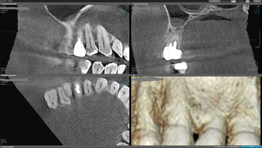
kamacho Опубликовано 15 февраля, 2024 Поделиться Опубликовано 15 февраля, 2024 Уважаемые специалисты. Беспокоит 15 зуб Коронка стоит 2-4 года. Беспокоит переодическая кровь при чистке флосом и иногда неприятный запах между 16 и 15 зубом (как правило ближе к 15ому) Иногда теряю обоняние. Обильный серый налет на языке по утрам. После ирригатора, флоса и тщательной чистки обоняние возращается. В клинике сказали что коронка прилегает хорошо и выступов нету(посещал дважды). Если будет возможность дополню тему прицельными снимками. 1)Скажите пожалуйста, есть ли показания для лечения этого зубика? 2)Могут ли не до конца пролеченные корни вызывать такую симптоматику ? 3)И если да то что лучше сделать? Стоит ли заменить на имплант ? Так же буду очень признателен если кто-то предложит специалиста Москве к которому можно было бы обратиться. Немножко предыстории и описание кт если вам интересно. Корни пломбировали где-то лет 10-15 назад. Сначала закрывали пломбой, которая потемнела. Обратился по поводу эстетики в клинику, терапевт хотела перелечить каналы, но когда сняла пломбу увидела цемент и сказала что не получится. Предложили закрыть коронкой и не трогать. С тех пор обращатся в клиннику дважды с жалобами про кровь и трудность гегиены. Предлагали акуратней пользоватся нитью и чаще следить за гегиеной. 1.5 зуб — депульпирован. Коронковая часть: восстановлена искусственной коронкой. Вариант строения: два корня, два канала. Обтурация: ЩК - установлен штифт на 1⁄2 длины корня, далее канал обтурирован пломбировочным материалом, не доходя до верхушки корня на 2,4 мм. НК - установлен штифт на 1⁄2 длины корня, далее канал обтурирован пломбировочным материалом, не доходя до верхушки корня на 2,9 мм. Периодонтальное пространство: не изменено. Пародонт: без особенностей. Ссылка на комментарий
kamacho Опубликовано 23 февраля, 2024 Автор Поделиться Опубликовано 23 февраля, 2024 (изменено) Для истории. Сходил в клинику на консультацию ортопеда. Тот осмотрел коронки и свежий снимок кт. Сказал что коронки в полном порядке, что на 15 есть небольшой очаг воспаления и что киста в гайморовой пазухе скорей всего из-за него. Но те симптомы которые меня беспокоят наврятли из-за них. Заметил зубной камнеь на передних зубах, темноватое пятно на боку 36 зуба. Отправил к терапевту, открыть пломбу и проверить, нету ли там кариеса(и потенциально на 35 тоже). Жду вторника. Так же хотел сказать что проблема была довольно давно, но почему-то никто из врачей не хотел обращать внимание на 36 зуб, хотя я обращал их внимание на потемнение эмали ни раз. И уже отчаявшись ходить по разным клинникам к стоматологам пошел к гастроинтерологам, тем поставили диагноз - гэрб. Изменено 23 февраля, 2024 пользователем kamacho Ссылка на комментарий
kamacho Опубликовано 24 февраля, 2024 Автор Поделиться Опубликовано 24 февраля, 2024 Попробую привлечь ваше внимание дополнительными снимками. Вопросы которые я себе задаю когда смотрю на КТ: 1) Между 14 и 15 зубом, это убыль фуркации или артефакт при съемке кт ? 2) В районе 37 ого зуба это артефакт или кариес ? Я пытаюсь санировать ротовую полость уже наверное лет пять, и никогда не удается решить проблему. Прошел множество клинник (наверное штук 5-6, включая 1 зарубежную). Но после попыток лечения, возникает одна и таже проблема, как только начинаю добавлять углеводы(не сладости) в рацион, какой-то очаг инфекции дает о себе знать. Буду очень признателен если поможете советом или догадкой. Ссылка на комментарий
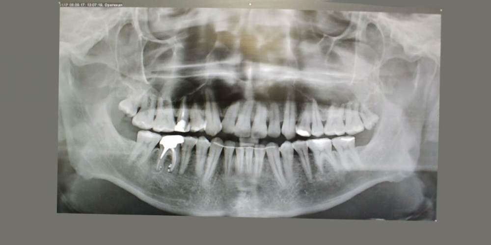
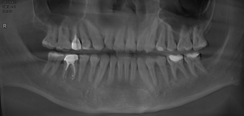
kamacho Опубликовано 24 февраля, 2024 Автор Поделиться Опубликовано 24 февраля, 2024 (изменено) Так же приложу документ-опись риентгенолога по всем зубками с изображениями. снимок был сделан в 22 году. Наврятли кто-либо захочет перечитывать такое количество информации ради развлечения. Но для истории добавлю. Изменено 24 февраля, 2024 пользователем kamacho Ссылка на комментарий
Carioznik Опубликовано 25 февраля, 2024 Поделиться Опубликовано 25 февраля, 2024 15.02.2024 в 18:43, kamacho сказал: есть ли показания для лечения этого зубика? По идее есть, но нужно разбираться 15.02.2024 в 18:43, kamacho сказал: Могут ли не до конца пролеченные корни вызывать такую симптоматику ? Нет 17 часов назад, kamacho сказал: Между 14 и 15 зубом, это убыль фуркации Нет. Похоже, что на 14 есть кариес. Возможно это и причина кровоточивости и запаха. Но нужно смотреть настоящую КТ , а не скрины. 18 часов назад, kamacho сказал: районе 37 ого зуба это артефакт или кариес ? Больше на артефакт похоже, но это не точно: нужно смотреть настоящую КТ , а не скрины 1 Ссылка на комментарий
kamacho Опубликовано 25 февраля, 2024 Автор Поделиться Опубликовано 25 февраля, 2024 @Carioznik Очень вам благодарен! Попрошу моего стомотолога присмотрется повнимательней к 14. Ссылка на комментарий
kamacho Опубликовано 9 марта, 2024 Автор Поделиться Опубликовано 9 марта, 2024 (изменено) Для истории: Опасения по поводу 15 не оправдались. Ортопед отправил на проф чистку и консультацию к терапевту по поводу 36ого. Терапевт сказала что пломбу ставить на 36 не целесообразно и лучше сразу идти к ортопеду чтобы обточил и без депульпации поставил церконивую коронку. Был удвилен что зубки занчительно побелели после проф чистки. Считал что посвещаю гегиене достаточно времени (Чищу зубы в среднем 5-6 минут за чистку. Часто меняю щетку, одновременно пользуюсь щеткой с средней щетиной, мягкой и электронной щеткой, раз в неделю пользуюсь ирригатором, каждый день раза 2-3 пользуюсь нитью(вощщеной ) после чистки. Пасты чередую Biorepair, Paradontax, Crest) Но тем не менее налет таки скопился( Планирую теперь ходить на проф гегиены каждые пол года. Поставил напоминалку. Думаю что я на правильном пути к решению своей проблемы. Спасибо за внимание Изменено 9 марта, 2024 пользователем kamacho Ссылка на комментарий
Doc Опубликовано 9 марта, 2024 Поделиться Опубликовано 9 марта, 2024 Иногда выговориться — уже половина пути к успеху лечения! Надеюсь, что все у Вас получится с таким качественным подходом! 1 1 Ссылка на комментарий
kamacho Опубликовано 26 марта, 2024 Автор Поделиться Опубликовано 26 марта, 2024 Небольшое обновление(боюсь накаркать). Сегодня мой ортопед (которому я считаю очень обязан,до конца моей жизни) обточил 36ой и поставил временную коронку. Десна в последнее время у меня были красные. После того как вернулся из стоматологии за 6 часов десна на нижней челюсти сильно поменяли цвет и стали розовыми. Воспаление уменьшилось. Как и другие симптомы которые меня мучали. Еще одна интересная деталь. В интернете набрел на видео, где доктор квд профиля рассматривал случай где у пациента появились розовые точки на теле. И из этого клинического случая оказалось что у него был пульпит, который он лечил обезболивающими в течении 2 месяцев. После того как была произведена санация больного зуба, дерматологическое противоаллергическое лечение привели к полному выздоровлению больного. Буду надеяться что и в моём случае проявится такой эффект. Отрапортую через неделю. Ссылка на комментарий
kamacho Опубликовано 30 марта, 2024 Автор Поделиться Опубликовано 30 марта, 2024 (изменено) Уважаемые Врачи! Подскажите пожалуйста по 37 и 47 зубику. На них стоят пломбы, думаю лет 5 им уже есть если не больше. Стоит ли заменять эти пломбы ? Когда ем зубы не болят, но с вестибулярной стороны есть белые разводы , похожи на кариес стадии пятна. Зубки реагируют на холодную воду. Надо сказать что до того момента как мне обточили 36 зуб, разница в цвете между пломбами и 37,47 зуба была гораздо более заметная. С тех пор я начал чистить пастой с гидроксиапатитом чуствительность пошла на спад и зубки стали менее прозрачные. И еще интересует ваше мнение по поводу 26ого зубика. Как думаете это кариес или пигментация, стоит ли по поводу этого что-либо делать ? (зуб вроде как не беспокоит, но нада сказать когда у меня был пульпит на 46 я помоему этого тоже не чуствовал, узнал только из-за подготовки к брекетам) Простите за то что задаю вопрос про терапию в ортопедической части форума, просто не хотел плодить темы. Изменено 30 марта, 2024 пользователем kamacho Ссылка на комментарий
kamacho Опубликовано 30 марта, 2024 Автор Поделиться Опубликовано 30 марта, 2024 Позвольте еще один вопрос: Может ли множестенных кариес в стадии пятна давать карозийный привкус при потреблении углеводов типа риса ? Ссылка на комментарий
Carioznik Опубликовано 31 марта, 2024 Поделиться Опубликовано 31 марта, 2024 В 30.03.2024 в 20:25, kamacho сказал: это кариес или пигментаци Больше похоже на струю пломбу, которую уже пора менять. Ps. без осмотра на Ваши вопросы не ответить В 30.03.2024 в 21:23, kamacho сказал: Может ли множестенных кариес в стадии пятна давать карозийный привкус при потреблении углеводов типа риса ? Нет 1 Ссылка на комментарий
kamacho Опубликовано 31 марта, 2024 Автор Поделиться Опубликовано 31 марта, 2024 (изменено) @Carioznik Спасибо большое! 🙏🙏🙏 Меня успокоило что явных проблем по фото не видно. Больше не смею вас беспокоить! Изменено 31 марта, 2024 пользователем kamacho Ссылка на комментарий
kamacho Опубликовано 5 апреля, 2024 Автор Поделиться Опубликовано 5 апреля, 2024 (изменено) В сухом остатке: Очень благодарен своим стоматологам и стоматологам с форума! После установки коронки на 36, дёсна из красного состояния с хорошо видимыми сосудиками стали светло розовыми. Нёбный язычек из воспаленного состояния значительно уменьшился. Небная душка тоже. Зубки с деминерализацией эмали потихоньку становтся менее прозрачными. Кожа из серого песочного цвета становится ближе к нормальному состоянию(аля персик=) и очень упругий ) У меня был атопический дерматит с детства, последние 2 года было обстрение, через неделю после пролеечивания зуба многие очаги начали стихать, думаю что через месяц некоторых из них не станет совсем с такой динамикой. Вернулись все запахи, с языка практически ушёл налёт. Вообщем я счастлив! Спасибо всем что помогли! Надеюсь мои доктора тоже есть на этом форуме. А если нет я так или иначе найду момент чтобы их отблагодарить. Изменено 5 апреля, 2024 пользователем kamacho Ссылка на комментарий
Рекомендуемые сообщения
Для публикации сообщений создайте учётную запись или авторизуйтесь
Вы должны быть пользователем, чтобы оставить комментарий
Создать аккаунт
Зарегистрируйте новый аккаунт в нашем сообществе. Это очень просто!
Регистрация нового пользователяВойти
Уже есть аккаунт? Войти в систему.
Войти