Перейти к содержанию
Стоматология для всех

Лечить, или удалять?


Cryotonic

Рекомендуемые сообщения

Добрый день! В данный момент прохожу лечение 46 зуба. Улучшений нет, поэтому возникли сомнения в тактике лечения выбранной моим стоматологом. 

Первое посещение 14.05.2024: 

Предоставил доктору КТ от 04.03.2024(приложено ниже). Доктор посетовала на то, что в 3D не очень умеет, только панорамные снимки. Новый снимок, или КТ не предложила сделать. Вскрыла полость зуба, прочистила каналы, и заложила "Пульпосептин"(с ее слов), закрыв временной пломбой. Пломба была странная шершавая, похожая на высохшую зубную пасту, и за два дня наполовину "сточилась".

Второе посещение 22.05.2024:

Лекарство было извлечено, и каналы запломбированы гуттаперчей. Доктор предупредила, что зуб будет болеть, и прийти я должен после того, как зуб "успокоится", болевые ощущения пропадут. На третий день десна под зубом вспухла, и начала сочиться сукровица. Я решил сделать новое КТ(28.05.2024), и с результатом сходить в другие клиники для консультации. В первой мне сказали, что доктор не должна была начинать лечение, потому, что зуб идет под удаление. Во второй клинике, что попытаться вылечить можно, но изначально были допущены ошибки в лечении, и надо переделывать.

Что-то можно сделать с 46 зубом для сохранения, или он должен быть удален?

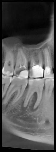
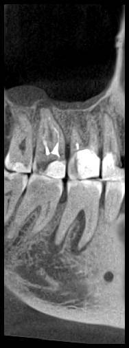
КТ от 04.03.2024

69273_3.jpg.f56a31dc1d8d53085767a9a52915128c.jpg69273_4.jpg.f9ec255bedbdb9fde8159318d3cb1fd9.jpg69273_5.jpg.36a7a942d403dd2eb062e5a4b2b58a52.jpg69273_6.jpg.492d3fbca3808fbdf58c86056b2fe0c3.jpg69273_7.jpg.f9bfdd5d593504dc7bd3710ece18aa4f.jpg69273_8.jpg.853e2342e6f2329a2e89c8939c2aad6f.jpg69273_11.jpg.e495813d50bf007f7165bf5f5dfec4b3.jpg69273_12.jpg.49b3cf66b4dd26b5cd68a91b2684e402.jpg69273_13.jpg.5d61b621b8e8b2c473ad6a8aca42502d.jpg

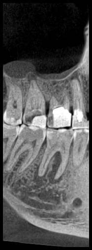
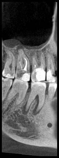
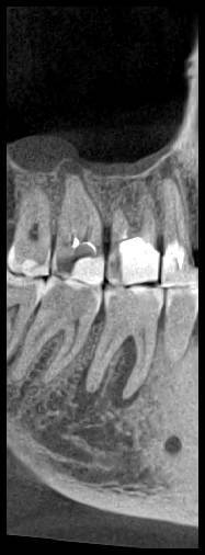
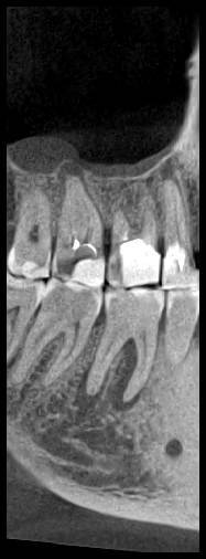
КТ от 28.05.2024

28_05.24(2).jpg.0ffa1febe861106733e1de830afbe6f4.jpg28_05.24-1(2).jpg.9c45d7be16aeed505bd413ce9bc6e69e.jpg28_05.24-2.jpg.a728a7d7e6213c1c8302b43adc89e4d0.jpg28_05.24-4(2).jpg.ac43f3448a3988c7006f74e1d0ce09da.jpg28_05.24-6(2).jpg.dd1fd85c6cc0fcd3d43bd9e71fc0d616.jpg28_05.24-8(2).jpg.885c8cb905445e9308f124fb9e5c616b.jpg28_05.24-9(2).jpg.6cceaaaa1b56d0967482c87b951fbe2d.jpg28.5.24-5(2).jpg.b2d79427a16769c9fd4f0d0911a9db8f.jpg28.5.24-7(2).jpg.f6c17f9820e72dc2708955a65a190b57.jpg28.0524-3(2).jpg.0aa9f153071766a340b428158a94ade8.jpg

Ссылка на комментарий

Для публикации сообщений создайте учётную запись или авторизуйтесь

Вы должны быть пользователем, чтобы оставить комментарий

Создать аккаунт

Зарегистрируйте новый аккаунт в нашем сообществе. Это очень просто!

Регистрация нового пользователя

Войти

Уже есть аккаунт? Войти в систему.

Войти
×
×
  • Создать...
Вверх