Перейти к содержанию
Стоматология для всех

Капа и брекеты


Дарина ha

Рекомендуемые сообщения

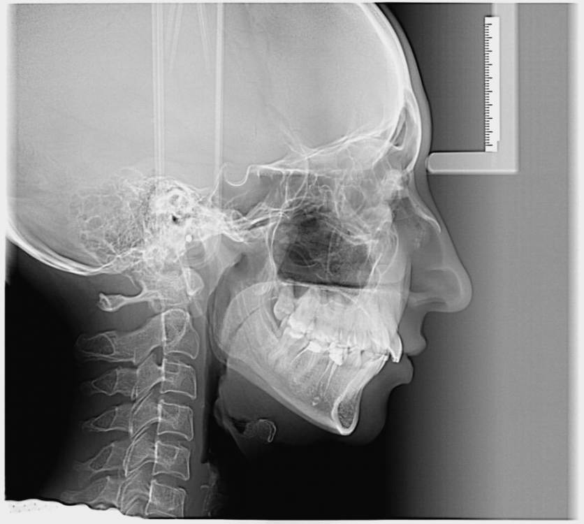
Добрый день.Обратилась к ортодонту

беспокоить начал сустав с права ,сказали заняться лечением ,удаление 8

в данный момент занимаюсь лечением зубов и сказал доктор перед брекетами ставить капу,

но сейчас чувствую что сустав не болит и не хрустит.можно ли сначало брекеты а потом капа

спасибо

IMG_7742.jpeg

IMG_7741.jpeg

IMG_7740.jpeg

Ссылка на комментарий

Если Вы хотите получить ответ на свой вопрос, при описании ситуации обязательно выкладывайте:

Ортопантомограмму (панорамный снимок)

Фото улыбки

Фото с сомкнутыми зубами (сомкнуть все зубы) спереди, справа и слева. На фото справа и слева должны быть видны зубы от центрального резца до шестого.

Фото лица в фас и профиль. Условия: зубы плотно сжаты как всегда (не выдвигая вперед), губы максимально расслаблены, голова и шея также расслаблены, взгляд ПРЯМО перед собой в зеркало или бесконечность.

Если есть - ТРГ и фото гипсовых моделей челюстей.

Это значительно сэкономит Ваше время в ожидании ответа и время докторов в ожидании информации от Вас!

Ссылка на комментарий

Для публикации сообщений создайте учётную запись или авторизуйтесь

Вы должны быть пользователем, чтобы оставить комментарий

Создать аккаунт

Зарегистрируйте новый аккаунт в нашем сообществе. Это очень просто!

Регистрация нового пользователя

Войти

Уже есть аккаунт? Войти в систему.

Войти
×
×
  • Создать...
Вверх