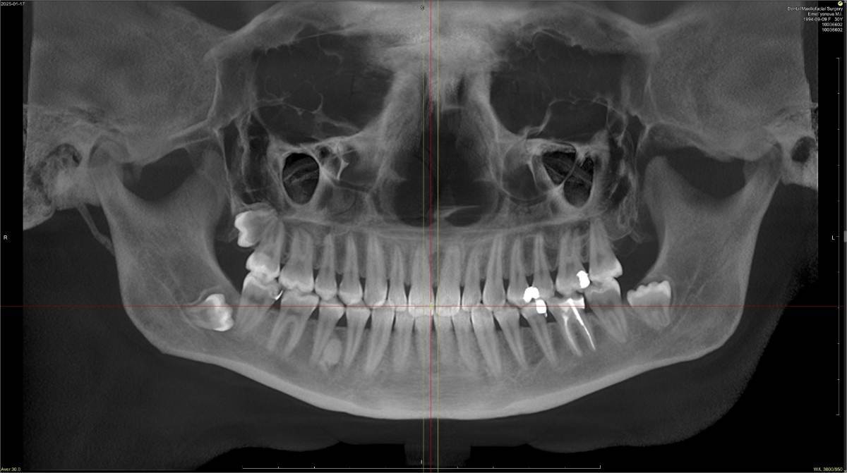
Добрый день!

Делала КЛКТ, на нижней челюсти есть светлое пятно между четверкой и пятеркой. Что это может быть, к какому врачу обращаться?

Снимок прикладываю.EmelyanovaM.I.(1).jpg.0ab2567cc5c805363c85fcc1678b0a68.jpg

Ссылка на комментарий

Здравствуйте. По этому снимку похоже на эностоз. Если это он, то лечения не требует. Лучше выложите архив кт, либо добавьте разных срезов.

  • Like 2
Ссылка на комментарий

Для публикации сообщений создайте учётную запись или авторизуйтесь

Вы должны быть пользователем, чтобы оставить комментарий

Создать аккаунт

Зарегистрируйте новый аккаунт в нашем сообществе. Это очень просто!

Регистрация нового пользователя

Войти

Уже есть аккаунт? Войти в систему.

Войти
×
×
  • Создать...
Вверх