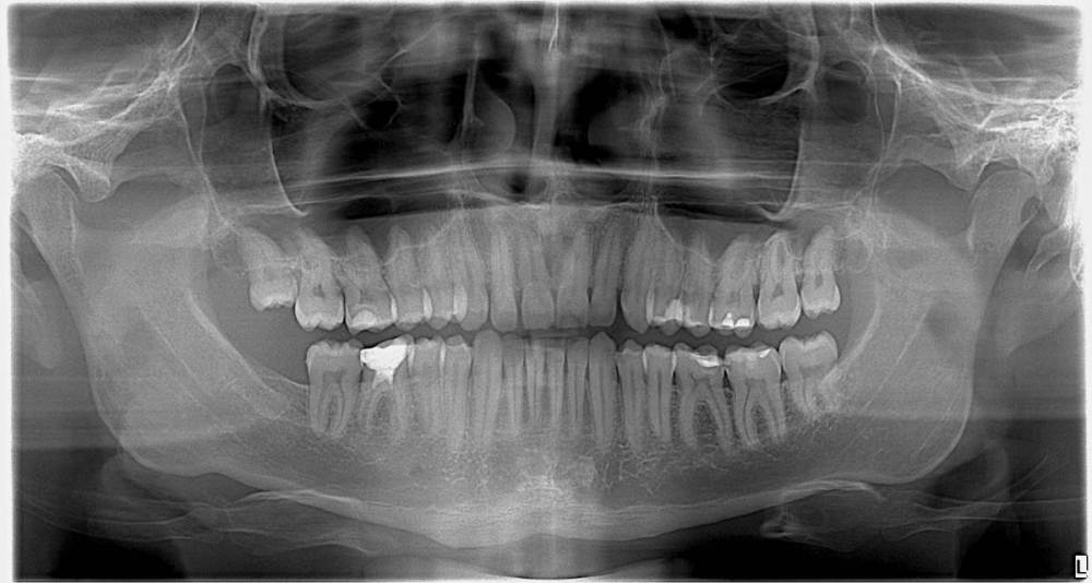
Stomach Опубликовано 11 марта, 2024 Поделиться Опубликовано 11 марта, 2024 Добрый день. 1. Над рогом пульпы 36 зуба тонкая белая полоса - это артефакт или образование вторичного (заместительного) дентина в связи с прогрессированием вторичного кариеса? 2. Есть ли где-то, исходя из представленной ОПТГ, кариозные полости? Благодарю Ссылка на комментарий
red_butler Опубликовано 11 марта, 2024 Поделиться Опубликовано 11 марта, 2024 4 минуты назад, Stomach сказал: . Над рогом пульпы 36 зуба тонкая белая полоса - это артефакт или образование вторичного (заместительного) дентина в связи с прогрессированием вторичного кариеса? артефакт 5 минут назад, Stomach сказал: Есть ли где-то, исходя из представленной ОПТГ, кариозные полости? 3.6 3.7 4.6 периодонтит 1 Ссылка на комментарий
Stomach Опубликовано 11 марта, 2024 Автор Поделиться Опубликовано 11 марта, 2024 55 минут назад, red_butler сказал: артефакт 3.6 3.7 4.6 периодонтит Благодарю за оперативный ответ! А под пломбой зуба 26 тёмная полоса - не начало вторичного кариеса? Ссылка на комментарий
red_butler Опубликовано 11 марта, 2024 Поделиться Опубликовано 11 марта, 2024 9 минут назад, Stomach сказал: Благодарю за оперативный ответ! А под пломбой зуба 26 тёмная полоса - не начало вторичного кариеса? нет 1 Ссылка на комментарий
Stomach Опубликовано 13 марта, 2024 Автор Поделиться Опубликовано 13 марта, 2024 (изменено) 11.03.2024 в 18:09, red_butler сказал: артефакт 3.6 3.7 4.6 периодонтит Благодарю. А в 36 пломбу новую поставить просто или уже ВКЛАДКУ целесообразнее, считаете? Изменено 13 марта, 2024 пользователем Stomach Ссылка на комментарий
Петрович Опубликовано 13 марта, 2024 Поделиться Опубликовано 13 марта, 2024 31 минуту назад, Stomach сказал: целесообразнее зависит от того как мышцы и челюсть работают - как зубы стучат. Ссылка на комментарий
red_butler Опубликовано 14 марта, 2024 Поделиться Опубликовано 14 марта, 2024 18 часов назад, Stomach сказал: Благодарю. А в 36 пломбу новую поставить просто или уже ВКЛАДКУ целесообразнее, считаете? коронку Ссылка на комментарий
Рекомендуемые сообщения
Для публикации сообщений создайте учётную запись или авторизуйтесь
Вы должны быть пользователем, чтобы оставить комментарий
Создать аккаунт
Зарегистрируйте новый аккаунт в нашем сообществе. Это очень просто!
Регистрация нового пользователяВойти
Уже есть аккаунт? Войти в систему.
Войти