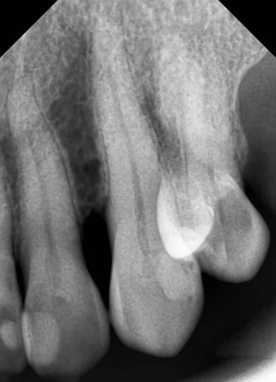
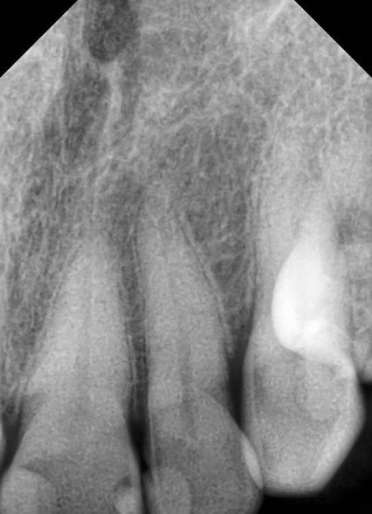
Никка Опубликовано 4 марта, 2024 Поделиться Опубликовано 4 марта, 2024 Здравствуйте! Прошу совета в моей ситуации, благо есть замечательные медицинские ресурсы. Кратко: на десне между 2 и3 верхними 3 недели назад появился отек и покраснение, я посчитала, что проявления гингивита (такое периодически бывало в течение последнего полугода). Полоскания-мазилки не помогли. появился гнойник, который самостоятельно вскрылся через неделю. 2 недели было все ок, сейчас опять ощущение, что начинается - некоторое покраснение, небольшой отек, чувство распирания. Была у терапевта, проверили зубы - живые. Сделан снимок и 3d КТ. На них криминала вроде как не обнаружено. Направили к парадонтологу с целью выяснить, надо ли делать открытый кюретаж. Пока ждала записи, десна стала обычной, кроме ямочки (свищ?) ничего. Сказали, пока делать нет смысла. Но сейчас опять беспокоит. Что вы посоветуете? Прикрепляю фото самого абсцесса в момент пика, снимки. Спасибо! Ссылка на комментарий
shishok Опубликовано 4 марта, 2024 Поделиться Опубликовано 4 марта, 2024 Хорошо бы сделать рентгеновский снимок с гуттаперчевым штифтом в свищевом ходе. Будет более понятно. 3 Ссылка на комментарий
Никка Опубликовано 4 марта, 2024 Автор Поделиться Опубликовано 4 марта, 2024 Спасибо. То есть прицельного и КТ недостаточно? Ссылка на комментарий
red_butler Опубликовано 5 марта, 2024 Поделиться Опубликовано 5 марта, 2024 10 часов назад, Никка сказал: и КТ где Кт? Ссылка на комментарий
Никка Опубликовано 6 марта, 2024 Автор Поделиться Опубликовано 6 марта, 2024 https://disk.picasso-diagnostic.ru/T9HFWkkt2P2fb5q/ КТ Ссылка на комментарий
Никка Опубликовано 12 марта, 2024 Автор Поделиться Опубликовано 12 марта, 2024 Уважаемые модераторы, прошу вас удалить тему. Ссылка на комментарий
red_butler Опубликовано 12 марта, 2024 Поделиться Опубликовано 12 марта, 2024 8 минут назад, Никка сказал: Уважаемые модераторы, прошу вас удалить тему. Здравствуйте, удалять темы нельзя. Я закрою Вашу тему. Ссылка на комментарий
Рекомендуемые сообщения