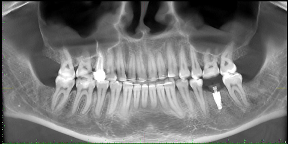
Женька Опубликовано 7 января, 2025 Поделиться Опубликовано 7 января, 2025 Такая вот имплантация получилась. История банальная. ЛКШВ, плохой фит мк-коронки, ортопед с терапевтом ревизируют и отправляют ко мне. Положение фрезы мезио-дистальное неверное. А всё потому, что сам создал себе проблем. Решил вырезать кусочек перегородки и заклинить в области лунки одного и корней (при удалении получил небольшой отлом). Вырезал, заклинил, начал препарировать ложе и понимаю, что первичную стабильность не могу получить... ещё как назло имплантат не тот, что планировал заказали к операции, пришлось брать из бокса более-менее подходящий (вместо 13мм прислали 16, а поставил 10 с чём собственно и связываю низкую стабильность, тк "топить" его для торку не хотелось). В общем пришлось выкручиваться, чуть глубже ложе, чуть другая позиция и торк в 25 всё-таки получен. ССТ с бугра и вид на 7 сутки со швами и без. Красиво получилось вроде) Даже сам доволен 8 2 3 Ссылка на комментарий
Doctor Vlad Опубликовано 1 марта, 2025 Поделиться Опубликовано 1 марта, 2025 Красиво! А часто косточка в таких лунках требуется? И как часто она там кашей лежит? Не обращали внимание? Здесь перегородка мощная, имплант скорее в аутокости находится. А вот когда не полностью и неудача с аугментатом. Сверху губка изолирует от полости рта? И что это за белый формирователь? Ссылка на комментарий
Estes Опубликовано 2 марта, 2025 Поделиться Опубликовано 2 марта, 2025 А для чего шов, который апикальнее расположен? Ссылка на комментарий
Женька Опубликовано 2 марта, 2025 Автор Поделиться Опубликовано 2 марта, 2025 @Doctor Vlad Спасибо! Ну, то что на фотках это же только было-стало) а по факту, первая позиция, она же на фото, была не верная, пересверливался и разбил перегородку. Но торк, тем не менее, получил) Губку не изолировал. Белый формик - это родное решение у Неодент. Формики 5.5 и 7.0 только из PEEK. И мне они нравятся меньше, чем титановые у корейцев, например. @Estes ССТ же подшивал, всё в тексте. Ссылка на комментарий
Женька Опубликовано 8 апреля, 2025 Автор Поделиться Опубликовано 8 апреля, 2025 3 месяца спустя 2 1 1 Ссылка на комментарий
Fin Опубликовано 18 апреля, 2025 Поделиться Опубликовано 18 апреля, 2025 В 02.03.2025 в 16:09, Женька сказал: @Doctor Vlad Спасибо! Ну, то что на фотках это же только было-стало) а по факту, первая позиция, она же на фото, была не верная, пересверливался и разбил перегородку. Но торк, тем не менее, получил) Губку не изолировал. Белый формик - это родное решение у Неодент. Формики 5.5 и 7.0 только из PEEK. И мне они нравятся меньше, чем титановые у корейцев, например. @Estes ССТ же подшивал, всё в тексте. Сейчас у неодента титановые ФДМ есть Ссылка на комментарий
Женька Опубликовано 19 апреля, 2025 Автор Поделиться Опубликовано 19 апреля, 2025 @Fin Да, знаю, уже жду заказ) Ссылка на комментарий
Рекомендуемые сообщения
Для публикации сообщений создайте учётную запись или авторизуйтесь
Вы должны быть пользователем, чтобы оставить комментарий
Создать аккаунт
Зарегистрируйте новый аккаунт в нашем сообществе. Это очень просто!
Регистрация нового пользователяВойти
Уже есть аккаунт? Войти в систему.
Войти