Перейти к содержанию
Стоматология для всех

Можно ли начинать лечение Invisalign?


chacraborti

Рекомендуемые сообщения

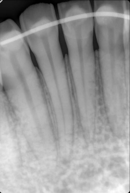
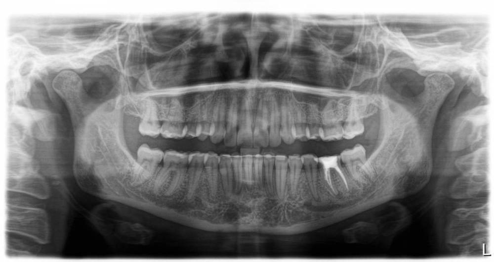
Я сняла брекеты 3,5 года назад. На нижней челюсти был ретейнер, на верхней нет.  Зубы на верхней челюсти сместились, на нижней остались в прежних позициях и зуб двойка снизу справа стал первой точкой контакта челюстей и оказался под большой нагрузкой. Таков был единственый вердикт стоматологов, объясняющий почему эта двойка болит на холодное и горячее. Чтобы избавиться от боли без эндолечения я решила пройти ортодонтическое лечение заново. Выбор пал на Инвизилайн, но несмотря на уже оплаченый план лечения меня терзают сомнения могу ли я с зубом в таком состоянии начинать лечение. Спрашивала можно ли начинать лечить отдельно верх, потом когда уйдет нагрузка с зуба подключить низ. Ортодонт сказала нет, инвизилайн начинают одновременно верх и низ. Вопрос можно ли начинать лечение в таком состоянии двойки? И есть ли альтернативы помочь ситуации без ортодонтии и эндодонтии, мне предлагали подпилить зуб, но я не уверена нормальный ли это выход, не вызовет ли это больших проблем с чувствительностью, не спровоцирует ли отмирание нерва? Состояние 35,36 прошу не комментировать, снимку полгода, с тех пор ситуация с ними изменилась.

6556a0af-5c8c-4dc9-a1fe-9b191bbecec4.jpeg

I0000000 (2).jpeg

Изменено пользователем chacraborti
Ссылка на комментарий

Для публикации сообщений создайте учётную запись или авторизуйтесь

Вы должны быть пользователем, чтобы оставить комментарий

Создать аккаунт

Зарегистрируйте новый аккаунт в нашем сообществе. Это очень просто!

Регистрация нового пользователя

Войти

Уже есть аккаунт? Войти в систему.

Войти
×
×
  • Создать...
Вверх