Перейти к содержанию
Стоматология для всех

Странная чувствительность депульп. зуба


Доктор-нос

Рекомендуемые сообщения

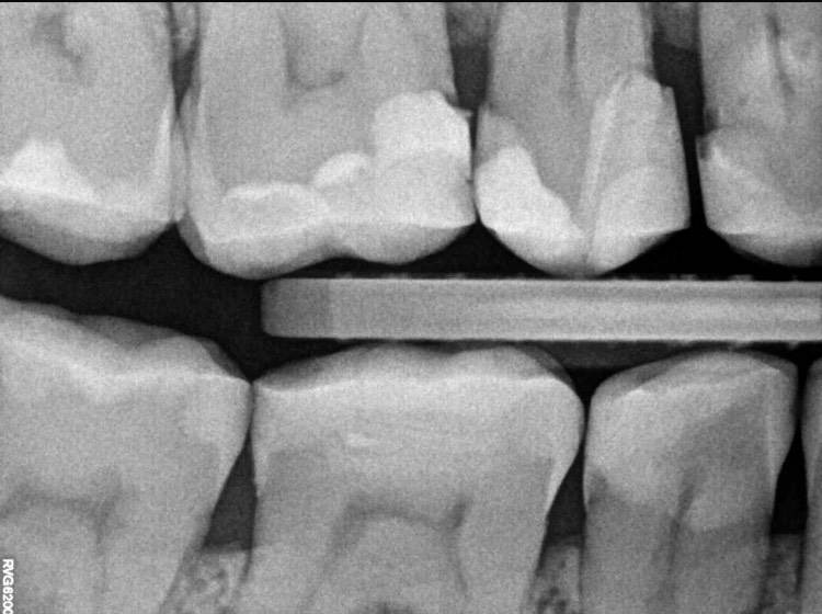
После удаления нервов у зума странная чувствительность когда касаешься наружной стенки водишь по ней ногтем … больновато сравнимо с оголенной шейкой зуба, на других поверхностях зуба норм. Снимки в хронологии прилагаю последний снимок спустя несколько месяцев94B0418C-0671-4347-824E-2BED80137804.jpeg.b4e6cccb387c9e1b58de0eb9e369f2d7.jpeg94B0418C-0671-4347-824E-2BED80137804.jpeg.b4e6cccb387c9e1b58de0eb9e369f2d7.jpeg924477BE-6116-4211-BAB9-431D846594C7.jpeg.8483250f5593afac6ce90d406c59f524.jpeg

BE6F17F7-FA26-4EA5-B179-78BD83766F51.jpeg

98FC6020-AF86-46CA-9AB2-219F1A690184.jpeg

153DF7D0-655B-4DF2-A733-1D22AD3E4606.jpeg

Ссылка на комментарий
Гость
Эта тема закрыта для публикации ответов.
×
×
  • Создать...
Вверх