Перейти к содержанию
Стоматология для всех

Боль в зубе до лечения и после


Sona

Рекомендуемые сообщения

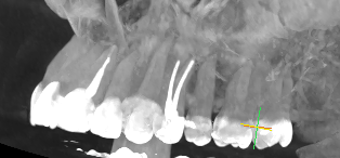
В начале июня возникла боль только при жевании нежесткой пищи в области 24 зуба. 12 июня после проведения предварительного холодового тестирования (реакции практически не было) была снята старая пломба, удален нерв, положено лекарство в каналы и поставлена временная пломба. Через 7 дней боль при жевании сохранялась, я старалась, чтобы пища не попадала на эту область. Боли в покое не было. Я говорила врачу, что болит при жевании по-прежнему, она начала пломбировать каналы и установила постоянную пломбу. Боль никуда так и не делась при жевании. 2 июля сделала КТ. 9 июля врач распломбировала 1 канал, положила туда лекарство, попросила с ней связаться через пару дней и обсудить самочувствие. Боль такая же при жевании, в покое тоже иногда что-то чувствуется. Болевой порог низкий, но не могу назвать ощущение в покое именно болью. Врач говорит о возможной трещине в зубе, вероятно она и дает боль при жевании, рекомендует диагностику на микроскопе, потому что трещины не всегда видны на КТ. Врач уточняет локализацию боли и подозревает, что болит, возможно, 25 зуб. Я кусаю ватную палочку перед зеркалом: при надкусывании палочки под 25 и 24 зубом боли нет, когда палочка находится под 23 и между 23 и 24 боль есть. Скажите, пожалуйста, может ли воспаление или иные проблемы в 24 зубе отдавать в 23?

https://disk.yandex.ru/d/62W-lhiNeutXJA

https://disk.yandex.ru/d/w-WNAS0PNAbv7A

 

Ссылка на комментарий

Для публикации сообщений создайте учётную запись или авторизуйтесь

Вы должны быть пользователем, чтобы оставить комментарий

Создать аккаунт

Зарегистрируйте новый аккаунт в нашем сообществе. Это очень просто!

Регистрация нового пользователя

Войти

Уже есть аккаунт? Войти в систему.

Войти
×
×
  • Создать...
Вверх