Перейти к содержанию
Стоматология для всех

Откололась пломба


chacraborti

Рекомендуемые сообщения

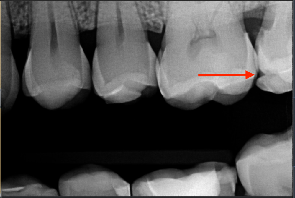
Сегодня на приеме врач заострила внимание на то что у меня откололась пломба, до этого никто мне на это не указывал( бываю у стоматологов +- раз в месяц). Зуб верхняя семерка слева. Пересмотрела старые снимки двухлетней давности, там она в таком же состоянии. Менять или не менять пломбу? Я планирую ортодонтическое лечение и ввиду высокой стоимости замены ретенционной шины хотелось бы в будущем иметь минимальное количество пломб к замене, но с другой стороны превентивно менять пломбу которая не потеряла герметичности тоже не кажется адекватным решением. Возможно ли ее доклеить?
 

DSC06475 copy.jpeg

Screenshot 2024-02-13 at 20.51.21.png

Screenshot 2024-02-13 at 20.47.59.png

Ссылка на комментарий

Здравствуйте, лучше заменить. Скол создал место ретенции пищевых остатков, это рано или поздно приведет к кариесу и/или локальному пародонтиту.

  • Like 1
Ссылка на комментарий

Для публикации сообщений создайте учётную запись или авторизуйтесь

Вы должны быть пользователем, чтобы оставить комментарий

Создать аккаунт

Зарегистрируйте новый аккаунт в нашем сообществе. Это очень просто!

Регистрация нового пользователя

Войти

Уже есть аккаунт? Войти в систему.

Войти
×
×
  • Создать...
Вверх